Bệnh sâu răng là bệnh lý về răng miệng phổ biến và có thể xảy ra ở mọi lứa tuổi, từ trẻ em đến người già. Sâu răng không chỉ gây đau nhức cho người bệnh mà còn có thể gây ra những biến chứng nguy hiểm khác nếu không được điều trị kịp thời. Dưới đây là những điều bạn cần biết về bệnh sâu răng mà bạn không nên bỏ qua.
1 Bệnh sâu răng là gì?
Sâu răng là tình trạng răng bị tổn thương, mất mô cứng, hình thành nhiều lỗ trên bề mặt răng do quá trình hủy khoáng gây ra bởi vi khuẩn ở mảng bám răng.
Sâu răng có thể diễn ra ở bề mặt thân răng hoặc chân răng, tiến triển từ từ qua lớp men răng, ngà răng và nghiêm trọng hơn có thể xâm nhập và phá hủy tủy răng. Sâu răng nếu không được chữa trị kịp thời sẽ khiến tình trạng bệnh ngày một nặng hơn, thậm chí ảnh hưởng đến cả sức khỏe cơ thể.
Các giai đoạn của bệnh sâu răng
- Giai đoạn 1: bệnh khởi phát, trên bề mặt răng xuất hiện những đốm trắng màu đục hoặc vàng ngả ố (đây chính là các mảng bám và cao răng). Giai đoạn này người bệnh vẫn rất khó để phát hiện ra sâu răng.
- Giai đoạn 2: các loại vi khuẩn trú ngụ tại mảng bám, cao răng bắt đầu phát triển và tấn công, ăn mòn men răng khiến những vùng bị ăn mòn dần chuyển sang màu đen.

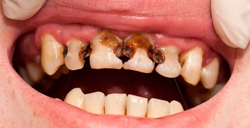
Hình ảnh sâu răng cửa
- Giai đoạn 3: Lỗ sâu răng phát triển rộng và sâu hơn, lúc này răng bắt đầu bị đau nhức và hơi thở có mùi hôi.
- Giai đoạn 4: Vi khuẩn tấn công vào tủy răng, gây viêm và làm chết tủy răng, nếu lúc này bệnh nhân không được điều trị, vi khuẩn sẽ tấn công vào dây thần kinh ở răng và xương hàm gây sưng, viêm và nặng hơn là tiêu xương quanh chân răng.
2 Dấu hiệu nhận biết bệnh sâu răng
Thời gian đầu, sâu chỉ ở phần men răng bên trong nên sẽ không có bất kỳ triệu chứng nào. Sau khi sâu tiến triển vào ngà răng sẽ xuất hiện các triệu chứng sau:
- Lỗ sâu: men và ngà răng bị tổn thương, nếu sử dụng que nạo ngà và lấy hết thức ăn còn sót lại trong lỗ sâu sẽ nhìn thấy đáy lỗ sâu rộng hơn miệng lỗ rất nhiều.
- Chảy máu hoặc sưng nướu: do vi khuẩn sâu răng dần lây lan nên khiến mô nướu trở nên nhạy cảm hơn, vì thế, khi sử dụng bàn chải đánh răng hoặc chỉ nha khoa sẽ khiến nướu dễ bị chảy máu và nhiễm trùng.

Hình ảnh bệnh sâu răng
- Đau buốt răng: khi ăn các loại đồ ăn nóng, lạnh, ngọt,… thức ăn sẽ lọt vào lỗ sâu gây đau buốt.
- Hơi thở có mùi: thức ăn không được làm sạch và tích tụ ở kẽ răng lâu ngày sẽ tạo điều kiện thuận lợi cho vi khuẩn phát triển và gây mùi hôi khó chịu trong hơi thở. Hơn thế, vi khuẩn còn gây ra vị đắng trong miệng khiến người bệnh bị mất cảm giác khi ăn.
3 Nguyên nhân gây sâu răng
Nguyên nhân chính gây sâu răng là do vi khuẩn trong miệng và các mảng bám, thức ăn thừa còn kẹt lại trong kẽ răng. Ngoài ra, các yếu tố có thể làm gia tăng nguy cơ mắc bệnh sâu răng có thể kể đến như:
- Vệ sinh răng miệng sai cách: răng khôn được làm sạch thường xuyên và vệ sinh sai cách sẽ tạo điều kiện cho vi khuẩn gây hại phát triển. Vì thế, cần lưu ý đánh răng ít nhất 2 lần/ngày và nên sử dụng bàn chải lông mềm hoặc có thể dùng thêm máy tăm nước, chỉ nha khoa hoặc nước súc miệng.
- Thói quen ăn vặt xấu: các thực phẩm có thể gây tổn thương đến răng như kẹo cứng, nước ngọt, bánh ngọt, bánh quy,… khiến lượng đường trong miệng tăng cao tạo điều kiện cho các vi khuẩn hoạt động. Ngoài ra, các loại thực phẩm có tính axit cao như chanh, dấm,… sử dụng nhiều sẽ làm ăn mòn men răng.

