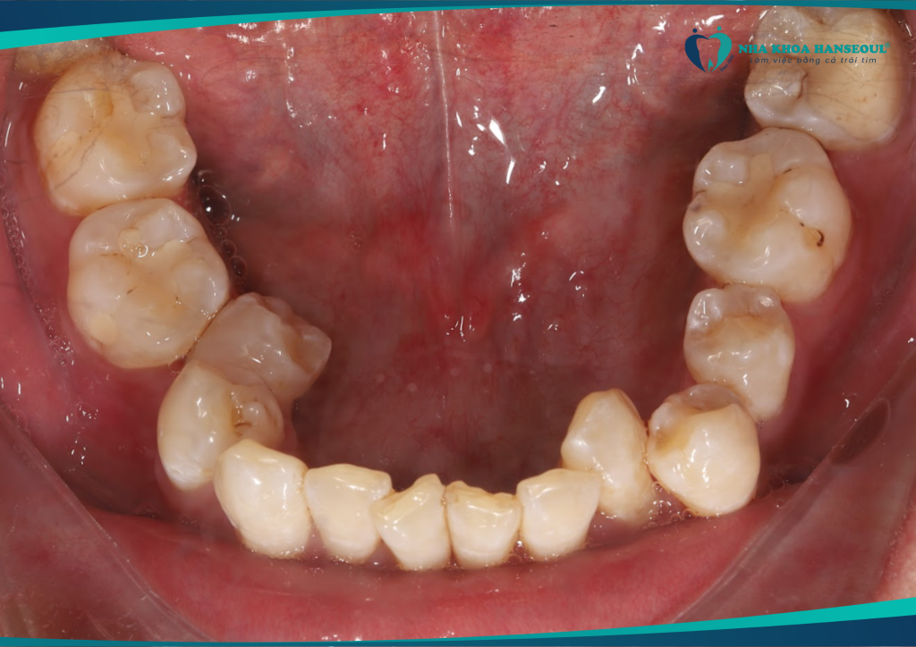
Khớp cắn ngược hạng III thay đổi ngoạn mục với Invisalign tại Hanseoul

03/07/2025