- 1 Những dấu hiệu nhận biết nhiễm trùng?
- 2 Nguyên nhân gì khiến nhổ răng khôn bị nhiễm trùng?
- 2.1 Chăm sóc vệ sinh răng nhổ không đúng cách
- 2.2 Thói quen hút thuốc và không giữ chế độ kiêng khem sau khi nhổ răng
- 2.3 Điều kiện vô trùng của dụng cụ nhổ răng không đảm bảo
- 2.4 Trình độ tay nghề của bác sĩ thực hiện nhổ răng 8
- 3 Bị nhiễm khuẩn sau khi nhổ răng khôn có nguy hiểm không?
- 4 Cách xử lý tình trạng nhiễm trùng sau khi nhổ răng 8?
- 5 Bảng giá nhổ răng mới nhất tại Nha Khoa Hanseoul – hệ thống nha khoa uy tín tại Hà Nội
Dấu hiệu nhiễm trùng sau khi nhổ răng khôn có thể nhận biết rất rõ ràng qua các biểu hiện như: đau nhức không thuyên giảm kéo dài, tình trạng viêm những mưng mủ, chảy máu kéo dài không dứt và biểu hiện hôi miệng khi nói chuyện giao tiếp, có thể sốt cao do viêm nhiễm…Tình trạng nhiễm trùng xảy ra sau khi nhổ răng khôn thường là do yếu tố tay nghề của bác sĩ còn kém, điều kiện phẫu thuật nhổ răng khôn không đảm bảo vô trùng vô khuẩn, các bước vệ sinh răng miệng không đảm bảo đúng cách…
1 Những dấu hiệu nhận biết nhiễm trùng?
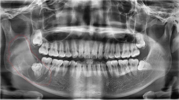
Nhổ răng khôn hay răng số 8 là một quá trình thực hiện bóc tách bác mô nướu, dùng dao chuyên dụng thực hiện mở xương hàm để lấy răng khôn hoặc nhổ nhiều chiếc răng khôn của bạn.
Tuy không phải là một phương pháp yêu cầu kỹ thuật quá phức tạp, tuy nhiên vẫn có một số biến chứng và rủi ro có thể xảy ra nếu quy trình thực hiện nhổ răng khôn của bạn không đảm bảo hoặc chăm sóc sai cách tại nhà. Điển hình trong số đó, phải đặc biệt kể đến tình trạng vị trí nhổ răng bị nhiễm trùng sau khi nhổ răng khôn, nguy hiểm sẽ dẫn đến tình trạng nhiễm trùng máu.

