- 1 Niềng răng mắc cài pha lê là gì?
- 2 Ưu điểm và nhược điểm của phương pháp niềng răng mắc cài pha lê
- 2.1 Ưu điểm
- 2.2 Nhược điểm
- 3 Cách chăm sóc răng miệng trong khi niềng răng mắc cài pha lê
- 3.1 Chế độ ăn uống hợp lý
- 3.2 Chăm sóc răng miệng đúng cách
- 3.3 Tuân theo chỉ định của bác sĩ
- 4 Giá niềng răng mắc cài pha lê phụ thuộc vào các yếu tố nào?
- 5 Niềng răng mắc cài pha lê tại Nha khoa Hanseoul
Cùng với sự phát triển của xã hội, các phương pháp niềng răng cũng được nghiên cứu và ngày càng được nâng cấp đáng kể. Niềng răng mắc cài pha lê là một trong những phương pháp chỉnh nha đảm bảo hiệu quả và tính thẩm mỹ cao nhất hiện nay. Nha khoa Hanseoul sẽ chia sẻ thêm cho các bạn thông tin về niềng răng mắc cài pha lê qua bài viết dưới đây.
1 Niềng răng mắc cài pha lê là gì?
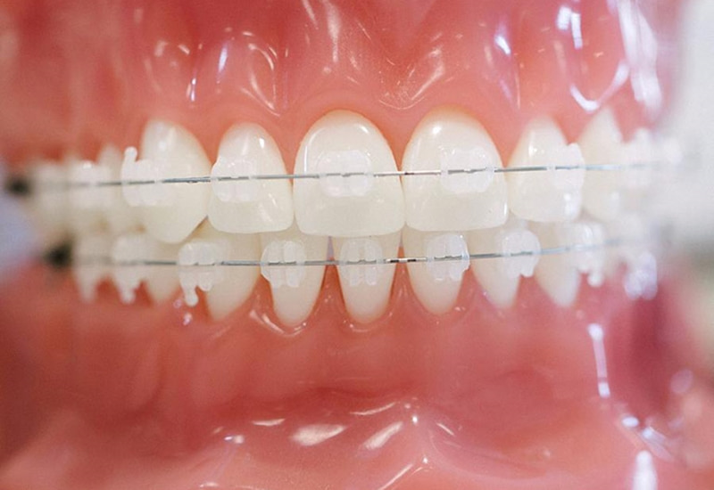
Nguyên lý hoạt động của phương pháp niềng răng mắc cài pha lê tương tự như phương pháp niềng răng mắc cài kim loại truyền thống với hệ thống mắc cài và dây cung nằm cố định trong các rãnh mắc cài.
Điểm khác biệt lớn nhất chính là niềng răng mắc cài pha lê sử dụng các mắc cài được làm từ pha lê trong suốt nên sẽ không làm lộ khí cụ niềng.

Thông thường, những người sử dụng phương pháp chỉnh nha này đều là những người có nhu cầu thẩm mỹ rất cao mà các phương pháp niềng răng kim loại hay mắc cài sứ không đáp ứng được.
2 Ưu điểm và nhược điểm của phương pháp niềng răng mắc cài pha lê
2.1 Ưu điểm
- Tính thẩm mỹ cao: mắc cài được làm từ chất liệu pha lê trong suốt, không màu và dây cung màu trắng nhìn như vô hình nên gần như không bị lộ dấu vết thẩm mỹ.
- An toàn, không kích ứng: chất liệu pha lê không góc cạnh, trơn láng, đã được kiểm chứng nên không gây kích thích mô mềm khi cọ sát và không gây kích ứng khoang miệng.

- Hiệu quả nắn chỉnh răng tốt: ngoại trừ những trường hợp sai khớp cắn quá phức tạp, các trường hợp còn lại như răng hô, mọc lệch, răng thưa, khấp khểnh,… đều có thể sử dụng phương pháp niềng răng mắc cài pha lê để điều chỉnh.
2.2 Nhược điểm
- Độ bền không cao: mắc cài pha lê có độ chắc kém hơn mắc cài kim loại và mắc cài sứ nên dễ vỡ và khó nguyên vẹn nếu bị va đập mạnh.
- Lực kéo yếu: so với mắc cài kim loại và mắc cài sứ, lực kéo của dây cung ở mắc cài pha lê yếu hơn nên sẽ mất nhiều thời gian niềng hơn.
- Gây vướng víu, khó chịu hơn: mắc cài pha lê có thiết kế to hơn mắc cài kim loại và mắc cài sứ nên sẽ chiếm nhiều diện tích hơn.
3 Cách chăm sóc răng miệng trong khi niềng răng mắc cài pha lê
Vì mắc cài pha lê có màu trùng với màu răng nên nếu không vệ sinh đúng cách, các vết ố vàng sẽ dễ dàng bị nhận ra. Vì thế, để vừa đảm bảo sức khỏe, hiệu quả niềng răng vừa nâng cao tính thẩm mỹ, khách hàng nên lưu ý những vấn đề sau:
3.1 Chế độ ăn uống hợp lý
Trong quá trình niềng răng, khách hàng cần bổ sung đầy đủ dưỡng chất cho cơ thể đồng thời loại bỏ các loại thực phẩm có hại, cụ thể:
- Tăng cường bổ sung 4 nhóm dưỡng chất gồm chất bột đường, chất béo vitamin, protein và khoáng chất để giúp răng phát triển khỏe mạnh, chắc chắn.
- Sử dụng các loại thực phẩm mềm, mịn, nhỏ, không có cứng và không cần lực nhai quá mạnh như bún, cháo, nước hoa quả, sinh tố, các loại rau củ được xay nhuyễn hoặc cắt nhỏ và hạn chế tối đa các loại mảng bám giữa các mắc cài để tránh ảnh hưởng đến răng.

