- 1 Dán sứ Veneer là gì?
- 2 Dán sứ Veneer có gì khác với bọc răng sứ?
- 3 Các loại mặt dán sứ veneer
- 3.1 Răng Veneer Composite
- 3.2 Mặt dán răng sứ Veneer
- 3.3 Mặt dán răng Veneer phía trong (Veneers Palatal/Lingual)
- 3.4 Răng sứ Veneer không mài
- 3.5 Răng Veneer tháo lắp (Removable/Snap on Veneers)
- 4 Dán sứ veneer có tốt không?
- 5 Nhược điểm khi dán sứ veneer
- 6 Dán sứ Veneer có bền không?
- 7 Khi nào nên dán sứ Veneer
- 8 Những lưu ý khi sử dụng mặt dán sứ Veneer
- 8.1 Về chế độ ăn uống
- 8.2 Chăm sóc răng đúng cách sau khi dán sứ Veneer
- 8.3 Duy trì thói quen đi khám răng định kỳ
- 9 Quy trình dán mặt sứ veneer
- 10 So sánh bọc răng sứ và dán veneer
- 11 Dán sứ Veneer ở nha khoa Hanseoul bao nhiêu tiền
Trong nha khoa, dán sứ Veneer là một trong những phương pháp hỗ trợ khắc phục những khuyết điểm trên hàm răng. Cụ thể, một lớp sứ mỏng từ 0.2 – 0.5mm sẽ được gắn lên bề mặt của răng. Đây là kỹ thuật được các bác sĩ răng hàm mặt đánh giá rất tốt bởi những ưu điểm mà nó mang lại. Tuy nhiên, để có kết quả thành công mỹ mãn thì cần bàn tay dày dặn kinh nghiệm của bác sĩ và nha khoa thực hiện quá trình dán sứ Veneer. Cùng Nha khoa Hanseoul tìm hiểu thêm về phương pháp thẩm mỹ răng này nhé!
1 Dán sứ Veneer là gì?
Mặt dán sứ veneer là một phương pháp thẩm mỹ trong nha khoa, trong đó một lớp sứ mỏng được dán lên mặt răng bằng loại keo dán chuyên biệt. Phương pháp dán sứ Veneer thường được bác sĩ tư vấn áp dụng đối với trường hợp như:
- Răng bị ố vàng, xỉn màu
- Răng bị sứt mẻ
- Răng khấp khểnh
- Răng thưa
- Răng không đều nhau.
Veneer được xem như lớp áo mới cho răng, kiến tạo và khôi phục vẻ trắng sáng của răng như lúc đầu. Khi chính thức được đưa vào ứng dụng trong thẩm mỹ nha khoa thì các chuyên gia trên thế giới đều đánh giá rất cao về chất lượng và kết quả cuối cùng của phương pháp này mang lại.

Veneer Composite
Miếng dán sứ Veneer được làm từ chất liệu rất mỏng với độ dày khoảng 0.3 – 0.7 mm. Để thực hiện, bác sĩ tiến hành mài một lớp mỏng trên răng, sau đó dán và cố định miếng sứ lên bề mặt của răng bằng một chất kết dính chuyên dụng (an toàn và được phép dùng trong nha khoa).
XEM NGAY VIDEO GIỚI THIỆU VỀ PHƯƠNG PHÁP DÁN RĂNG SỨ VENEER
2 Dán sứ Veneer có gì khác với bọc răng sứ?
Nhắc đến các phương pháp thẩm mỹ nha khoa, bọc răng sứ thường được nhiều người nghĩ đến. Với phương pháp bọc răng sứ, Bác sĩ sẽ mài đi phần lớn mô răng thật để chụp mão sứ lên răng. Có nhiều trường hợp nếu như mài đến tủy răng sẽ phải thực hiện rút tủy.

