- 1 Lý do khiến giá răng sứ tại các nha khoa có sự chênh lệch nhau
- 2 Bọc răng sứ hết bao nhiêu tiền?
- 3 Bọc răng sứ tại Nha khoa HanSeoul: Dịch vụ chất lượng cao – Giá cả phải chăng
- 4 Quy trình bọc răng sứ chuẩn quốc tế tại Nha khoa HanSeoul
- 4.1 Bước 1: Thăm khám, chụp phim X-quang và tư vấn miễn phí
- 4.2 Bước 2: Lên phác đồ điều trị, bọc răng sứ cho bệnh nhân
- 4.3 Bước 3: Gây tê và chuẩn bị cùi răng
- 4.4 Bước 4: Tiến hành lấy khuôn mẫu hàm răng
- 4.5 Bước 5: Tiến hành chế tác răng sứ
- 4.6 Bước 6: Thử và gắn răng sứ demo
- 4.7 Bước 7: Hoàn thành bọc răng sứ
Nền khoa học hiện đại phát triển, với những ai đang gặp về vấn đề về răng, bạn có thể sử dụng răng sứ để khôi phục răng bị mất, bị sứt mẻ hay làm mới nụ cười cho trắng sáng hơn. Vậy, bọc răng sứ bao nhiêu tiền? Hãy cùng theo dõi bài viết dưới đây để biết đượcbảng giá tốt nhất trên thị trường năm 2022 nhé!
1 Lý do khiến giá răng sứ tại các nha khoa có sự chênh lệch nhau
Hiện nay, tại mỗi nha khoa đều sẽ có sự chênh lệch ít nhiều về giá bọc răng sứ, cho dù là cùng một loại răng sứ. Sở dĩ có sự chênh lệch này là do những yếu tố sau đây:
- Phụ thuộc vào chất liệu răng sứ: Do nhu cầu bọc sứ hiện nay ngày càng tăng, nên có rất nhiều loại răng sứ được sản xuất ra thị trường nhưng không rõ nguồn gốc và giá “siêu rẻ”, hoàn toàn không đảm bảo về mặt chất lượng. Thế nên, bạn nên tìm hiểu và chọn những loại răng sứ có xuất xứ rõ ràng, có thẻ bảo hành chính hãng tại nha khoa.

Hình ảnh răng sứ kém chất lượng
- Phụ thuộc vào tay nghề, kinh nghiệm trong nghề của bác sĩ: Bạn nên lựa chọn những nha khoa có đội ngũ y bác sĩ chuyên môn cao, kinh nghiệm dày dặn, đặc biệt là phải có chứng chỉnh hành nghề. Điều này sẽ đảm bảo quá trình làm răng sứ an toàn và suôn sẻ nhất.
- Phụ thuộc vào cơ sở, hệ thống trang thiết bị: Hệ thống trang thiết bị hiện đại là một trong những yếu tố hỗ trợ bác sĩ để có một ca bọc răng sứ hiệu quả nhất, đồng thời, giúp rút ngắn thời gian điều trị, làm hài lòng khách hàng. Những nha khoa có đầu tư nhập khẩu máy móc, thiết bị từ nước ngoài, thì chi phí làm răng sứ cũng sẽ cao hơn so với một số nơi khác chỉ sử dụng công nghệ, máy móc cũ.
2 Bọc răng sứ hết bao nhiêu tiền?
Bọc răng sứ giúp khắc phục các khuyết điểm về răng một cách tối ưu nhất nên được rất nhiều người quan tâm, tin tưởng lựa chọn. Rất dễ để thấy những bài quảng cáo có mức chi phí bọc răng sứ chỉ 500k, 800k. Tuy nhiên, về chất lượng bạn cũng cần phải xem xét kỹ nếu không sẽ gặp tình trạng “tiền mất tật mang”.
Bởi răng sứ giá rẻ thường được sử dụng bởi những chất liệu không đảm bảo về nguồn gốc, xuất xứ. Sau khi bọc một thời gian có thể gây các bệnh lý về răng miệng như: hôi miệng, đau nhức, viêm lợi, ê buốt, hỏng răng gốc, làm đen viền răng, mất thẩm mỹ,…

