Cao răng (tên gọi khác là vôi răng) là nơi trú ngụ lý tưởng của nhiều loại vi khuẩn răng miệng gây mất thẩm mỹ. Do đó các chuyên gia nha khoa thường khuyến khích mọi người nên đi lấy cao răng định kỳ 6 tháng 1 lần để đảm bảo sức khỏe răng miệng, giữ gìn hơi thở thơm mát và nụ cười trắng sáng tự tin. Tuy nhiên nhiều người bệnh vẫn còn lo ngại về việc lấy cao răng có đau không, có ảnh hưởng nguy hiểm gì đến sức khỏe hay không. Nếu như đó là vấn đề mà bạn đang quan tâm thì hãy cùng chúng tôi – nha khoa Hanseoul tìm hiểu và giải đáp qua bài viết sau đây nhé!
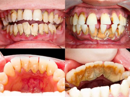
1 Một số tác hại của cao răng đối với sức khỏe răng miệng
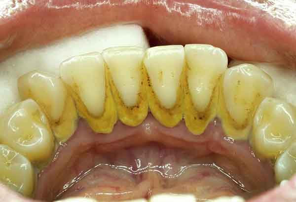
Đầu tiên về khái niệm, cao răng là những mảng bám thức ăn, mảnh vụn thức ăn lâu ngày còn sót lại ở trong miệng cùng với phosphate và canxi carbonat cứng đầu bám vào bề mặt răng hoặc bên dưới bờ lợi.
Màu sắc của cao răng thường là màu trắng đục hoặc màu ngả vàng nâu gây mất thẩm mỹ cùng với nhiều tác hại khác ảnh hưởng cho sức khỏe của răng miệng:
- Hơi thở có mùi, hôi miệng
- Mảng bám tích tụ nhiều ngày dẫn đến tình trạng men răng bị phá hủy men răng, men răng bị tổn thương thì nguy cơ bị sâu răng sẽ ngày càng cao.

- Là nơi cư trú của nhiều loại vi khuẩn răng miệng. Khi vi khuẩn lên men carbohydrate tạo ra một số loại axit gây sâu răng có thể kể đến như: Streptococcus Mutans, Lactobacilli…
- Cao răng có thể dẫn đến một số tác nhân gây ra một số các bệnh lý răng miệng và vùng họng như là: Viêm họng, viêm amidan, viêm niêm mạc miệng….
- Gây ra tình trạng chảy máu chân răng và ê buốt răng khi ăn thức ăn quá nóng hoặc bị quá lạnh
- Gây ra tình trạng tụt nướu, làm lộ chân răng.
- Dẫn đến một số bệnh lý răng miệng đáng kể như: viêm nha chu, viêm tủy ngược dòng, tiêu xương hàm răng…nghiêm trọng thì răng của bạn có thể dẫn đến nguy cơ chân răng bị lung lay, thậm chí rụng răng, mất răng.
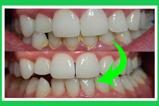
2 Vì sao nên lấy cao răng định kỳ?
Như nội dung đã được đề cập ở trên, chúng ta có thể nhận thấy cao răng nếu để tích tụ lâu ngày sẽ có thể dẫn đến rất nhiều tác hại nguy hiểm cho sức khỏe răng miệng của bạn. Một trong những tác hại nguy hiểm nhất chính là độc tố của vi khuẩn ở trong mảng bám cao răng có thể dẫn đến tình trạng viêm nhiễm răng. Những phản ứng gây viêm nhiễm sẽ làm tiêu xương hàm răng làm cho khu vực lợi bị mất đi chỗ nương tựa. Lúc này chân răng sẽ ngày càng dài ra và để lộ ra vùng xương răng khiến cho người bệnh cảm thấy ê buốt và khó chịu.

Do những ảnh hưởng kể trên mà cao răng cần phải được loại bỏ tùy theo từng tình trạng men răng của từng người để lấy cao răng định kỳ 6 tháng 1 lần. Tốt hơn hết thì việc lấy cao răng định kỳ nên thực hiện đều đặn, không nên để cao răng làm tổn thương hoặc để lại hậu quả tồi tệ cho chiếc răng của bạn
3 Lấy cao răng đau không?
Với thắc mắc lấy cao răng có đau đớn gì không thì ngày nay bạn có thể lựa chọn giữa hai phương pháp và lấy cao răng bằng công cụ nha khoa cầm tay hoặc bằng máy siêu âm thì sẽ ít gây đau đớn, ít chảy máu hơn và loại bỏ được tối đa những mảng bám thức ăn tích tụ. Sau khi cạo vôi răng, thì bạn có thể cảm giác ê buốt, tình trạng đau nhiều hay ít sẽ tùy thuộc vào tình trạng cơ địa của mỗi người. Ngoài ra, một số yếu tố sau đây cũng sẽ quyết định đến việc lấy cao răng có đau hay không:
3.1 Tình trạng cao răng:
Mức độ cao răng nhiều hay ít ở mỗi người là yếu tố quan trọng quyết định đến độ phức tạp của ca thực hiện và tình trạng có bị đau hay không. Nếu cao răng nằm ở vị trí thân răng nên có thể dễ dàng nhìn thấy bằng mắt thường. Ngoài ra, thời gian lấy cao răng ở mỗi trường hợp cũng sẽ khác nhau, thời gian sẽ kéo dài từ 10 phút đến 20 phút. Tuy nhiên bạn cũng không cần phải quá lo lắng bởi thông thường việc thực hiện lấy cao răng không gây chảy máu hay khiến răng ê buốt.