Hình ảnh bọc răng sứ và dán sứ veneer
Nếu như so sánh với bọc răng sứ thì mặt dán sứ Veneer là phương pháp điều trị ít xâm lấn hơn và giúp bảo được bảo tồn được răng thật tối đa mà vẫn đảm bảo được tính thẩm mỹ cao.
3 Các loại mặt dán sứ veneer
Có nhiều loại mặt dán sứ veneer, tuy nhiên những loại được sử dụng phổ biến nhất là: Veneer Composite, mặt dán răng sứ Veneer, dán Veneer phía trong, răng sứ Veneer không mài và răng Veneer tháo lắp.
Để xem mình phù hợp với loại mặt dán sứ veneer nào bạn cần tìm hiểu thật kỹ và thăm khám với nha sĩ để được tư vấn cụ thể, chi tiết:
3.1 Răng Veneer Composite
Veneer Composite được làm từ chất liệu nhựa composite tổng hợp. Ưu điểm của răng Veneer Composite là có thể được hoàn thành trong một lần điều trị.

Hình ảnh trước và sau khi sử dụng phương pháp dán sứ veneer
Chất liệu làm mặt dán sứ đã được kiểm định chất lượng nghiêm ngặt, an toàn sử dụng trong nha khoa nên mọi người có thể hoàn toàn yên tâm lựa chọn.
Nhược điểm của miếng dán răng Veneer Composite là rất dễ bị ố màu và sứt mẻ
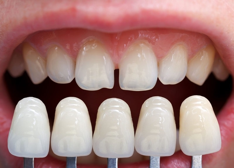
3.2 Mặt dán răng sứ Veneer
Đây là dòng miếng dán Veneer được ưa chuộng nhất hiện tại. Mặt dán sứ Veneer cấu tạo 100% từ sứ nguyên chất với màu sắc trắng tự nhiên.

Mặt dán răng sứ veneer
Miếng dán sứ được gắn khít sát với răng thật, giúp đảm bảo chức năng ăn nhai hiệu quả. Đặc biệt, răng Veneer sứ có thể duy trì trong khoảng thời gian 15 – 20 năm.
3.3 Mặt dán răng Veneer phía trong (Veneers Palatal/Lingual)
Thực tế, mặt dán răng Veneer phía trong cũng không khác gì các dòng mặt dán sứ Veneer khác. Điểm khác biệt duy nhất là Veneers Palatal được dùng cho mặt sau của răng.

Đây là một loại onlay đặc biệt được sử dụng để khắc phục tình trạng răng gãy, vỡ… nhưng vẫn giữ nguyên được phần còn lại của răng. Ưu điểm là sau khi dán sứ, bạn có thể ăn nhai thoải mái mà không gặp phải bất cứ khó chịu gì.
3.4 Răng sứ Veneer không mài
Lumineer Veneer là loại mặt dán răng có kích thước siêu mỏng, chỉ khoảng 0,2mm. Với Lumineer Veneer, bác sĩ có thể gắn trực tiếp lên răng mà không cần xâm lấn tới cấu trúc răng thật.
Chất liệu sứ Lumineer có độ trong mờ cao nên tạo được màu sắc tự nhiên không thua kém gì răng thật. Đặc biệt, với răng sứ Veneer không mài (Lumineer Veneer) bạn có thể ăn uống thoải mái và cảm nhận thức ăn một cách chân thực nhất.

3.5 Răng Veneer tháo lắp (Removable/Snap on Veneers)
Snap on Veneers là loại mặt dán răng có thể dễ dàng tháo ra lắp vào khi cần thiết mà không cần có sự hỗ trợ của các bác sĩ. Nó được thiết kế tương tự như một hàm răng thông thường. Bạn chỉ cần lắp vào răng thật là đã sở hữu ngay một hàm răng đều và đẹp.
BẠN ĐÃ TÌM ĐƯỢC LOẠI RĂNG SỨ VENEER PHÙ HỢP? ĐĂNG KÝ NHẬN TƯ VẤN NGAY HÔM NAY