- Tụt nướu: nướu bị tụt sẽ khiến mảng bám hình thành trên rễ chân răng, vi khuẩn tấn công ngà răng dần dần hình thành nên sâu răng.
- Thiếu nước: không bổ sung nước đầy đủ sẽ dẫn tới khô miệng, thiếu nước bọt. Trong khi đó, nước bọt có chức năng giúp làm sạch thức ăn, mảng bám, hạn chế vi khuẩn phát triển và chữa sâu răng sớm.
- Hàm răng bị nứt, vỡ hoặc yếu: chân răng bị yếu và có dấu hiệu bị nứt, vỡ sẽ tạo điều kiện thuận lợi cho vi khuẩn và hình thành mảng bám gây ra sâu răng
- Các bệnh lý khác: các bệnh như trào ngược dạ dày, axit dạ dày cũng có khả năng tiếp xúc với răng khiến răng dễ bị ăn mòn, theo thời gian sẽ dẫn đến sâu răng.
4 Khi nào cần đến gặp nha sĩ?
Sâu răng giai đoạn đầu và giữa thường khó nhận ra nên người bệnh sẽ không biết rằng mình đang bị sâu răng. Vì vậy, nếu thấy bị đau răng hoặc đau miệng, hãy đến nha sĩ khám càng sớm càng tốt để kịp thời phát hiện và chữa trị.
Sâu răng không thể tự khỏi mà phải cần điều trị tại nha khoa. Răng sâu lan tới tủy sẽ khiến tủy bị viêm, các lỗ chóp răng bị vi khuẩn chèn ép sẽ làm chết các dây thần kinh khiến máu không thể cung cấp cho răng và gây chết tủy răng.

Sâu răng nếu để lâu ngày có thể sẽ gây ra một số biến chứng nguy hiểm ở cả trẻ em và người lớn: áp xe răng, hỏng hoặc gãy răng gây mất thẩm mỹ và ảnh hưởng đến sự tự tin khi giao tiếp, sưng mủ quanh răng,…
Ngoài ra, bệnh sâu răng nặng còn gây ra những vấn đề trong cuộc sống hàng ngày như: đau nhức thường xuyên ảnh hưởng đến việc ăn uống, ngủ nghỉ khiến việc hấp thu chất dinh dưỡng bị hạn chế và có thể khiến tinh thần bị ảnh hưởng nghiêm trọng.
5 Chữa sâu răng tại Nha khoa Hanseoul
Bệnh nhân sẽ phải xử lý vùng răng đã bị tổn thương và phá hủy môi trường phát triển của vi khuẩn rồi tạo một lớp chắn bảo vệ răng khỏi các vi khuẩn gây hại để giải quyết dứt điểm tình trạng sâu răng. Có 2 phương pháp thường được sử dụng trong nha khoa gồm:
5.1 Trám răng
Là phương pháp sử dụng các vật liệu nha khoa để lấp đầy lỗ hổng do sâu răng gây nên, sau đó sẽ khôi phục và bảo vệ cấu trúc răng thật. Tùy theo tình trạng, mức độ sâu răng và mong muốn của bệnh nhân, các bác sĩ tại Nha khoa Hanseoul sẽ điều trị sâu răng theo một trong hai phương pháp là trám răng thông thường và trám răng thẩm mỹ.
Trước tiên, bác sĩ sẽ xử lý chỗ sâu và loại bỏ vi khuẩn cũng như các yếu tố thuận lợi cho vi khuẩn phát triển sau đó sẽ tiến hành trám chất liệu nha khoa vào lỗ hổng. Các vật liệu nha khoa để trám răng thường được sử dụng phổ biến là Xi măng silicat, Sứ, Amalgam và Composite.
5.2 Bọc răng sứ
Đối với những trường hợp răng bị sâu quá nặng khiến cấu trúc răng bị phá hủy hoàn toàn, tủy răng bị ảnh hưởng nhưng chân răng vẫn còn nguyên vẹn thì nên lựa chọn phương pháp bọc răng sứ. Sau khi xử lý chỗ răng sâu, bác sĩ sẽ vệ sinh, mài cùi răng và bọc răng sứ bên ngoài răng. Phần mão răng sứ này có độ cứng và độ chịu lực cao, giúp phục hồi cấu trúc và chức năng của răng thật.
Bệnh nhân khi phát hiện bị sâu răng, hãy đến các cơ sở nha khoa uy tín để được thăm khám và điều trị kịp thời. Nha khoa Hanseoul đã có hơn 10 năm kinh nghiệm trong lĩnh vực chăm sóc sức khỏe răng miệng và thẩm mỹ nha khoa.