- Hạn chế tối đa các loại thực phẩm cứng, dẻo, đồ cay nóng, thực phẩm chứa nhiều đường hoặc chứa axit cao như như kẹo, bánh dày, nước đá, khoai tây chiên,… để tránh các bệnh lý như sâu răng.
3.2 Chăm sóc răng miệng đúng cách
Bên cạnh vấn đề ăn uống, khách hàng cần đặc biệt chú ý đến vấn đề vệ sinh răng miệng. Chăm sóc răng miệng đúng cách sẽ giúp bạn ngăn chặn sự phát triển của các loại vi khuẩn gây hại và hạn chế tình trạng mắc cài pha lê bị ố vàng, cụ thể:
- Chuẩn bị bàn chải dành riêng cho người niềng răng, nên chỉ sử dụng loại bàn chải lông mềm và bàn chải kẽ để có thể làm sạch ở những vị trí sâu, khó làm sạch.
- Đánh răng đều đặn mỗi ngày, không chỉ đánh răng 2 lần sáng tối mà cần phải đánh răng lại sau mỗi bữa ăn để ngăn không cho vi khuẩn sinh sôi, phát triển.

- Nên sử dụng chỉ nha khoa để loại bỏ triệt để các mảng bám giữa các mắc cài hoặc giữa các răng. Ngoài ra, bạn có thể sử dụng tăm nước và nước sát khuẩn để loại bỏ toàn bộ vi khuẩn gây hại trong môi trường khoang miệng.
3.3 Tuân theo chỉ định của bác sĩ
Khách hàng cần tuân thủ đúng theo chỉ định và phác đồ điều trị được đặt ra từ đầu của bác sĩ trong quá trình đeo niềng răng mắc cài pha lê, không tự ý tháo mắc cài. Nếu bị bung mắc cài hoặc bị ảnh hưởng đến các mô mềm bên trong khoang miệng, cần đến ngay phòng khám nha khoa để được điều chỉnh.

Ngoài ra, khách hàng cần tái khám định kỳ theo đúng lịch hẹn để bác sĩ kiểm tra và xác định đúng tình trạng của răng, từ đó điều chỉnh mắc cài phù hợp với mức độ di chuyển của răng trên cung hàm.
Bên cạnh đó, việc kiểm tra sức khỏe răng miệng định kỳ 6 tháng/lần cũng cần được thực hiện để phát hiện và chữa trị kịp thời các bệnh lý về răng miệng nếu có.
4 Giá niềng răng mắc cài pha lê phụ thuộc vào các yếu tố nào?
Mức giá niềng răng mắc cài pha lê sẽ khác nhau tùy thuộc vào các yếu tố sau:
- Tình trạng răng: những người đang gặp tình trạng răng mọc khấp khểnh, lệch lạc hoặc thừa quá nhiều sẽ phải tiến hành nhổ răng trước khi niềng khiến chi phí cao hơn những trường hợp khác.
- Loại niềng pha lê: loại niềng bạn chọn là niềng răng mắc cài pha lê dùng chun buộc, tự động hay niềng mặt trong cũng sẽ ảnh hưởng tới chi phí niềng. Thông thường, niềng răng mắc cài pha lê dùng chun buộc là rẻ nhất, sau đó đến niềng tự động và niềng mặt trong có chi phí cao nhất.
- Địa chỉ niềng răng: mỗi cơ sở sẽ có mức giá, chế độ bảo hành, ưu đãi dành cho khách hàng khác nhau. Khách hàng cần cân nhắc kỹ càng tất cả các yếu tố trước khi lựa chọn đơn vị niềng răng cho bản thân.
5 Niềng răng mắc cài pha lê tại Nha khoa Hanseoul
Nha khoa Hanseoul đã có gần 10 năm kinh nghiệm trong việc điều trị các vấn đề răng miệng. Nhờ công nghệ tân tiến và đội ngũ bác sĩ chuyên môn giỏi, luôn chăm sóc tận tình từng bệnh nhân, nha khoa Hanseoul đã thực hiện thành công hàng chục nghìn ca niềng răng cho khách hàng.

Khách hàng mong muốn sở hữu hàm răng đẹp, khỏe hãy đến ngay với nha khoa Hanseoul tại 2 cơ sở:
- Cơ sở 1: 93 & 95 Vũ Ngọc Phan, Láng Hạ, Đống Đa, Hà Nội.
- Cơ sở 2: Cơ sở 2: 38 Nguyễn Văn lộc, Làng Việt Kiều Châu Âu, Phường Mộ Lao, Quận Hà Đông, Hà Nội
Trên đây là những thông tin về niềng răng mắc cài pha lê từ Nha khoa Hanseoul. Niềng răng mắc cài pha lê là phương pháp có thể đáp ứng cả hai yếu tố: hiệu quả chỉnh nha và tính thẩm mỹ nên rất được khách hàng yêu thích. Để hiểu kỹ hơn về phương pháp này, hãy liên hệ ngay với Nha khoa Hanseoul qua số điện thoại 0939 090 581





