- 1 Nhu cầu bọc răng sứ giá rẻ hiện nay
- 2 Hậu quả bọc răng sứ giá rẻ gây ra
- 2.1 Rất dễ bị viêm tủy răng
- 2.2 Răng thật có thể bị nứt vỡ
- 2.3 Tình trạng hở cổ chân răng
- 2.4 Tình trạng ê buốt răng kéo dài
- 2.5 Răng sứ bị lung lay trong thời gian ngắn
- 2.6 Nguy cơ hỏng răng gốc
- 3 Nguyên nhân dẫn đến hậu quả bọc răng sứ giá rẻ
- 3.1 Kinh nghiệm ít, chuyên môn, tay nghề của bác sĩ thực hiện kém
- 3.2 Bạn đã lựa chọn loại răng sứ giá rẻ, không đảm bảo chất lượng
- 3.3 Cơ sở vật chất, trang thiết bị cũ kỹ, không được chú trọng
- 4 Địa chỉ bọc răng sứ uy tín, hiệu quả tốt nhất hiện nay?
Bọc răng sứ hiện đang là một trong những xu hướng làm đẹp được rất nhiều khách hàng lựa chọn. Tuy nhiên, không phải trường hợp nào sử dụng cũng đều đem lại kết quả như mong muốn. Nếu chọn nha khoa không uy tín và sử dụng những loại sứ kém chất lượng, sẽ dẫn đến những hậu quả bọc răng sứ giá rẻ mà bạn không ngờ tới.
1 Nhu cầu bọc răng sứ giá rẻ hiện nay
Không phải ai cũng đều sở hữu một hàm răng đều đẹp vì vậy, bọc răng sứ luôn là giải pháp hữu ích nhất dành cho tất cả mọi người muốn cải thiện nụ cười của mình, bởi những lợi ích mà phương pháp này mang lại:
- Khắc phục các khuyết điểm trên răng: Sứt mẻ, hô, móm nhẹ; Răng nhiễm màu, nhiễm kháng sinh,…
- Ngăn ngừa các bệnh lý về răng miệng có nguy cơ tiến triển nặng

Diễn viên Hàn trước và sau khi bọc răng sứ
- Mang lại thẩm mỹ cao, giúp bạn có nụ cười tỏa nắng
- Cải thiện chức năng ăn nhai, đảm bảo khả năng phát âm chuẩn hơn
- Có tuổi thọ cao, bền
Với những ưu điểm vượt trội trên, nhiều phòng khám, nha khoa ngày càng xuất hiện nhiều để đáp ứng nhu cầu khách hàng. Thậm chí, quảng cáo…..
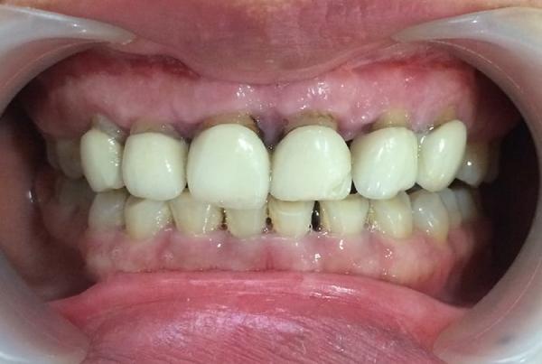
2 Hậu quả bọc răng sứ giá rẻ gây ra
2.1 Rất dễ bị viêm tủy răng
Viêm tủy răng là một trong những biến chứng sau khi khách hàng sử dụng dịch vụ bọc răng sứ giá rẻ. Việc này có thể xảy ra nếu bác sĩ thực hiện thiếu kinh nghiệm và tay nghề còn non kém, dễ dẫn đến mài cùi răng sai tỷ lệ hoặc mài quá nhiều gây tổn thương cấu trúc của răng thật. Từ đó tạo điều kiện cho vi khuẩn xâm nhập, phát triển trong tủy và gây ra viêm tủy.
2.2 Răng thật có thể bị nứt vỡ
Thực tế, nhiều nha khoa vì lợi nhuận, đã bất chấp sử dụng những dòng sứ rẻ, không rõ xuất xứ, nguồn gốc dẫn đến không đảm bảo chất lượng. Nếu bạn ham rẻ và lựa chọn loại này thì chỉ sau một thời sử dụng răng sứ giá rẻ sẽ xuất hiện tình trạng nứt vỡ.
2.3 Tình trạng hở cổ chân răng
Công đoạn chế tác răng sứ không chỉ cần đáp ứng độ an toàn mà còn phải đảm bảo độ vừa khít với kích cỡ răng của từng người. Ngoài ra, thao tác gắn răng sứ cần phải tỉ mỉ, chuẩn xác và khéo léo, đảm bảo mão răng sát khít với phần cùi răng. Nếu trong quá trình thực hiện có bất cứ sai sót nào cũng dễ dẫn đến tình trạng bị hở cổ chân răng.