4 Dán sứ veneer có tốt không?
Theo các chuyên gia nha khoa, dán sứ Veneer là phương pháp phục hình răng tốt. Việc áp dụng kỹ thuật dán răng sứ làm thay đổi hình dáng, kích thước và giúp răng đều và đẹp hơn. Bên cạnh đó, mặt dán sứ còn có độ bền cao và hạn chế xâm lấn tới răng thật.
Dưới đây là những ưu điểm chi tiết mà dán sứ veneer mang lại:
Hạn chế xâm lấn tới răng thật:
Dán sứ Veneer có kích thước siêu mỏng, do đó, tỉ lệ mài răng trước khi dán sứ giảm bớt rất nhiều so với phương pháp bọc răng sứ thẩm mỹ thông thường. Nhờ vậy, răng thật sẽ được bảo tồn tối đa và hạn chế tình trạng ê buốt răng.
Thậm chí, đối với mặt dán sứ Lumineer Veneer hoặc trường hợp răng thưa, răng mỏng… bác sĩ còn không cần mài bớt men răng mà có thể gắn trực tiếp miếng dán sứ lên răng thật.

Màu sắc tự nhiên:
Miếng dán sứ Veneer có độ trong tự nhiên và đường rìa cắn giống với răng thật tới 99%. Sau khi dán sứ, bạn hoàn toàn có thể tự tin với một hàm răng trắng sáng và đẹp như mong muốn. Đặc biệt, ngay cả khi quan sát ở khoảng cách gần, răng sứ Veneer cũng không có sự khác biệt so với răng thật.
Bên cạnh đó, ngoại trừ dòng Veneer Composite, hầu hết các loại miếng dán Veneer đều được chế tác từ sứ nguyên chất. Vì vậy, ngay cả khi đã sử dụng được khoảng thời gian dài, miếng dán sứ vẫn duy trì được vẻ đẹp như lúc ban đầu.
Thoải mái ăn uống
Mặt dán sứ có kích thước siêu mỏng nên không hề gây cộm cấn và khó chịu trong quá trình ăn nhai hoặc các sinh hoạt thường ngày. Mặc dù vậy, khả năng chịu lực của miếng dán Veneer lại không hề thua kém những loại răng sứ thông thường khác.
5 Nhược điểm khi dán sứ veneer
Thực ra, hiện nay vẫn chưa có quá nhiều người biết đến dán sứ veneer…Có một vài nhược điểm của nó như sau:
Chi phí cao
So với những dòng răng sứ thông thường, mặt dán sứ Veneer có mức giá khá cao. Điều đó là bởi những ưu điểm nổi bật về tính thẩm mỹ, bảo tồn răng thật…
Không đa dạng đối tượng sử dụng
Do có kích thước mỏng nên độ che phủ của mặt dán sứ không cao. Phương pháp dán sứ Veneer chỉ phù hợp khi răng bị hư tổn ở mức độ nhẹ. Với những trường hợp răng bị nứt quá lớn, hai răng cách xa nhau, khấp khểnh nghiêm trọng… thì bạn nên lựa chọn những giải pháp khác.

Kỹ thuật dán khó, yêu cầu bác sĩ tay nghề cao
Dán sứ Veneer là một kỹ thuật phức tạp, đòi hỏi bác sĩ phải thực sự là người vững chuyên môn và dày dặn kinh nghiệm thì mới có thể đạt được kết quả đúng như mong muốn.
Mọi thao tác trong quá trình làm răng đều phải được thực hiện tỉ mỉ và đúng kỹ thuật. Bởi chỉ cần một sai lầm nhỏ của bác sĩ cũng có thể khiến cho miếng dán bị lỏng lẻo, rơi ra ngoài sau thời gian ngắn sử dụng hoặc gây ê buốt răng kéo dài.
6 Dán sứ Veneer có bền không?
Hiện nay dán sứ Veneer là giải pháp thẩm mỹ cho răng được nhiều bệnh nhân và bác sĩ ưa chuộng vì:
Điều trị dán sứ Veneer có thể khắc phục những khuyết điểm về màu sắc, kích thước, hình dáng. Nó mang đến cho răng diện mạo mới rạng rỡ, thu hút mà vẫn giữ được sự tự nhiên, khó nhận biết bằng mắt thường.
Răng sứ Veneer có tuổi thọ từ 8-10 năm và thậm chí lâu hơn nếu được gìn giữ chăm sóc tốt và được thực hiện đúng kỹ thuật bởi Bác sĩ chuyên khoa.
7 Khi nào nên dán sứ Veneer
Thay đổi diện mạo cho răng giúp nhiều bạn có nụ cười tươi sáng, tự tin. Thông thường, các bạn thực hiện dán sứ Veneer do gặp phải một số vấn đề răng miệng như:
- Răng mọc thưa, ở giữa các răng có khe hở nhỏ gây mất thẩm mỹ
- Răng bị nứt nẻ, chân răng ngắn hoặc bị bào mòn theo thời gian
- Răng bị mọc lệch nhẹ,kích thước, hình dáng của các răng không đều nhau

