Trám răng hay còn gọi bằng cái tên quen thuộc khác là hàn răng. Phương pháp này thường được chỉ định cho nhiều đối tượng sử dụng khác nhau với những tình trạng răng miệng khác nhau. Theo đó, chi phí trám răng hiện nay và bảng giá Hot được cập nhật mới nhất là thắc mắc chung của nhiều khách hàng khi quyết định lựa chọn dịch vụ trám răng phục hình, thẩm mỹ. Để giải đáp câu hỏi, thắc mắc phía trên, mời bạn đọc cùng với nha khoa Hanseoul tìm hiểu thông tin ở bài viết ngay dưới đây nhé!
1 Tìm hiểu thông tin chung về trám răng
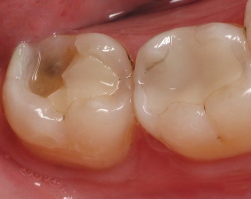
Trám răng là gì? Chi phí trám răng bao nhiêu? Trám răng hay còn gọi là hàn răng, là phương pháp sử dụng vật liệu nha khoa để bồi đắp, bổ sung vào phần mô răng bị thiếu sót do sứt mẻ, sâu răng gây ra…Trám răng là giải pháp vừa giúp cải thiện tính thẩm mỹ cho hàm răng và còn giúp cải thiện, cũng như khôi phục chức năng ăn nhai hiệu quả.
Vậy cần trám răng khi nào?
1.1 Trắm răng sâu:
Sâu răng là tình trạng thường gặp của răng miệng, sâu răng tạo ra các lỗ hổng trên răng do bạn sử dụng quá nhiều đồ ngọt hoặc thực phẩm không lành mạnh tạo thành, chế độ chăm sóc răng miệng không đúng cách, lười đánh răng cũng là một trong số những nguyên nhân làm răng bị sâu, phá hủy cấu trúc men răng, tạo thành lỗ đen lớn trên răng ảnh hưởng súc khỏe và thiếu thẩm mỹ.
Một số dấu hiệu cảnh báo bạn đã bị sâu răng như là:
- Răng bỗng dưng nhói đau đột xuất
- Răng trở nên dễ nhạy cảm khi sử dụng đồ ăn nóng, lạnh
- Trên răng hình thành những lỗ hổng li ti dần đến lớn
- Bề mặt của răng bị đổi màu, màu sắc biến đổi sậm hơn, từ trắng sang vàng, nâu đen.
- Răng bị đau nhức sau khi ăn uống các thức ăn lạnh, ví dụ như kem hoặc canh súp nóng.
Trong trường hợp xuất hiện các triệu chưngs trên, bạn cần nhanh chóng đến ngay cơ sở nha khoa tin cậy để trám bít, xử lý lỗ hổng trên răng, loại bỏ tác nhân gây sâu răng. Cách làm này sẽ giúp loại bỏ các triệu chứng khó chịu và phục hồi lại tính thẩm mỹ vốn có của hàm ẳng.
1.2 Trám răng mẻ:
Khi răng bị sứt mẻ do nhiều nguyên nhân như: tai nạn, tác động vật lý mạnh hoặc do lực cắn phải vật cứng rắn trong quá trình ăn nhai, làm ảnh hưởng đến cấu trúc của răng.
Nếu bác sĩ nha khoa phát hiện sớm vết nứt thì cần chỉ định thực hiện trám răng để khắc phục nhanh chóng và an toàn cho bạn. Để thực hiện, đầu tiên bạn cần vệ sinh sạch sẽ răng miệng nhằm loại bỏ vi khuẩn, rồi sau đó lấp đầy vật liệu trám chuyên dùng nha khoa vào chỗ răng sứt mẻ.
1.3 Trám răng thưa:
Răng thưa là tình trạng các răng nằm cách xa nhau ở trên cung hàm. Những khoảng thưa ở răng làm ảnh hưởng tới thẩm mỹ của cái “Góc” và còn làm ảnh hưởng tới cả chức năng ăn nhai của răng. Đặc biệt khi kẽ răng thưa nằm ở vị trí răng cửa. Vì thế, trám răng thẩm mỹ trở thành một trong những phương pháp thẩm mỹ được áp dụng để giúp hàm răng thẩm mỹ hơn. Tuy nhiên phương pháp này , chỉ nên áp dụng đối với các khoảng thưa nhỏ hơn 2mm.
Nếu khoảng răng thưa lớn hơn thì nếu trám ở vùng răng cửa sẽ làm răng trở nên to hơn và bị mất cân đối sau khi thực hiện trám răng thẩm mỹ. Ở trường hợp này bạn nên chuyển sang lựa chọn khác là: niềng răng hoặc có thể bọc răng sứ tùy theo nhu cầu và khả năng kinh tế.
1.4 Trám răng thế vào miếng trám cũ:
Trám răng không phải là kỹ thuật có hiệu quả vĩnh viễn. Theo thời gian dài sử dụng, miếng trám răng sẽ dần mài mòn do khi nhai thức ăn và bong ra. Lúc này bạn cần phải trám lại răng để thay thế cho miếng trám cũ đã hỏng.
Những vật liệu trám răng thông dụng:
Ngày nay có rất nhiều loại vật liệu trám răng khác nhau với chi phí trám răng khác nhau, chúng có sự đa dạng cả về màu sắc lẫn chất liệu. Cùng với đó, mỗi loại vật liệu sẽ có những ưu điểm và nhược điểm nhất định.
Vật liệu trám Amalgam:
Hay còn được gọi với tên gọi khác là miếng trám bạc. Một loại vật liệu đã xuất hiện từ lâu đời và có giá thành thấp nhất trong tất cả các loại vật liệu trám hiện nay. Thành phần của Amalgam là hỗn hợp của các thành phần có thể kể đến như: bạc, kẽm, thiếc, đồng, thủy ngân (chiếm một tỉ lệ rất nhỏ và đã được các chuyên gia kiểm định là an toàn đối với sức khỏe con người).

