- 1 Vì sao răng dễ bị nhiễm màu trong quá trình niềng răng chỉnh nha?
- 2 Tẩy trắng răng là gì?
- 3 Công nghệ tẩy trắng Laser Whitening ở Nha Khoa Hanseoul
- 4 Có nên tẩy trắng răng sau khi niềng răng chỉnh nha không?
- 5 Vậy sau khi tháo niềng bao lâu thì được tẩy trắng răng?
- 6 Lưu ý khi tẩy trắng răng sau khi niềng răng chỉnh nha
Sau khi đã tháo mắc cài niềng răng, mặc dù bạn đã có hàm răng đều đặn và khuôn miệng hài hòa như mong muốn, nhưng không ít trường hợp răng bị tình trạng ngả màu hoặc ố vàng. Điều này khiến cho nụ cười kém rạng rỡ và thiếu thẩm mỹ cho gương mặt, đôi khi vẫn sẽ khiến bạn e ngại khi cười bởi màu sắc chưa trắng sáng. Tẩy trắng răng là biện pháp hiệu quả nhất được nhiều người chọn lựa khi muốn cải thiện màu sắc cho hàm răng. Vậy thì có nên tẩy trắng răng sau khi niềng răng chỉnh nha không? Cùng Nha Khoa Hanseoul tìm câu trả lời qua bài viết dưới đây ngay nhé!
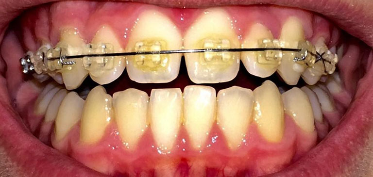
1 Vì sao răng dễ bị nhiễm màu trong quá trình niềng răng chỉnh nha?
Thông thường, giai đoạn niềng răng diễn ra trong khoảng thời gian khá dài, khoảng từ 1,5 đến 2 năm hoặc hơn tùy thuộc vào mỗi tình trạng răng, phương pháp thực hiện và yếu tố ngoại cảnh. Trong suốt quá trình niềng răng lâu dài như vậy thì cũng có khá nhiều nguyên nhân có thể dẫn tới tình trạng răng bị xỉn màu, ngả vàng:
- Điển hình là vấn đề vệ sinh răng miệng, vệ sinh răng miệng không đúng cách do có sự vướng víu của mắc cài, dây cung và các khí cụ dùng trong chỉnh nha.
- Chưa hình thành được thói quen vệ sinh răng miệng kỹ lưỡng trong việc chăm sóc sức khỏe và vệ sinh răng miệng, bởi giai đoạn này bạn sẽ cần thời gian vệ sinh lâu hơn, nhiều các bước hơn và cần tỉ mỉ hơn so với khi răng bình thường.

- Chỉ sử dụng kem đánh răng và bàn chải thôi là chưa đủ. Đảm bảo vệ sinh sạch sẽ trong khi niềng răng chỉnh nha thì cần: kết hợp sử dụng bàn chải kẽ, chỉ nha khoa, máy tăm nước, nước súc miệng, bàn chải điện…để làm sạch những khe hở của răng và khoảng trống giữa các dây cung với răng và vùng xung quanh của mắc cài.
- Lựa chọn loại kem đánh răng không phù hợp sẽ khiến răng dễ ngả màu. Hiện nay có nhiều loại kem đánh răng chuyên dùng trong nha khoa, dùng để thay thế kem đánh răng thông thường, sẽ giúp cải thiện màu sắc của răng tốt hơn.
- Các mảng bám thức ăn còn bị kẹt lại trong khoang miệng lâu ngày nếu không được làm sạch thì sẽ tạo thành các mảng bám cao răng – nguyên nhân khiến răng bị ngả vàng, gây ra một số bệnh lý răng miệng như: hôi miệng, sâu răng, viêm nha chu, viêm nướu,..
- Sử dụng các loại thức ăn sẫm màu (cà ri, bột nghệ, sốt cà chua) và đồ uống có màu, nếu không được làm sạch ngay thì sẽ dễ làm răng ngả màu, bị bám màu vào men răng.
- Một số loại kháng sinh có chứa thành phần làm răng ngả vàng, tùy từng loại mà răng có thể bị ngả màu vàng, nâu, xám xanh. Vì thế nếu gặp phải biểu hiện này, bạn cần đến gặp nha sĩ để có hướng khắc phục kịp thời.
Kết luận: Niềng răng chỉnh nha không làm cho răng nhiễm màu, ngả vàng mà do vấn đề vệ sinh chăm sóc răng miệng chưa đúng cách gây ra.
2 Tẩy trắng răng là gì?
Tẩy trắng răng là kỹ thuật làm cho màu răng trở nên trắng sáng hơn so với màu sắc ban đầu. Để cải thiện màu sắc của răng, nha sĩ sẽ sử dụng dung dịch thuốc tẩy trắng kết hợp với ánh sáng mang năng lượng từ tia Laser, sinh ra phản ứng oxy hóa làm đứt gãy các phân tử mang màu sắc ở bên trong phần ngà răng. Từ đó, làm răng trở nên trắng sáng, khôi phục nụ cười tự tin cho bạn.

