Trồng răng implant là phương pháp khắc phục tình trạng mất răng hiệu quả nhất hiện nay, được nhiều người quan tâm và lựa chọn. Nó giúp phục hồi chức năng ăn nhai cũng như tính thẩm mỹ, đồng thời còn ngăn chặn tình trạng tiêu xương hàm. Để đảm bảo quá trình cấy ghép diễn ra hiệu quả nhất, dưới đây là 7 điều cần lưu ý trước khi trồng răng Implant bạn không nên bỏ qua.
1 Trồng răng Implant có đau không?
Một trong những nỗi sợ của khách hàng là trồng răng Implant sẽ bị đau? Đây cũng là một trong những điều bạn cần lưu ý trước khi trồng răng Implant để giảm bớt căng thẳng.
Thực tế, trồng răng Implant không quá đau nhức như mọi người vẫn nghĩ bởi trước khi phẫu thuật bác sĩ sẽ gây tê cho bệnh nhân giúp bệnh nhân không còn có cảm giác đau, ê buốt. Sau khi hết thuốc tê, bệnh nhân sẽ có cảm giác đau nhức nhẹ nhưng nếu được chăm sóc đúng cách của bác sĩ chuyên khoa thì sẽ chấm dứt chỉ sau vài ngày.

Chính vì vậy, bạn nên tìm địa chỉ nha khoa có bác sĩ giỏi, chuyên môn cao tránh trường hợp cơn đau kéo dài trong quá trình trước và sau khi trồng răng Implant.
2 Những ai không phù hợp trồng răng Implant
Trồng răng Implant là một trong những phương pháp tối ưu giúp bạn nhanh có được một hàm răng trắng sáng, đều đẹp. Tuy nhiên, không phải ai cũng đều phù hợp để thực hiện phương pháp này.
Theo khuyến cáo của các chuyên gia, bác sĩ, những trường hợp không nên trồng răng Implant đó là: Phụ nữ mang thai, trẻ em chưa đủ 18 tuổi, người mắc bệnh mãn tính, người nghiện thuốc lá, rượu bia nặng, khe răng bị mất quá hẹp, xương hàm không đủ tiêu chuẩn để trồng răng Implant,..
7 điều cần lưu ý trước khi trồng răng Implant bạn không nên bỏ qua
3 Lưu ý trước khi trồng răng implant
Việc chuẩn bị cẩn thận, chu đáo trước khi bước vào ca thực hiện trồng răng Implant sẽ giúp cho quá trình phục hình Implant của ban sẽ diễn ra thuận lợi và nhanh chóng hơn. Dưới đây 7 điều cần lưu ý trước khi trồng răng Implant bạn không nên bỏ qua để có những chiếc răng khỏe đẹp nhất.
Bạn nên chia sẻ thật về tình trạng sức khỏe hiện tại với bác sĩ
Bạn nên chia sẻ rõ ràng tình trạng sức khỏe của mình cho bác sĩ để trong quá trình trồng răng Implant bác sĩ kiểm soát tốt nhất.
Nếu như bạn đang mắc các bệnh về tim mạch, huyết áp, tiểu đường hay bạn đang trong quá trình sử dụng những loại thuốc gì,… cũng nên nói với bác sĩ để bác sĩ biết và tránh được tình trạng xấu nhất xảy ra khi phẫu thuật thực hiện phương pháp trồng răng Implant.
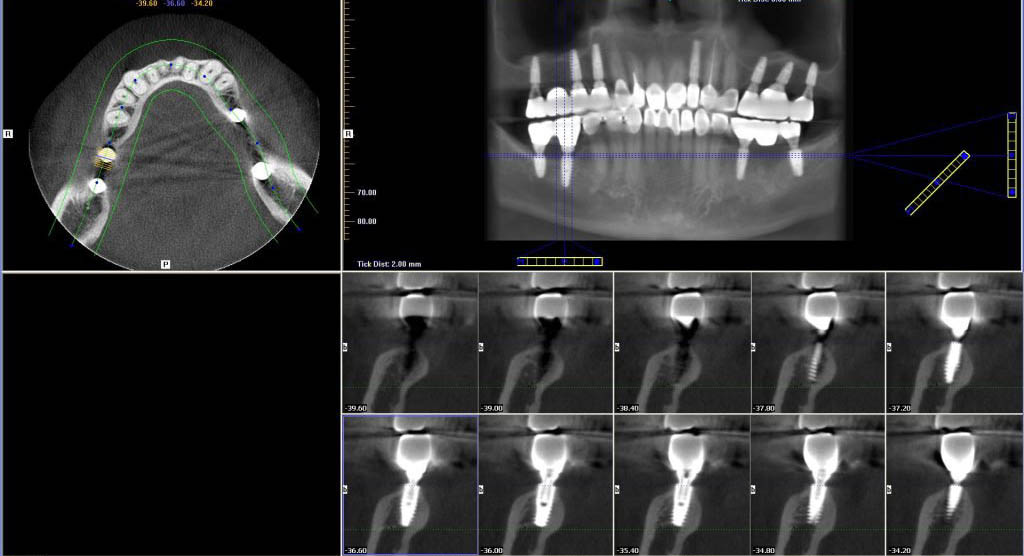
Chụp CT để xác định chính xác tình trạng răng miệng và xương hàm
Trước khi diễn ra ca phẫu thuật, khách hàng được bác sĩ kiểm tra và chụp CT để biết được tình trạng, mật độ xương cũng như chiều cao xương và răng của khách hàng, từ đó nhận biết được khách hàng có đủ điều kiện để thực hiện trồng răng Implant hay không? Nếu kích thước của hàm hạn chế khách hàng có thể sẽ phải nâng xương hoặc ghép xương trước khi thực hiện trồng răng Implant.