2.4 Tình trạng ê buốt răng kéo dài
Tình trạng ê buốt răng là hiện tượng thường gặp sau khi bệnh nhân được bọc răng sứ và thường sẽ kéo dài trong khoảng 24h đầu tiên. Tuy nhiên, không ít người phải chịu tình trạng này trong suốt thời gian dài bởi sử dụng dịch vụ răng sứ giá rẻ.
2.5 Răng sứ bị lung lay trong thời gian ngắn
Trong quá trình thực hiện, bác sĩ chỉ cần chủ quan và không cẩn trọng trong các khâu như: mài răng không đúng tỉ lệ, lấy dấu răng không chuẩn xác… cũng đều dẫn đến tình trạng gắn mão răng sứ không sát khít với phần cùi răng thật. Do đó, chỉ sau một thời gian sử dụng răng sứ gắn vào sẽ bị lỏng lẻo và tự động rơi, rụng ra.
2.6 Nguy cơ hỏng răng gốc
Sử dụng chất liệu sứ kém chất lượng không chỉ dễ bị rơi rụng mà còn có thể dẫn đến biến chứng gây viêm nhiễm và làm hư hại chiếc răng thật. Thậm chí, nguy hiểm hơn là lung lay và làm mất răng thật vĩnh viễn. Đây là một trong những hậu quả bọc răng sứ giá rẻ nghiêm trọng mà bạn cần lưu ý khi lựa chọn nha khoa uy tín để thực hiện.

Hậu quả bọc răng khôn giá rẻ
3 Nguyên nhân dẫn đến hậu quả bọc răng sứ giá rẻ
3.1 Kinh nghiệm ít, chuyên môn, tay nghề của bác sĩ thực hiện kém
Chuyên môn, tay nghề của bác sĩ thực hiện bọc răng sứ là yếu tố quan trọng nhất. Bởi bọc răng sứ là kỹ thuật nha khoa khá phức tạp, không phải bác sĩ nào cũng có thể thực hiện được. Nếu bác sĩ không có chứng chỉ hành nghề cung như không được đào tạo bài bản, kinh nghiệm yếu kém sẽ khó tránh khỏi việc làm tổn thương đến phần tủy răng, làm ảnh hưởng đến tuổi thọ của răng sứ bị giảm sút.
Hơn hết, nếu thực hiện không đúng quy trình chuẩn Y khoa thì răng thật của bạn cũng có thể bị mất vĩnh viễn.