- Răng bị vẩu, hô, móm, khấp khểnh,… ở mức độ nhẹ
- Răng bị ngả màu,vàng sạm do nhiễm kháng sinh tetracycline, nhiễm florua, hút thuốc lá,… và không thể khắc phục bằng cách tẩy trắng.
- Răng bị xỉn màu, ố vàng, sạm nâu mà tẩy trắng không có hiệu quả
- Răng bị chấn thương sứt mẻ mà chưa bị ảnh hưởng đến tủy răng
- Răng bị vỡ cạnh chưa quá ⅓ răng, răng cửa có hình dáng cánh bướm,…
8 Những lưu ý khi sử dụng mặt dán sứ Veneer
8.1 Về chế độ ăn uống
Để đảm bảo chất lượng và độ bền của răng sứ được lâu, bạn cần xây dựng chế độ uống lành mạnh, thông qua những lưu ý sau đây:
- Nói không với tất cả các loại ma túy, thuốc lá để đảm bảo sức khỏe toàn diện và sức khỏe răng miệng.
- Hạn chế sử dụng các loại đồ uống có ga, đồ ăn thức uống có màu hoặc chuyển qua dùng ống hút để giữ cho răng không bị nhiễm màu.

- Giữ thói quen ăn nhai đều cả hai hàm, tránh tình trạng nhai một bên, tránh việc dùng lực quá mạnh tại một vị trí răng
- Sau khi vừa dán mặt sứ Veneer nên hạn chế hoặc không ăn đồ dai cứng và không dùng răng để xé bao bì sản phẩm.
8.2 Chăm sóc răng đúng cách sau khi dán sứ Veneer
- Sử dụng các loại bàn chải có đầu lông mềm mại, chọn loại kem đánh răng có nhiều Flour, đánh răng đủ 2 ngày/ lần vào mỗi sáng và tối