Ưu điểm: Độ bền cao với tuổi thọ 10 – 15 năm và khả năng chịu được lựa nahi tốt với chi phí trám răng rẻ nhất trong các loại vật liệu trám.
Nhược điểm: Không đạt được hiệu quả thẩm mỹ, và kén chọn đối với những bệnh nhân bị dị ứng thành phần kim loại.
Vật liệu trám Composite:
Trám răng bằng vật liệu composite là phương pháp trám răng có tính thẩm mỹ cao được nhiều người lựa người chọn lựa.

Ưu điểm: Composite có màu sắc gần giống màu răng tự nhiên, vì vậy thường được ứng dụng trám răng tại các vị trí răng cửa, dễ để lộ khi cười.
Nhược điểm: Trám răng bằng Composite không bền như trám răng bằng vật liệu Amalgam, miếng trám có hiệu quả chỉ trung bình 5 năm. Bên cạnh đó, nếu bạn sử dụng composite cho những lỗ hổng sâu răng lớn thì kích thước lớn sẽ không đạt được hiệu quả cao.
Vật liệu trám Sứ:
Trám răng bằng sứ Inlay – Onlay cũng là một trong những lựa chọn thông dụng hiện nay. Đặc biệt phù hợp với những trường hợp răng bị sứt mẻ lớn cần thực hiện với kỹ thuật phức tạp hơn.

Ưu điểm: Vật liệu có màu giống màu sắc răng tự nhiên, chống bám bẩn tốt và khả năng ăn mòn tốt hơn so với Composite. Thời gian có thể kéo dài tới 10 năm nếu bảo vệ tốt.
Nhược điểm: Chi phí trám răng cao hơn Amalgam và Composite
Miếng trám răng có thể giữ được hiệu quả trong bao lâu?
Thông thường miếng trám răng sâu có tuổi thọ khoảng từ 3 đến 5 năm và dựa vào một số yếu tố nhất định. Trong đó kỹ thuật tay nghề của bác sĩ thực hiện đóng vai trò quan trọng. Nếu như sử dụng kỹ thuật tốt, thực hiện đúng với quy trình chuẩn thì chất lượng miếng trám sẽ duy trì được lâu dài hơn.
Bên cạnh đó việc lựa chọn các loại vật liệu trám cũng sẽ ảnh hưởng và là yếu tố quyết định không nhỏ tới chi phí trám răng, độ bền và độ bám dính của miếng trám. Bạn cũng cần chú ý tới chế độ chăm sóc răng miệng, thăm khám định kỳ 6 tháng một lần để kiểm tra, nhằm kéo dài được tuổi thọ của miếng trám răng.
Trám răng là một dịch vụ nha khoa rất phổ biến ngày nay mà bạn có thể thấy ở bất kỳ một cơ sở phòng nha nào. Tuy nhiên, bạn cần cân nhắc thật kỹ càng xem nha khoa có uy tín hay không, các bác sĩ thực hiện liệu có đảm bảo chứng chỉ hành nghề, tay nghề lâm sàng có lâu năm, hệ thống cơ sở vật chất và công nghệ y học sử dụng tại nha khoa có đảm bảo tiêu chuẩn bộ y tế?…
2 Chi phí trám răng hiện nay và bảng giá trám răng tốt nhất tại Nha khoa Hanseoul
Nha khoa Hanseoul tự hào hơn 15 năm hoạt động cùng đội ngũ bác sĩ nha khoa, cơ sở vật chất tại phòng khám hiện đại hứa hẹn sẽ mang đến cho khách hàng kết quả dịch vụ làm răng tối ưu nhất, chi phí trám răng hợp lý nhất.

- Là phòng khám chuyên khoa được Sở y tế Hà Nội cấp giấy phép hoạt động
- Không ngừng nâng cao chất lượng dịch vụ và tự hào trở thành nha khoa được hàng nghìn khách hàng lựa chọn mỗi năm
- Chi phí trám răng và các dịch vụ nha khoa hợp lý, đảm bảo phù hợp với chất lượng dịch vụ khách hàng nhận được. Châm ngôn “ làm việc bằng cả trái tim” chính là ưu thế của nha khoa được nhiều khách hàng gắn bó lâu dài tại đây.
Để được đặt lịch thăm khám và tư vấn, quý khách vui lòng liên hệ với chúng tôi qua hotline 0939 090 581 để nhận ưu đãi chi phí trám răng và được trực tiếp bác sĩ trao đổi nhé!