Hình ảnh CT răng
Ngoài ra, sau khi chụp CT xong, để đảm bảo sức khỏe, bác sĩ hoặc điều dưỡng sẽ vệ sinh khoang miệng và điều trị dứt điểm các bệnh lý về răng miệng của khách hàng. Vì vậy, đây được xem là bước bắt buộc phải thực hiện trước khi khách hàng bước vào quá trình thực hiện trồng răng Implant.
Không nên ăn trong vòng 6 tiếng trước khi thực hiện trồng răng Implant
Theo các chuyên gia, bác sĩ khuyến cáo, trước khi phẫu thuật khoảng 6 tiếng khách hàng không nên ăn uống gì. Trong khi phẫu thuật, bác sĩ sẽ dùng thuốc gây mê cho bệnh nhân, vì thuốc gây mê có thể sẽ làm chức năng dạ dày chứa đầy các thức ăn khó chịu, điều đó sẽ gây ảnh hưởng đến ca phẫu thuật.
Chính vì vậy, để ca phẫu thuật được diễn ra thuận lợi và an toàn nhất thì bạn không nên ăn đồ gì trước đó ít nhất là 6 giờ đồng hồ.
Nên bỏ rượu bia, thuốc lá trước và sau khi phẫu thuật
Nếu uống rượu bia và hút thuốc là trước và sau khi phẫu thuật sẽ gây ảnh hưởng tới sự thành công của ca phẫu thuật do các thành phần có trong thuốc lá và rượu bia tác động vào phần răng và nướu.

Do đó, trước khi trồng răng Implant từ 2 tới 4 tháng, bác sĩ sẽ phải yêu cầu bạn bỏ thuốc lá, rượu bia và cho tới khi ca phẫu thuật được hoàn thành từ 4 đến 6 tháng sau.
Mặc quần áo thoải mái trong quá trình trồng răng Implant
Một vấn đề khá nhỏ mà nhiều người có thể sẽ không quan đến đó là trang phục trong ca phẫu thuật. Khi bạn mặc một bộ đồ rộng rãi sẽ giúp bạn cảm thấy thoải mái, dễ chịu trong ca phẫu thuật.
XEM THÊM
Chuẩn bị cho mình một lý thoải mái
Góp phần trong việc giúp ca phẫu thuật thành công thì trước đó bạn nên chuẩn bị cho mình một tâm lý thoải mái nhất. Bạn không nên suy nghĩ quá nhiều dẫn đến căng thẳng bởi điều này có thể gián tiếp tạo áp lực cho bác sĩ phụ trách ca phẫu thuật của bạn.
Thực chất, quá trình trồng răng Implant không quá đau đớn và nguy hiểm nếu như bạn chọn được địa chỉ nha khoa uy tín, chất lượng. Vì nên bạn cứ thoải mái và không phải lo lắng quá nhiều.