Sao Hàn Quốc trước và sau khi bọc răng sứ
Để đảm bảo sức khỏe cũng như về mặt thẩm mỹ, bạn nên lựa chọn các loại sứ được nhập khẩu từ nước ngoài, có chất lượng cao, chỉ như vậy mới đáp ứng được yếu tố độ cứng, kích thước, màu sắc sáng bóng tự nhiên như răng thật. Tuy nhiên, với chất liệu này sẽ có mức giá cao hơn.
Nếu khách hàng muốn bọc răng sứ ở mức tầm trung thì có thể lựa chọn răng sứ kim loại Titan, dao động khoảng 1 – 2 triệu/răng. Còn nếu vừa muốn đáp ứng tiêu chí về thẩm mỹ, độ bền chắc, bạn có thể cân nhắc bọc răng sứ kim loại cho các răng hàm, đảm bảo chức năng ăn nhai y như răng thật.
3 Bọc răng sứ tại Nha khoa HanSeoul: Dịch vụ chất lượng cao – Giá cả phải chăng
Nha khoa HanSeoul là Địa chỉ nha khoa thẩm mỹ tại Hà Nội được nhiều khách hàng tin tưởng đánh giá cao, trở thành nha khoa uy tín số 1 trên thị trường hiện nay.
Nha khoa HanSeoul tự hào vì quy tụ đội ngũ bác sĩ, chuyên gia tốt nghiệp Đại học Y danh tiếng trong và ngoài nước. Nhờ có kiến thức chuyên môn vững vàng cùng với bề dày kinh nghiệm, các bác sĩ, chuyên gia tại HanSeoul luôn tự hào khi đã thực hiện cho hàng ngàn ca bọc răng sứ thành công, hầu như tất cả khách hàng đến trải nghiệm đều hài lòng tuyệt đối.

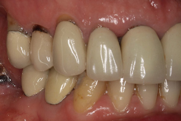
Khách hàng bọc răng sứ tại nha khoa Hanseoul
Với bọc răng sứ, mài răng luôn là vấn đề khiến nhiều khách hàng lo lắng. Nếu quá trình thực hiện mài răng không đúng rất dễ gây chảy máu chân răng, ê buốt răng cũng như để lại nhiều biến chứng sau này. Tuy nhiên, khi đến với Nha khoa HanSeoul bạn sẽ không cần phải lo lắng về đến vấn đề này.
Ngoài ra, Nha khoa HanSeoul cung cấp đa dạng các dòng răng sứ chất lượng từ loại thường đến cao cấp. Khách hàng có thể lựa chọn tùy theo nhu cầu và khả năng kinh tế của mình.
Nha khoa cam kết sử dụng các vật liệu chính hãng có tem kiểm định rõ ràng, cấp thẻ bảo hành chính hãng giúp khách hàng yên tâm trong quá trình gắn răng sứ. Ngoài ra, mỗi chất liệu khác nhau đều đảm bảo độ tương thích với cơ thể, không gây ra các biến chứng khác. Cấu tạo của răng sứ bao gồm có nhiều lớp mỏng, bóng sáng, mang lại vẻ đẹp tự nhiên cho hàm răng và hạn chế tối đa mài nhổ răng nhất có thể.
Để biết được chính xác chi phí bọc răng sứ với từng người, khách hàng nên đến trực tiếp Nha khoa HanSeoul để được các bác sĩ thăm khám và tư vấn loại sứ phù hợp với nhu cầu, tài chính của mình để xác định mức chi phí chuẩn nhất nhé.
4 Quy trình bọc răng sứ chuẩn quốc tế tại Nha khoa HanSeoul
4.1 Bước 1: Thăm khám, chụp phim X-quang và tư vấn miễn phí
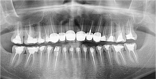
Trước khi bước vào thực hiện làm răng sứ, các bác sĩ tại Nha khoa HanSeoul sẽ tiến hành thăm khám tổng quát để xác định được tình trạng răng miệng của khách hàng. Sau đó tiến hành chụp hình cận răng và hướng dẫn khách hàng chụp phim X-quang CT để có hình ảnh trực quan nhất về cấu trúc răng – hàm. Từ đó xác định chính xác được mức độ tình trạng của răng cần khắc phục.