3 Công nghệ tẩy trắng Laser Whitening ở Nha Khoa Hanseoul
Laser Whitening hiện là công nghệ tẩy trắng răng được nhiều người yêu thích nhất tại Nha Khoa Hanseoul. Giải pháp mới nhất trong việc khôi phục, cải tạo khiếm khuyết về màu sắc của răng, được các chuyên gia và bác sĩ chuyên môn đánh giá cao về tính hiệu quả so với các phương pháp tẩy trắng răng truyền thống.
- Hoàn toàn lành tính với cơ thể: Sử dụng thuốc tẩy trắng có nồng độ và liều lượng không thích hợp sẽ làm ảnh hưởng tổn thương cho nướu, hoặc lượng thuốc quá ít sẽ không đủ để mang lại hiệu quả tẩy trắng tối đa. Tuy nhiên, dưới sự chỉ định của bác sĩ chuyên môn giỏi ở cơ sở nha khoa uy tín, liều lượng và nồng độ thích hợp sẽ hoàn toàn an toàn cho cơ thể. Không gây bất kỳ tổn thương nào cho mô mềm như: môi, lưỡi, nướu, bảo vệ an toàn cho răng miệng.
- Thời gian thực hiện nhanh chóng: Chỉ sau 40 – 60 phút thực hiện là răng đã bật tông và trở nên trắng sáng.

- Đem lại lợi ích cho mô và men răng: Nhờ năng lượng ánh sáng từ tia Laser giúp tăng khả năng phát triển của các thành phần của mô răng, Mô răng sẽ được sản sinh và bồi đắp nhờ phản ứng của thuốc tẩy trắng răng.
- Mang lại hiệu quả lâu dài: Sau khi răng tẩy trắng được chăm sóc kỹ lưỡng như chỉ định của nha sĩ thì kết quả tẩy trắng răng có thể kéo dài tới 3 năm.
4 Có nên tẩy trắng răng sau khi niềng răng chỉnh nha không?
Theo khuyến cáo của bác sĩ nha khoa, bạn không nên tẩy trắng răng trong quá trình niềng răng vì những lý do sau đây:
- Lúc này trên bề mặt răng còn có mắc cài và dây cung, sẽ làm cho quá trình tẩy trắng trở nên khó khăn.
- Răng đang trong quá trình di chuyển, chạy răng nên còn khá nhạy cảm, dễ xảy ra tình trạng ê buốt.
- Trong quá trình chỉnh nha, các mảng bám thức ăn dễ bị kẹt lại và hình thành cao răng, gây ra các vấn đề về viêm lợi, sưng nướu, viêm nha chu…sẽ không an toàn nếu thực hiện tẩy trắng răng.
- Kết quả tẩy trắng răng không đều do hiện tại trên răng còn chứa mắc cài. Sau khi tháo mắc cài sẽ có sự lệch tông giữa phần dưới mắc cài và phần đã tẩy trắng.
Chính vì thế, răng bị ngả vàng trong quá trình niềng răng chỉnh nha thì bạn cũng hãy đợi sau khi tháo niềng mới tẩy trắng răng nhé!
5 Vậy sau khi tháo niềng bao lâu thì được tẩy trắng răng?
Sau khi hoàn thành quá trình chỉnh nha, nếu hàm răng không được trắng sáng thì bạn có thể thực hiện tẩy trắng răng. Tuy nhiên, bạn cần lưu ý không nên tẩy trắng ngay sau khi vừa tháo mắc cài.
Lý do là: Sau khi trải qua vài năm đeo khí cụ chỉnh nha dẫn đến men răng còn yếu và chưa ổn định. Vì thế khi thực hiện tẩy trắng ngay thì tia Laser có thể làm tổn thương đến nướu và men răng của bạn. Các chuyên gia và bác sĩ nha khoa khuyến cáo, bạn nên thực hiện tẩy trắng sau khi tháo niềng tối thiểu 1 tháng. Ngoài ra chỉ thực hiện cho bệnh nhân trên 17 tuổi – khi răng và cấu trúc xương hàm đã phát triển hoàn thiện.
6 Lưu ý khi tẩy trắng răng sau khi niềng răng chỉnh nha
Để việc tẩy trắng răng đạt được như ý, hiệu quả thực hiện cao nhất thì bạn cần điểm lại một số lưu ý sau đây:
- Độ tuổi được tẩy trắng răng: Hầu hết mọi người trưởng thành đều có thể thực hiện tẩy trắng răng. Không được chỉ định trong trường hợp bệnh nhân dưới 16 tuổi, vì lớp men răng và cấu trúc xương hàm chưa phát triển hoàn thiện dễ gây kích thích nướu và tổn hại cho sức khỏe răng miệng.

- Sức khỏe răng miệng: Nếu bạn gặp phải một số bệnh lý như: sâu răng, viêm nướu, viêm nha chu,…thì cần điều trị dứt điểm mới có thể tiến hành tẩy trắng răng.
- Chăm sóc răng sau tẩy trắng: Hạn chế thực phẩm có màu, nước ngọt đóng chai, đồ uống có ga, cồn…
Tẩy trắng răng ở một địa chỉ an toàn uy tín là yếu tố quan trọng quyết định tới hiệu quả tẩy trắng răng của bạn. Chính vì thế bạn cần lựa chọn một nơi đáng tin cậy để thực hiện nhé.
Nha Khoa Hanseoul được nhiều khách hàng đánh giá và phản hồi tích cực khi chăm sóc sức khỏe răng miệng tại đây. Với hơn 15 năm trong ngành nha khoa cùng đội ngũ bác sĩ chất lượng cao, tốt nghiệp từ Đại học Y Hà Nội, đảm bảo kết quả hài lòng cho bạn khi tẩy trắng răng tại đây. Tham khảo bảng giá của Hanseoul dưới đây sẽ giúp bạn có lựa chọn thông thái cho mình.
Từ nay đến hết 31/12/2022, Nha Khoa Hanseoul đang có chương trình tri ân khách hàng về dịch vụ tẩy trắng răng với mức giá hấp dẫn. Để biết thêm chi tiết chương trình, vui lòng liên hệ qua hotline 0939 090 581 hoặc tới các cơ sở của Hanseoul. Hãy nhanh tay đăng ký để không bỏ lỡ cơ hội được ưu đãi nhé!