Trước khi phẫu thuật, bạn sẽ được bác sĩ hướng dẫn “7 điều cần lưu ý trước khi trồng răng Implant bạn không nên bỏ qua”, điều này sẽ giúp bạn thư giãn, thoải mái về không còn tâm lý sợ hãi nữa.
Lựa chọn loại trụ Implant thích hợp với tình trạng răng
Lựa chọn loại trụ Implant phù hợp khi phục hình răng là điều rất quan trọng bởi nó sẽ ảnh hưởng rất nhiều đến kết quả điều trị. Mỗi loại trụ Implant đều được sản xuất theo kỹ thuật riêng phù hợp với tình trạng răng để tối ưu và mang lại hiệu quả nhất.
Chính vì vậy, bạn nên tìm hiểu kỹ về ưu, nhược điểm các loại trụ cũng như sự tư vấn của bác sĩ, từ đó chọn ra loại phù hợp nhất với răng của mình.
Trồng răng Implant tại nha khoa HanSeoul – Địa chỉ uy tín, chất lượng tại Hà Nội
Điều quan trọng nhất giúp cho quá trình trồng răng Implant đạt hiệu quả cao cũng như đảm bảo an toàn chính là lựa chọn được một phòng khám nha khoa uy tín, chất lượng nhất. Bởi đây được xem là phương pháp có kỹ thuật khá phức tạp, cần được thực hiện bởi các bác sĩ giỏi, giàu kinh nghiệm cùng với hệ thống máy móc, trang thiết bị hiện đại, tiên tiến mới có thể đạt thành công một cách tuyệt đối.
Do đó, bạn nên tìm hiểu kỹ đưa ra lựa chọn được một nha khoa uy tín giữa vô vàn những nha khoa kém chất lượng đang dần “mọc lên như nấm”trên thị trường hiện nay.
Nha khoa HanSeoul là một trong những địa chỉ nha khoa thực hiện trồng răng Implant đã và đang được đông đảo khách hàng trong và ngoài nước tin tưởng lựa chọn và đánh giá cao. Đến nay, nha khoa đã thực hiện thành công cho hàng ngàn bệnh nhân có nhu cầu trồng răng Implant từ đơn giản đến phức tạp nhất.
Người trực tiếp thực hiện trồng Implant ở HanSeoul luôn tự hào là nơi hội tụ đội ngũ y bác sĩ không chỉ giàu kinh nghiệm, giỏi chuyên môn, mà đặc biệt còn tâm huyết với sự nghiệp chăm sóc, bảo vệ sức khỏe con người. Các Bác sĩ chủ chốt tại đây đều tốt nghiệp các trường Đại học Y danh tiếng với uy tín và tài năng đã được khẳng định.
Ngoài ra, bác sĩ thường cập nhật những xu hướng công nghệ trồng răng Implant hiện đại nhất hiện nay.
Ngoài đội ngũ bác sĩ chuyên nghiệp, Nha khoa HanSeoul còn đáp ứng đầy đủ các tiêu chí khác của một nha khoa chất lượng như:
- Có cơ sở vật chất, thiết bị hiện đại : Không gian phòng khám rộng rãi, thoáng mái, sẽ đem đến cho khách hàng sự sang trọng, thoải mái. Nguyên vật liệu cấy ghép Implant tại nha khoa đảm bảo có nguồn gốc và xuất xứ rõ ràng, chất lượng đạt tiêu chuẩn quốc tế mang lại hiệu quả và an toàn nhất.

- Quy trình tiêu chuẩn hóa khép kín, riêng biệt : Vô trùng tuyệt đối, các phòng phẫu thuật khép kín, riêng biệt, cam kết an toàn, loại bỏ hoàn toàn lây nhiễm chéo của bệnh nhân.
- Vô vàn ưu đãi hấp dẫn : Một nha khoa lớn, uy tín sẽ có nhiều ưu đãi hấp dẫn nhằm tạo điều kiện cho khách hàng có nhiều cơ hội chăm sóc và làm đẹp răng miệng với chi phí cạnh tranh nhất thị trường. Đồng thời có hỗ trợ khách hàng trả góp lãi suất 0% đối với những dịch vụ có chi phí cao.
Bảo hành toàn diện 100 : Nha khoa HanSeoul có hợp đồng rõ ràng cũng như chế độ bảo hành chu đáo, giúp khách hàng khi đến đây có thể yên tâm điều trị để sử dụng các dịch khác nhau, làm đẹp cho hàm răng của mình.