Trong trường hợp nếu bác sĩ phát hiện ra bệnh lý răng miệng, bệnh nhân cần điều trị triệt để rồi mới bắt đầu tiến hành bọc răng sứ,
4.2 Bước 2: Lên phác đồ điều trị, bọc răng sứ cho bệnh nhân
Dựa vào kết quả tình trạng răng miệng cũng như nhu cầu của từng khách hàng, bác sĩ sẽ kế hoạch điều trị cụ thể, bao gồm phương pháp, thời gian và chi phí.
4.3 Bước 3: Gây tê và chuẩn bị cùi răng
Để giúp khách hàng không cảm thấy đau nhức, ê buốt và khó chịu trong suốt quá trình làm răng sứ, bác sĩ sẽ thực hiện gây tê cho bệnh nhân. Quá trình sửa soạn cùi răng được tiến hành một cách cẩn thận, tỉ mỉ với một tỷ lệ thích hợp, tùy theo tình trạng răng cần cải thiện và giải pháp răng sứ mà khách hàng đưa ra lựa chọn.
4.4 Bước 4: Tiến hành lấy khuôn mẫu hàm răng
Sau khi răng đã được sửa soạn xong, bác sĩ sẽ tiến hành lấy dấu hàm bằng công nghệ hiện đại nhất. Việc này giúp lấy dấu răng nhanh chóng chỉ trong khoảng 2 phút thực hiện, với độ chính xác cao, không bị tác động bởi những yếu tố khác bên ngoài tạo sự thoải mái cho khách hàng.

Hình ảnh lấy dấu răng
Sau đó, bác sĩ sẽ chuyển toàn bộ thông tin, số liệu qua cho Labo để các kỹ thuật viên chế tạo răng sứ sao cho chính xác nhất Trong khoảng thời gian chờ đợi gắn sứ, khách hàng sẽ được gắn răng demo nên vẫn đảm bảo tính thẩm mỹ và một phần chức năng nhai như răng thật.
4.5 Bước 5: Tiến hành chế tác răng sứ
Hiện nay, Nha khoa HanSeoul áp dụng công nghệ tân tiến nhất trên thế giới để chế tạo răng sứ, tất cả đều được làm tự động hoàn toàn bằng máy. Với công nghệ này, răng sứ sẽ được chế tác một cách tỉ mỉ, tinh xảo, khít sát với răng thật, màu sắc trong bóng, vô cùng tự nhiên.
4.6 Bước 6: Thử và gắn răng sứ demo
Bác sĩ sẽ tiến hành gắn răng sứ lên răng thật của bệnh nhân, đồng thời, cân chỉnh lại khớp cắn và thẩm mỹ sao cho tối ưu nhất, sau đó cố định răng sứ bằng cement tạm ( bệnh nhân có thể tháo răng ra được) để khách hàng trải nghiệm cảm giác ăn nhai như răng thật.
4.7 Bước 7: Hoàn thành bọc răng sứ
Sau khi mọi tiêu chuẩn về răng sứ đã đạt được mong muốn cũng như khách hàng cảm thấy hài lòng về răng sứ. Bác sĩ sẽ gắn kết thúc sứ bằng cement vĩnh viễn, từ đó bệnh nhân sẽ tự tin với hàm răng chắc khỏe, trắng sáng.

Khách hàng sau khi bọc răng sứ
Những thông tin trên hy vọng phần nào giúp bạn hiểu hơn về bọc răng sứ bao nhiêu tiền. Nếu bạn còn đang thắc mắc về dịch vụ này hay dịch vụ nha khoa khác hãy gọi về số hotline 0928.75.7777 – 0939.090.581 để được bác sĩ chuyên khoa tư vấn miễn phí nhé!