Răng khôn bị nhiễm trùng
Nhổ răng bị nhiễm trùng thường chỉ có biểu hiện và phát hiện sau khoảng vài ngày kể từ khi thực hiện nhổ răng khôn. Bởi vì trong giai đoạn ban đầu thì những cảm giác đau nhức âm ỉ, sưng tấy đỏ và hiện tượng chảy máu thường thấy sẽ khiến bạn lầm tưởng và nhầm lẫn với tình trạng nhiễm khuẩn thông thường.
Tuy nhiên, Nha Khoa Hanseoul cho biết tình trạng nhiễm trùng sau khi nhổ răng khôn xảy ra sau khi nhổ răng khôn vẫn có những dấu hiệu bất thường nhận biết được rõ ràng như sau:
- Vị trí nhổ răng bị mưng mủ: là dấu hiệu cảnh báo rõ rệt nhất về sự nhiễm trùng sau khi nhổ răng khôn. Tại vị trí chân răng nhổ bạn sẽ thấy xuất hiện mủ răng có màu trắng hoặc màu vàng kem kèm với biểu hiện nổi hạch ở vùng cổ.
- Cảm thấy cơ thể mệt mỏi sau khi nhổ răng: những trường hợp nhổ nhiều chiếc răng khôn trong một lần thì bạn có thể mệt mỏi trong ngày đầu tiên và giảm dần sau đó. Nhưng nếu tình trạng mệt mỏi tiếp diễn kéo dài thì chứng tỏ bạn đã bị nhiễm trùng.
- Nhiễm trùng ở vết khâu nhổ răng khôn: đau nhức sau khi nhổ răng khôn là biểu hiện bình thường và nhiều người gặp phải do tùy cơ địa, và thường hết dần sau 2 đến 3 ngày đầu. Tuy nhiên nếu như vết thương khâu sau nhổ răng bị nhiễm trùng thì cơn đau sẽ kéo dài và tăng dần theo thời gian.
- Nhổ răng bị nhiễm trùng sẽ gây ra biểu hiện hôi miệng khi mở miệng hoặc nói chuyện trong giao tiếp. Vi khuẩn tồn tại trong khoang miệng tấn công vào vết thương sẽ khiến cho hơi thở có mùi hôi khó chịu.
- Xuất hiện chảy máu kéo dài, sưng đau má kéo dài: Khi bạn bị nhiễm trùng vị trí huyệt răng sau khi nhổ răng khôn thì tình trạng chảy máu kéo dài và biểu hiện sưng đau má sẽ diễn ra trong suốt nhiều ngày.
- Bị sốt cao: Sau khi nhổ răng khôn – răng số 8, nếu bị vi khuẩn tấn công vào vết thương sau nhổ răng thì sẽ rất dễ dàng gây ra tình trạng sốt cao, thân nhiệt cơ thể trên 38 độ C.
2 Nguyên nhân gì khiến nhổ răng khôn bị nhiễm trùng?
Sau khi nhổ răng khôn bị nhiễm trùng là tình trạng huyệt răng bị nhiễm khuẩn do vi khuẩn xâm lấn hoặc vùng nướu và xương hàm bị tổn thương quá nặng gây ra viêm nhiễm và nếu nguy hiểm hơn có thể làm hoại tử.
Điều này thường xảy ra do vấn đề vệ sinh răng miệng không được sạch sẽ, thói quen hút thuốc lá không kiêng khem theo chỉ định hướng dẫn sau khi nhổ răng, dụng cụ nhổ răng không đảm bảo vô trùng và tay nghề bác sĩ kém chất lượng do thực hiện nhổ răng 8 tại địa chỉ nha khoa không uy tín.
2.1 Chăm sóc vệ sinh răng nhổ không đúng cách
Vấn đề vệ sinh răng miệng sai cách chính là lý do hàng đầu khiến vị trí sau khi nhổ răng bị nhiễm trùng. Đặc biệt là răng khôn – nằm ở vị trí trong cùng của hàm răng nên khi so sánh với các vị trí răng còn lại là khó vệ sinh hơn.

Nếu các khách hàng không chịu khó súc miệng bằng nước muối sinh lý hoặc nước súc miệng không chứa thành phần nhạy cảm để làm sạch vết thương kỹ càng thì thức ăn sẽ dễ bị kẹt lại trong huyệt răng. Từ đó làm vi khuẩn có điều kiện thuận lợi sinh sôi nảy nở và khiến cho bạn bị nhiễm trùng.
2.2 Thói quen hút thuốc và không giữ chế độ kiêng khem sau khi nhổ răng
Hút thuốc lá có thể gây ung thư phổi và có rất nhiều tác hại cho cơ thể, đối với cơ thể khỏe mạnh vốn đã gây nhiều ảnh hưởng, huống chi sau nhỏ răng sức khỏe cơ thể bạn đang còn yếu và chưa hồi phục hẳn. Nếu bạn vẫn hút thuốc ngay sau khi nhổ răng 8 thì có thể gây ra những hậu quả vô cùng nghiêm trọng.

Hút thuốc sau khi nhổ răng khôn
Khói thuốc khi đi vào cơ thể sẽ tiếp xúc trực tiếp với vết thương hở và dẫn đến tình trạng nhiễm trùng. Hút thuốc lá sẽ làm giảm đi lượng oxy cần thiết cho quá trình tuần hoàn máu diễn ra đều đặn. Dẫn đến cục máu đông khó hình thành để cầm máu hơn, vết thương phải cần nhiều thời gian để hồi phục.
Nếu lực hút khi hút thuốc quá mạnh (rít thuốc lá quá mạnh) có thể làm cục máu đông vỡ ra, gây ra tình trạng chảy máu kéo dài thuận lợi cho vi khuẩn tấn công. Chính vì thế, các bác sĩ nha khoa khuyến cáo khách hàng dừng lại việc sử dụng thuốc lá sau khi nhổ răng để quá trình vết thương lành lại nhanh chóng và không gây biến chứng khác.
2.3 Điều kiện vô trùng của dụng cụ nhổ răng không đảm bảo
Các dụng cụ y tế sẽ trực tiếp tiếp xúc với cơ thể, khoang miệng và huyệt răng của bạn khi thực hiện nhổ răng khôn. Do đó, cần phải đảm bảo các vật liệu sử dụng là an toàn tuyệt đối, đồng thời không gây ra tình trạng lây nhiễm chéo giữa các khách hàng.

