Ai trong chúng ta cũng đều mong muốn một hàm răng sạch – khỏe – đẹp, tuy nhiên không phải ai cũng biết chăm sóc răng miệng một cách đúng đắn nhất. Sau thời gian răng sẽ xuất hiện các mảng bám cứng màu vàng đục là cao răng. Vậy cao răng gây ra hậu quả gì? Có khi nào cao răng tự rơi ra không? Cùng nha khoa Hanseoul tìm hiểu qua bài viết sau nhé!
1 Các cấp độ của cao răng

Việc cao răng tự rơi ra được không phụ thuộc vào mức độ bám chân răng, bám nướu ra sao. Hiện nay các chuyên gia y khoa chia cao răng ra 3 cấp độ chính:
- Cấp độ 1: Cao răng mới hình thành, mức độ dày dưới1mm. Cao răng lúc này có màu trắng đục và chuyển sang màu vàng nhạt. Mức độ này chưa ảnh hưởng quá nhiều đến sức khỏe răng miệng tuy nhiên nếu không chăm sóc cẩn thận sẽ khiến cấp độ tăng nhanh.
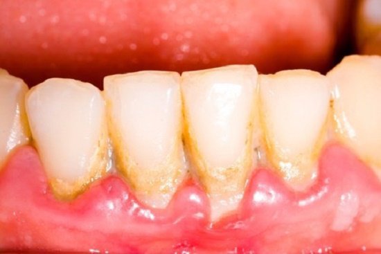
- Cấp độ 2: Cao răng ngày một dày thêm lên mức 1-2mm và chuyển màu vàng sậm có thể quan sát bằng mắt thường. Cao răng mức độ này thường gây ra một số vấn đề như viêm nướu hoặc chảy máu chân răng.
- Cấp độ 3: Sau khi để tình trạng cao răng kéo dài, các mảng bám dày hơn và chuyển màu nâu sậm, thậm chí chuyển màu đen. Cấp độ này khiến tình trạng viêm nướu nặng hơn và gây mùi hôi miệng khó chịu.
2 Tác hại của cao răng

Cao răng không được xử lý trong thời gian dài dễ gây ra các tác hại sau:
- Cao răng khiến răng đổi màu, ảnh hưởng thẩm mỹ và sự tự tin khi giao tiếp
- Cao răng gây hôi miệng có thể tạo tâm lý khó chịu và ngại ngùng
- Vi khuẩn bám ở các mảng cao răng khiến nguy cơ các bệnh về răng miệng như viêm lợi, viêm nha chu
- Ảnh hưởng nướu nặng có thể khiến răng lung lay, thậm chí gây gãy rụng răng
3 Cao răng tự rơi ra được không? Khi nào lên lấy cao răng?
Việc cao răng tự rơi ra khá khó bởi các mảng bám bị vôi hóa này bám rất chắc vào chân răng. Ở mức độ 1 khi cao răng mới hình thành bạn có thể kết hợp chỉ nha khoa cũng như nước súc miệng chuyên dụng để loại bỏ một phần cao răng. Còn ở các mức độ cao hơn thì cần các phương pháp xử lý chuyên nghiệp.
Chuyên gia khuyến cáo bạn nên lấy cao răng tối thiểu 6 tháng 1 lần, có thể thay đổi tùy theo tình hình chăm sóc răng miệng thực tế. Với người có chế độ chăm sóc răng miệng kém hoặc hay hút thuốc có thể cần lấy cao răng 3 tháng 1 lần, còn với người có chế độ chăm sóc răng miệng tốt có thể 1 năm 1 lần.
Lấy cao răng ra sao và chi phí lấy cao răng
Các phương pháp lấy cao răng được lan truyền như dùng đường nâu, muối, vỏ chuối… tuy có hiệu quả nhưng không triệt để cũng như vô hiệu trước cao răng cấp độ 2, cấp độ 3.
Bạn nên lấy cao răng ở các cơ sở y khoa uy tín để lấy cao răng và đánh bóng răng tốt nhất. Quá trình này chỉ trong khoảng 15 phút và chi phí ở mức 200.000 – 300.000 cả 2 hàm. Bạn có thể tham khảo ngay dịch vụ lấy cao răng tại Hanseoul để được sử dụng dịch vụ nha khoa chuẩn quốc tế hàng đầu Việt Nam.