3.2 Bạn đã lựa chọn loại răng sứ giá rẻ, không đảm bảo chất lượng
Việc lựa chọn chất liệu răng sứ để bọc cho răng cũng là một trong những vấn đề quan trọng. Bởi nó không chỉ ảnh hưởng đến tính thẩm mỹ mà còn liên quan đến vấn đề răng miệng của mỗi người.
Được biết, trên thị trường hiện nay có rất nhiều loại răng sứ với chất liệu khác nhau. Bên cạnh răng sứ chất lượng tốt cũng có nhiều loại răng sứ không rõ nguồn gốc, giá rẻ đang được thực hiện ở các nha khoa kém chất lượng. Tuy nhiên, vì ham rẻ nên những loại này thường được nhiều khách hàng lựa chọn mà không cần biết đến hậu quả của nó gây ra.
3.3 Cơ sở vật chất, trang thiết bị cũ kỹ, không được chú trọng
Tại phòng khám, nha khoa chất lượng, công nghệ, các trang thiết bị hiện đại được đầu tư, chú trọng. Tất cả luôn được bảo quản trong điều kiện vô trùng, bởi đây sẽ là một “trợ thủ” đắc lực cho bác sĩ giúp ca điều trị thành công.
Tuy nhiên, để đảm bảo yếu tố này, nha khoa phải bỏ ra số tiền khá lớn, đây không phải cơ sở nào cũng thực hiện được. Do đó, nhiều bên đã sử dụng các trang thiết bị, dụng cụ nha khoa cũ kỹ, không được vệ sinh, vô trùng khiến không ít khách hàng gặp phải tình trạng lây nhiễm chéo ở các bệnh nhân.
4 Địa chỉ bọc răng sứ uy tín, hiệu quả tốt nhất hiện nay?
Hiện nay, bọc răng sứ là phương pháp được rất được nhiều khách hàng yêu thích, lựa chọn. Với những lợi ích mang lại cũng như yêu cầu về quá trình thực hiện khó, phức tạp nên chi phí bọc răng sứ được đánh giá là không hề rẻ. Chính vì vậy, nếu như tìm được địa chỉ nha khoa quảng cáo dịch vụ bọc răng sứ giá rẻ thì rất có thể đây là một nha khoa “rởm”, bạn cần tìm hiểu thật kỹ.
Nếu muốn chọn được một phòng khám nha khoa uy tín hãy đến ngay Nha khoa HanSeoul ngay nhé – Đây được đánh giá là cơ sở uy tín, chất lượng mang lại hiệu quả cao nhất được nhiều khách hàng đánh giá cao và tin tưởng lựa chọn.
Với bề dày hơn 15 năm hoạt động và phát triển – Nha khoa HanSeoul là cơ sở chuyên thăm khám và điều trị các bệnh lý về răng miệng cũng như cải thiện thẩm mỹ nha khoa cho hàng ngàn khách hàng trên toàn quốc. Tại đây, hội tụ đội ngũ bác sĩ có tay nghề giỏi, chuyên môn cao, giàu kinh nghiệm trong lĩnh vực bọc răng sứ cũng như các dịch vụ nha khoa khác như: nha khoa tổng quát , trồng răng (cấy ghép) Implant, niềng răng, tẩy trắng răng,…

Nha khoa Hanseoul cơ sở vật chất hiện đại
Chính vì thế mà Nha khoa HanSeoul được đánh giá là địa chỉ bọc răng sứ uy tín, đảm bảo chất lượng và được nhiều khách hàng quan tâm lựa chọn hàng đầu. HanSeoul không ngừng nâng cao tay nghề của bác sĩ cũng như công nghệ, máy móc tân tiến nhằm cải thiện chất lượng dịch vụ.
Nha khoa HanSeoul sử dụng các loại Lava 3M hiện đại nhất hiện nay ngày tại trung tâm cùng đội ngũ chuyên viên lành nghề. Đảm bảo quá trình chế tác răng sứ diễn ra thuận lợi, hiệu quả giúp tăng tính thẩm mỹ tự nhiên về màu sắc cũng như kích thước răng sứ đúng như mong muốn khách hàng đưa ra, qua đó giúp rút ngắn thời gian phục hình răng.
Từ những hậu quả bọc răng sứ giá rẻ gây ra, tại Nha khoa HanSeoul cam kết sử dụng vật liệu sứ chính hãng 100% và đội ngũ y, bác sĩ có chứng chỉ hành nghề hợp pháp, thực hiện bọc răng sứ thành công cho hàng nghìn khách hàng. Mọi thắc mắc về thông tin bọc răng sứ hoặc các dịch vụ nha khoa khác, các bạn có thể liên hệ đến Nha khoa HanSeoul ngay bây giờ.