- Kết hợp sử dụng chỉ nha khoa, máy tăm nước và nước súc miệng để vệ sinh răng, bảo vệ hơi thở thơm mát và nụ cười trắng sáng
8.3 Duy trì thói quen đi khám răng định kỳ
Sau khi dán sứ Veneer, bạn nên đến gặp bác sĩ định kỳ để được kiểm tra răng, khớp cắn, độ bám keo của miếng dán,…Lịch tái khám có thể dao động từ 3 – 6 tháng tùy vào bác sĩ tư vấn, đồng thời bạn nên theo dõi và đến gặp bác sĩ ngay khi có bất kỳ dấu hiệu bất thường nào xảy ra.
9 Quy trình dán mặt sứ veneer
Quá trình dán răng sứ veneer bao gồm các bước như sau:
- Bước 1: Thăm khám và tư vấn phương pháp thực hiện. Khách hàng lựa chọn loại miếng dán sứ phù hợp. Riêng với những khách hàng mắc các bệnh lý như sâu răng, viêm nướu… cần chữa trị triệt để trước khi làm răng.
- Bước 2: Khách hàng được vệ sinh răng miệng, tiêm thuốc gây tê và mài bớt men răng thật (nếu cần) để tạo độ bám cho mặt dán sứ.
- Bước 3: Bác sĩ tiến hành lấy dấu hàm bằng những thiết bị chuyên dụng. Sau đó, dữ liệu dấu hàm sẽ được chuyển tới phòng thí nghiệm để chế tác mặt dán sứ phù hợp với từng khách hàng.
- Bước 4: Sau khoảng 2 – 3 ngày, khách hàng tới nha khoa để bác sĩ gắn mặt dán sứ lên trên. Bác sĩ sẽ điều chỉnh mặt dán sứ để đảm bảo độ khít sát, không gây khó chịu trong sinh hoạt hàng ngày. Cuối cùng, bác sĩ sẽ dán cố định lại bằng keo dán chuyên dụng.
- Bước 5: Hướng dẫn cách chăm sóc răng miệng tại nhà cho khách hàng và nhắc nhở tái khám định kỳ theo lịch.
10 So sánh bọc răng sứ và dán veneer
Nhìn chung, bọc răng sứ và dán Veneer đều giúp hàm răng trở nên đều đẹp như ý. Tuy nhiên, bọc răng sứ thẩm mỹ có thể tái tạo cả những chiếc răng bị hư hỏng nặng. Còn dán sứ Veneer thường được sử dụng để khắc phục những vấn đề liên quan đến tính thẩm mỹ của hàm răng.
Bọc răng sứ còn có thể sử dụng để tái tạo những răng đã bị hư hỏng nặng như răng bị chết tủy, vỡ lớn… Trong khi đó, dán sứ Veneer thường được các bác sĩ tư vấn đối với trường hợp cần khắc phục những vấn đề thẩm mỹ của răng.
mặt dán sứ có độ che phủ không cao nên cũng không áp dụng được với những khiếm khuyết ở mức độ nghiêm trọng như nhiễm màu nặng, khoảng cách giữa hai răng lớn…
Như vậy, lựa chọn bọc răng sứ thẩm mỹ hay dán Veneer còn phụ thuộc vào tình trạng của răng.
11 Dán sứ Veneer ở nha khoa Hanseoul bao nhiêu tiền
Phương pháp thẩm mỹ hoàn hảo giữ được răng thật, hạn chế mài răng thì dán sứ Veneer đang làm mưa làm gió trong giới làm đẹp. Tại Nha khoa Hanseoul, mặt dán sứ Veneer Emax có giá là 8.000.000 VNĐ/ răng và tuổi thọ kéo dài tới 10 năm giúp bạn tự tin với hàm răng chắc khỏe, trắng sáng.
Hiệu quả của dán sứ Veneer sẽ phụ thuộc nhiều vào chuyên môn, kinh nghiệm dày dạn của Bác sĩ cũng như loại vật liệu sứ được sử dụng. Vì vậy, bên cạnh việc tham khảo chi phí, bạn cũng nên tìm hiểu và lựa chọn nha khoa có đội ngũ Bác sĩ chuyên môn cao, dày dạn kinh nghiệm để đạt kết quả như ý.
Hiện nay, 100% khách hàng đã tìm lại nụ cười tự tin và mỹ mãn tại Nha Khoa Hanseoul. Đến với Hanseoul, bạn sẽ được trải nghiệm quy trình dán sứ Veneer thoải mái, an toàn và đảm bảo hài lòng nhờ các yếu tố sau:
- Đội ngũ bác sĩ vững chuyên môn, kinh nghiệm: Nha Khoa Hanseoul với 15 năm kinh nghiệm trong lĩnh vực chăm sóc sức khỏe răng miệng. Đội ngũ Bác sĩ tốt nghiệp trường đại học Y Hà Nội với kiến thức chuyên sâu sẽ lên kế hoạch điều trị phù hợp, kỹ thuật thực hiện chính xác đem lại kết quả hài lòng như ý.

- Chất liệu sứ tốt hàng đầu và an toàn: Nha khoa Hanseoul sử dụng mặt dán sứ Veneer Emax được nhập khẩu trực tiếp từ châu Âu. Đây cũng là vật liệu CƯNG trong phục hình răng sứ, với mức độ an toàn và tuổi thọ lâu bền.
- Cơ sở vật chất hiện đại, trang thiết bị tiên tiến: Các thiết bị sử dụng trong nha khoa đều được nhập khẩu trực tiếp từ nước ngoài, phòng khám khang trang sạch sẽ, tư vấn và chăm sóc khách hàng tận tình.