Nếu như cơ sở phòng khám nha khoa thực hiện nhổ răng không đảm bảo uy tín chất lượng thì rất dễ khiến bạn gặp biến chứng và nhiễm trùng, viêm nhiễm hậu nhổ răng.
2.4 Trình độ tay nghề của bác sĩ thực hiện nhổ răng 8
Dù biết kỹ thuật nhổ răng khôn không quá phức tạp và đa phần các bác sĩ chuyên khoa đều có thể thực hiện được. Nhưng, nếu bác sĩ tay nghề kém, không nắm vững kiến thức chuyên môn thì sẽ rất nguy hiểm cho bạn, bởi những dấu hiệu bất thường có thể xảy ra trong lúc nhổ sẽ không được xử lý kịp thời và đúng cách, gây ra những ảnh hưởng nghiêm trọng mà bạn không lường trước được.
3 Bị nhiễm khuẩn sau khi nhổ răng khôn có nguy hiểm không?
Nhiễm khuẩn sau khi nhổ răng 8 không chỉ gây ra đau nhức kéo dài và sưng tấy khó chịu mà sẽ còn tiềm ẩn một số nguy cơ cao dẫn đến nhiễm trùng máu và nhiễm khuẩn hô hấp, có thể gây ảnh hưởng tới tim.
Khi xảy ra tình trạng nhiễm trùng thì vi khuẩn sẽ trực tiếp tiếp cận với các mạch máu và cấu trúc xương ngay dưới vị trí huyệt răng nhiễm khuẩn. Chúng từ từ xâm lấn vào cơ thể và gây ra tình trạng nhiễm khuẩn nặng đến cho các bộ phận hô hấp, đường máu, tim…
Biểu hiện thường thấy khi vi khuẩn đã xâm nhập vào xoang hàm: Khó thở, đau nhức vùng mũi và xuất hiện dịch chảy xuống họng.
4 Cách xử lý tình trạng nhiễm trùng sau khi nhổ răng 8?
Không có cách nào tốt hơn ngoài việc bạn cần phải đến ngay các cơ sở nha khoa, bệnh viện gần nhất để được bác sĩ nha khoa điều trị sớm và dứt điểm.
Tùy vào mức độ nhiễm trùng và đặc tính riêng của từng cơ địa người bệnh mà bác sĩ nha khoa sẽ có những hướng điều trị khác nhau. Thông thường, bác sĩ có thể sẽ gỡ chỉ và loại bỏ phần viêm nhiễm trong huyệt răng, đặt thuốc kháng sinh chuyên dùng nha khoa,khâu lại vết thương để ngăn ngừa vi khuẩn xâm nhập trước khi hình thành cục máu đông bảo vệ.

Ngoài ra, còn có một số mẹo giúp giảm bớt sự khó chịu từ các triệu chứng nhiễm khuẩn gây ra như là:
- Sử dụng nước muối loãng sinh lý để súc miệng sau mỗi bữa ăn, với động tác nhẹ nhàng và tuyệt đối không súc mạnh, và miết má.
- Sử dụng gel nha khoa để giảm đau, giảm sưng
- Chườm đá lạnh bên ngoài để giảm cơn đau nhức
5 Bảng giá nhổ răng mới nhất tại Nha Khoa Hanseoul – hệ thống nha khoa uy tín tại Hà Nội
Ngày càng có nhiều nha khoa được mở ra để đáp ứng kịp thời nhu cầu khách hàng. Với hơn 15 năm trong lĩnh vực nha khoa Hanseoul chăm sóc sức khỏe răng miệng người việc với niềm tin: làm việc bằng cả trái tim, mang lại cho mỗi khách hàng trải nghiệm tuyệt vời khi thực hiện nhổ răng khôn tại đây.
Bài viết trên đây đã giải đáp đầy đủ những câu hỏi thắc mắc của bạn, hãy liên hệ với nha khoa Hanseoul qua hotline 0939 090 581 nếu bạn có bất kỳ thắc mắc cần giải đáp thêm nhé.





