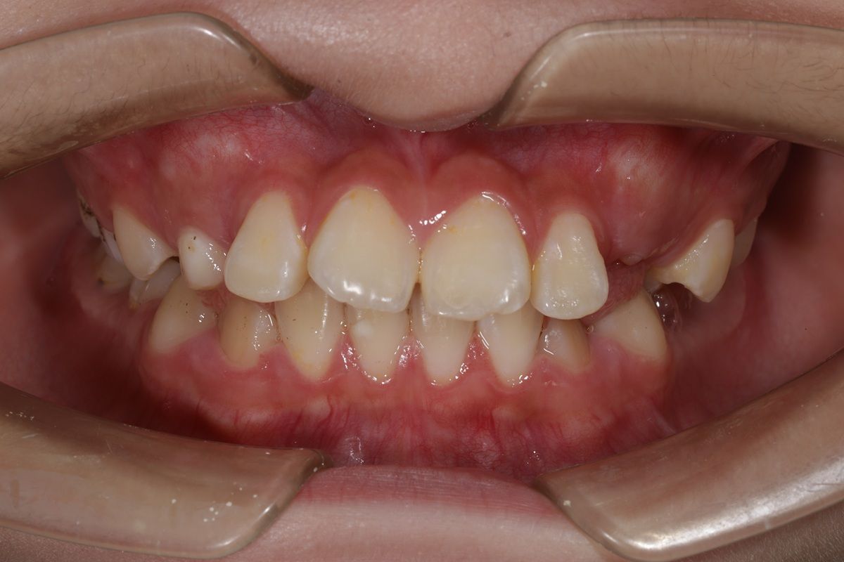
1 Tình trạng răng trước khi niềng
Sau khi thăm khám tại Nha khoa Hanseoul, bác sĩ ghi nhận các vấn đề chính của Võ Đức Kiên:
-
Răng cửa trên khấp khểnh, chìa ra ngoài.
-
Răng mọc lệch, chen chúc, thiếu khoảng sắp xếp.
-
Khớp cắn sai lệch, ảnh hưởng đến thẩm mỹ và chức năng ăn nhai.

2 Lập kế hoạch điều trị cá nhân hóa với công nghệ BIOSMART
Anh Kiên được điều trị bằng công nghệ niềng răng BIOSMART – thế hệ chỉnh nha hiện đại, giúp tối ưu kết quả và rút ngắn thời gian niềng đáng kể. Công nghệ này kết hợp:
-
3Shape, WebCeph, Biotech: lập kế hoạch 3D chi tiết, dự đoán hướng di chuyển của từng răng.
-
Kiểm soát lực kéo sinh học an toàn: nhẹ nhàng nhưng hiệu quả gấp 4 lần.
-
Giảm đau, hạn chế sai lệch trong quá trình niềng.
-
Rút ngắn thời gian điều trị trung bình 6 tháng so với phương pháp truyền thống.
Phác đồ điều trị được xây dựng dựa trên hình ảnh 3D, phim X-quang và phân tích khớp cắn chuyên sâu, đảm bảo răng di chuyển đúng hướng – đúng lực – đúng thời điểm.
3 Quá trình theo dõi sát sao – Hiệu quả từng giai đoạn
Trong suốt 3 năm niềng răng, anh Kiên luôn được đội ngũ bác sĩ Hanseoul:
-
Theo dõi và tái khám định kỳ đúng lịch.
-
Điều chỉnh lực kéo phù hợp từng giai đoạn di chuyển răng.
-
Kiểm soát khớp cắn và độ cân đối khuôn mặt.
-
Hướng dẫn chăm sóc, vệ sinh răng miệng chuyên biệt.

Nhờ tay nghề bác sĩ chuyên sâu và ứng dụng công nghệ niềng răng BIOSMART, các răng di chuyển đúng kế hoạch, không gặp tình trạng nghiêng, xoay sai hay tụt nướu.
4 Kết quả sau niềng – Màn “lột xác” ấn tượng
-
Răng đều đẹp, thẳng hàng, chuẩn khớp cắn.
-
Khuôn mặt hài hòa, góc nghiêng cân đối hơn.
-
Nụ cười tự tin, bừng sáng, giúp giao tiếp và sinh hoạt hàng ngày thoải mái.
Từ một cậu bé từng ngại nở nụ cười, Võ Đức Kiên giờ đây tự tin hơn trong mọi khoảnh khắc.