Tuy nhiên ở những trường hợp cao răng bị lắng đọng và bám chặt ở đường viền nướu thì có thể gây viêm sưng cho răng. Đồng thời khi lấy vôi răng cũng sẽ bị ê buốt, tuy nhiên cảm giác này cũng sẽ ảnh hưởng đến việc ăn nhai của răng.
3.2 Kỹ thuật của bác sĩ nha khoa thực hiện
Với những bác sĩ giàu kinh nghiệm hay có trình độ chuyên môn cao, quá trình lấy cao răng cũng sẽ diễn ra nhẹ nhàng đồng thời tác động đến má trong và lưỡi thì bạn hoàn toàn không phải chịu bất cứ cảm giác đau nhức nào. thông thường việc lấy cao răng sẽ diễn ra rất đơn giản và không làm ảnh hưởng tới các mô mềm, đồng thời không gây đau nhức hay tổn thương cho men răng. Tuy nhiên trong quá trình thực hiện vẫn đòi hỏi bác sĩ phải thực hiện nhẹ nhàng, tỉ mỉ, cẩn thận trong từng thao tác.
4 Một số lưu ý quan trọng sau khi lấy cao răng dành cho bạn
Sau khi thực hiện lấy cao răng – lúc này mô và nướu sẽ trở nên đặc biệt nhạy cảm. Vì thế nếu như răng miệng không được chăm sóc đúng cách thì răng miệng sẽ dễ bị vi khuẩn xâm nhập, đồng thời làm mảng bám tích tụ.
Một số lưu ý quan trọng dành cho bạn trong chế độ chăm sóc sức khỏe răng miệng hàng ngày bao gồm:
- Không ăn những thực phẩm quá nóng hoặc lạnh vì sẽ ảnh hưởng tổn thương đến men răng dẫn đến răng ê buốt khi ăn uống.
- Không hút thuốc và sử dụng rượu bia hoặc những thực phẩm có chứa phẩm màu, chứa nhiều axit gây kích thích như cà phê, trà, nước ngọt đóng chai, socola…sau khi lấy cao răng xong vì có thể làm răng bị xỉn màu nhanh chóng.

- Xây dựng chế độ dinh dưỡng ăn uống phù hợp, bổ sung nhiều vitamin từ trái cây, rau củ sạch. Đồng thời nên lưu ý chỉ sử dụng các loại thực phẩm mềm vừa phải hạn chế đồ quá dai và dẻo vì có thể bám vào răng và hình thành cao răng.
- Nên sử dụng nước muối sinh lý để súc miệng và dùng chỉ nha khoa sau mỗi bữa ăn để loại bỏ sạch sẽ các mảng bám thức ăn còn sót lại.
- Đi thăm khám và loại bỏ cao răng định kỳ mỗi năm hai lần theo chỉ định của nha sĩ.
Hi vọng rằng những thông tin chưa đây đã cung cấp cho bạn những thông tin để giải đáp thắc mắc lấy cao răng có đau không. Nhìn chung, mức an toàn của kỹ thuật lấy cao răng thì bạn nên chọn các phòng khám nha khoa uy tín và đáng tin cậy.
Nha khoa Hanseoul là một trong những địa chỉ nha khoa chăm sóc răng miệng chuyên sâu được nhiều khách hàng tin tưởng hàng đầu. Nơi đây không chỉ quy tụ đội ngũ bác sĩ giỏi chuyên môn, giỏi kinh nghiệm; Đi cùng với đó, nha khoa quốc tế Hanseoul còn nỗ lực đầu tư và nâng cấp hệ thống máy móc thiết bị hiện đại, tân tiến để đảm bảo mang lại cho khách hàng trải nghiệm dịch vụ thăm khám, chăm sóc răng miệng tốt nhất.





