Răng khôn là răng mọc cuối cùng của cung hàm và không có công dụng gì trong việc ăn nhai, thậm chí còn khiến bạn gặp phải nhiều vấn đề về sức khỏe răng miệng. Nhổ răng khôn sẽ giúp bạn giải quyết các cơn đau nhức, khó chịu và hạn chế biến chứng có thể xảy ra. Vậy nên nhổ răng khôn ở đâu uy tín tại quận Hà Đông và cần lưu ý gì?
Răng khôn là gì?
Răng khôn còn được biết đến với tên gọi răng cối thứ 3 hoặc răng số 8, có cấu tạo giống hệt như một chiếc răng bình thường. Tuy nhiên, răng khôn sẽ có số chân khác nhau giữa 2 hàm và không cố định. Thông thường, răng khôn hàm trên có 3 chân và răng khôn hàm dưới có 2 chân. Các động mạch và nhóm dây thần kinh có thể nằm ngay dưới chân của răng khôn nên rất nguy hiểm. Răng khôn là răng mọc muộn nhất so với những chiếc răng bình thường khác, nằm ở bên trong cùng của cung hàm và nằm sát bên răng số 7.

Sở dĩ răng số 8 hay được gọi là răng khôn vì thường mọc trong độ tuổi từ 18 – 25, thậm chí muộn hơn là ngoài 30 tuổi. Quá trình mọc răng khôn cũng thường diễn ra rất lâu và gây ra nhiều đau đớn, khó chịu trong ăn uống, sinh hoạt. Trường hợp răng khôn mọc thẳng, không bị sâu, không gây đau nhức và không gây hại cho những răng bên cạnh thì không cần thiết phải nhổ bỏ. Ngược lại, trường hợp răng khôn mọc lệch, mọc ngầm, mọc chèn sang răng bên cạnh,… cần phải tiến hành nhổ bỏ ngay lập tức để tránh những biến chứng xấu có thể xảy ra sau khi nhổ răng khôn.
1 Biến chứng khi mọc răng khôn
- Viêm lợi trùm, viêm mô tế bào: răng mọc lệch sẽ khiến thức ăn bị kẹt lại và khó vệ sinh sạch sẽ, theo thời gian sẽ gây đau quanh thân răng, cứng hàm, viêm lợi trùm và tạo túi mủ (áp xe). Tình trạng viêm nhiễm kéo dài sẽ làm phá hủy xương xung quanh răng khôn và cả các răng bên cạnh, nghiêm trọng hơn có thể gây viêm xương hàm và nhiễm trùng huyết,…
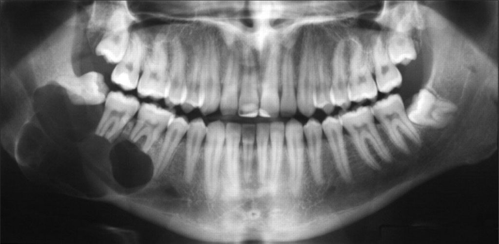
- Nang thân răng: răng khôn mọc ngầm có thể tạo nang thân răng tiến triển âm thầm trong xương hàm. Nếu không được điều trị kịp thời sẽ gặp tình trạng tiêu xương hàm và gia tăng nguy cơ gãy xương hàm.

Hình ảnh bệnh nhân bị nang thân răng
- Viêm nha chu: răng khôn mọc ngầm hoặc mọc lệch sẽ khiến việc vệ sinh răng miệng gặp khó khăn, tạo điều kiện thuận lợi để vi khuẩn phát triển và làm giảm lượng xương phía xa từ đó gây ra viêm nha chu.
- Ảnh hưởng xấu đến các răng bên cạnh: răng khôn mọc lệch tựa vào răng kế bên khiến thức ăn thừa rất khó được làm sạch, theo thời gian sẽ gây sâu răng cho cả răng khôn và các răng bên cạnh.
- Khít hàm: răng khôn mọc lệch, mọc ngầm, mọc chen chúc,… sẽ khiến bạn khó há miệng, khó ăn nhai, cử động hàm đau nhức và thường bị sưng tại vùng góc hàm.
2 Các phương pháp nhổ răng khôn
- Nhổ răng bằng kìm: là phương pháp nhổ răng truyền thống, sử dụng kìm để tác động và làm gãy chân răng, đưa răng khôn ra ngoài. Trước khi thực hiện, bác sĩ sẽ tiêm thuốc tê cục bộ để bệnh nhân không cảm thấy đau đớn hay khó chịu. Phương pháp này hiện nay không được sử dụng nhiều do còn nhiều hạn chế và dễ làm tổn thương nướu, ổ xương. Ngoài ra, nếu nhổ răng bằng kìm không được thực hiện bởi bác sĩ có chuyên môn cao có thể dẫn đến tình trạng bị nhiễm trùng, sang chấn và các biến chứng nguy hiểm khác.

Hình ảnh bác sĩ nha khoa Hanseoul nhổ bằng kìm
- Nhổ răng bằng cây bẩy: đây là một phương pháp nhổ răng truyền thống, sử dụng cây bẩy để làm đứt dây chằng quanh răng, mở rộng ổ răng và huyệt ở răng để lấy răng khôn ra ngoài. Vì phương pháp này phải xâm lấn ổ răng nên có thể sẽ gây tổn thương nướu, gia tăng nguy cơ nhiễm trùng và biến chứng cao.
- Nhổ răng bằng máy Piezotome: là phương pháp nhổ răng công nghệ mới được thiết kế với chức năng tích hợp và thường được sử dụng trong phẫu thuật xương chuyên sâu. Phương pháp này sở hữu nhiều ưu điểm vượt trội so với các phương pháp nhổ răng truyền thống như:
- Nhổ răng bằng sóng siêu âm, làm đứt dây chằng một cách nhẹ nhàng mà không cần xâm lấn hay làm tổn thương nướu.
- Chỉ tác động vào đúng vị trí cần phẫu thuật giúp bảo toàn tối đa nướu và xương ổ xương.
- Hạn chế đau nhức và chảy máu trong quá trình nhổ răng.
- Đảm bảo an toàn và hạn chế tối đa nguy cơ biến chứng sau khi nhổ răng.
- Hạn chế tác động vào các dây thần kinh quanh răng nên sẽ giảm thiểu tình trạng sưng nề, tê bì môi.
- Thời gian thực hiện nhanh chóng chỉ sau 10 – 15 phút thực hiện.
3 Lưu ý sau khi nhổ răng khôn
Sau khi nhổ răng khôn, các bạn cần ghi nhớ những lưu ý sau đây:
- Hạn chế nói chuyện và cử động cơ hàm ngay sau khi nhổ răng khôn để hạn chế tình trạng chảy máu.
- Không chạm vào vết thương dưới mọi hình thức, hạn chế hắt hơi, xì mũi, ho mạnh vì điều này sẽ làm vết thương chảy máu và gây kích ứng dữ dội.
- Chườm má bằng đá lạnh để cầm máu và giảm sưng trong 10 – 20 phút mỗi bên. Nếu tình trạng sưng đau không thuyên giảm bạn có thể sử dụng thuốc kháng sinh do bác sĩ chỉ định để khắc phục.
- Súc miệng thường xuyên bằng nước muối sau khi ăn và trước khi đi ngủ. Sau khi nhổ răng 24 tiếng, bạn có thể đánh răng nhưng hãy tránh chải răng vào vùng vừa nhổ.
- Trong khoảng 2 ngày sau khi nhổ răng, nên có chế độ nghỉ ngơi phù hợp, kê cao gối khi ngủ và tránh vận động mạnh.
- Xây dựng chế độ ăn uống lành mạnh, không nên ăn các loại đồ ăn quá nóng, quá cứng hoặc quá lạnh, nên ăn các loại thực phẩm mềm, dễ nhai, dễ nuốt.
- Đến gặp bác sĩ nếu có bất kỳ hiện tượng bất thường nào xảy ra để được kiểm tra và xử lý kịp thời.
4 Nhổ răng khôn ở đâu uy tín tại quận Hà Đông? Nha khoa Hanseoul
Hiện nay, trên thị trường có rất nhiều cơ sở nha khoa cung cấp dịch vụ nhổ răng khôn, điều này vô tình gây khó khăn cho khách hàng trong việc tìm kiếm một địa chỉ nha khoa uy tín, chất lượng. Nếu bạn vẫn còn băn khoăn về vấn đề này, hãy đến ngay Nha khoa Hanseoul để được hỗ trợ tư vấn.
Sở hữu hơn 15 năm kinh nghiệm trong lĩnh vực nha khoa, Hanseoul quy tụ nhiều y bác sĩ nổi tiếng, có tay nghề và chuyên môn cao, có khả năng thực hiện những ca nhổ răng khôn khó và phức tạp nhất. Bên cạnh đó, sự tận tâm, trách nhiệm trong việc thăm khám và điều trị luôn được khách hàng đánh giá cao và tin tưởng.

Hình ảnh bác sĩ điều trị răng cho bệnh nhân
Với mục đích giảm tải gánh nặng kinh tế cho khách hàng, Nha khoa Hanseoul luôn có những chính sách ưu đãi hấp dẫn dành tặng khách hàng cho mỗi dịch vụ. Trước khi thực hiện bất cứ dịch vụ nào, nha khoa đều sẽ báo giá đầy đủ và chi tiết nhất đến khách hàng, cam kết không phát sinh thêm bất cứ phụ phí nào cả trong và sau quá trình điều trị, chỉ thực hiện khi có sự đồng ý của khách hàng.
Nhờ những ưu điểm vượt trội so với các nha khoa khác, đến nay, Hanseoul đã trở thành địa chỉ nha khoa đáng tin cậy không chỉ tại quận Hà Đông mà còn trên toàn bộ thủ đô Hà Nội. Chắc chắn trong thời gian tới, nha khoa sẽ tiếp tục mở rộng, phát triển và nâng cao trình độ để có thể phục vụ tất cả khách hàng trên khắp mọi miền đất nước.
Trên đây là những thông tin giải đáp về dịch vụ nhổ răng khôn và giúp bạn trả lời câu hỏi nhổ răng khôn ở đâu uy tín tại quận Hà Đông. Quý khách cần tư vấn thêm về dịch vụ nhổ răng khôn tại Nha khoa Hanseoul vui lòng liên hệ theo số điện thoại 0939 090 581.





