Lấy cao răng định kỳ không những không gây hại và không ảnh hưởng đến sức khỏe răng miệng mà còn tránh được các bệnh lý nguy hiểm. Tuy nhiên, nếu lấy cao răng không được thực hiện đúng cách có thể dẫn đến nhiều hệ quả đáng tiếc. Bài viết này hãy cùng nha khoa Hanseoul tìm hiểu rõ hơn về tác hại của việc lấy cao răng sai kỹ thuật.
1 Cao răng là gì?
Cao răng hay còn được gọi là vôi răng, là những mảng bám cứng dính sát vào bề mặt răng hoặc dưới nướu. Cao răng hình thành do các vi khuẩn tác động lên thức ăn thừa còn sót lại, thời gian lâu dần sẽ tích tụ và cứng dần, bám chặt ở đường nướu hoặc dưới đường nướu và có thể gây kích ứng mô nướu. Dấu hiệu dễ nhận thấy của cao răng là các lớp màng cứng màu vàng hoặc nâu trên răng, nướu gây mất thẩm mỹ cho cả hàm răng. Nếu không thực hiện lấy cao răng định kỳ sẽ tạo điều kiện thuận lợi cho vi khuẩn phát triển và gây các bệnh lý nghiêm trọng hơn như sâu răng hoặc các bệnh về nướu.
Cao răng không thể được làm sạch bằng cách sử dụng bàn chải đánh răng thông thường hoặc bằng bất cứ dụng cụ nào khác mà phải đến các cơ sở nha khoa để bác sĩ lấy sạch chúng bằng máy móc chuyên dụng và kỹ thuật riêng. Sau khi lấy cao răng, bác sĩ thường kết hợp thêm đánh bóng răng để giữ cho răng thêm trắng sáng và hạn chế hình thành cao răng.
2 Lợi ích của việc lấy cao răng định kỳ
Lấy cao răng được biết đến là phương pháp giúp làm sạch các mảng bám cứng ra khỏi bề mặt răng và nướu, đem đến nhiều lợi ích cho răng miệng:
- Làm sạch các mảng bám trên răng, cải thiện tính thẩm mỹ và giúp hơi thở thơm mát hơn.
- Giảm thiểu nguy cơ bị sâu răng và hỏng men răng do cao răng và vi khuẩn gây nên.
- Loại bỏ các vi khuẩn có trong cao răng, ngăn ngừa nguy cơ gây viêm lợi, viêm nha chu, tụt lợi.
- Ngăn ngừa các bệnh ở niêm mạch miệng và các bệnh ở vùng mũi họng.
Lấy cao răng định kì giúp răng trắng sáng hơn
Tuy nhiên, lấy cao răng chỉ nên thực hiện định kỳ 3 – 6 tháng/lần, nếu lạm dụng thực hiện quá nhiều lần sẽ gây tổn thương răng. Tùy theo mức độ hình thành cao răng nhiều hay ít mà bác sĩ sẽ chỉ định thời gian lấy cao răng, cụ thể:
- Người có men răng khỏe, láng bóng và sức khỏe răng miệng tốt, không mắc các bệnh lý răng miệng, cao răng ít nên lấy cao răng khoảng 6 tháng/lần.
- Người có men răng sần sùi, dễ tích tụ mảng bám và thường xuyên sử dụng trà, cà phê và hút thuốc lá nên lấy cao răng 3 – 4 tháng/lần.
3 Tác hại của việc lấy cao răng sai kỹ thuật
Mặc dù chỉ là một kỹ thuật cơ bản nhưng nếu bác sĩ thực hiện chưa có đủ kinh nghiệm cần thiết hoặc thực hiện sai kỹ thuật vẫn có thể gây nên những tác hại như:
- Tổn thương mô mềm: do cao răng không chỉ xuất hiện ở bề mặt của răng mà còn nằm ở khu vực sát đường viền nướu. Vì vậy, nếu di chuyển máy cạo vôi răng không cẩn thận sẽ khiến nướu dễ bị tổn thương và gây đau nhức, chảy máu. Mặc dù tình trạng này không quá nghiêm trọng và sẽ tự lành thương chỉ sau vài ngày nhưng cũng sẽ khiến khách hàng ít nhiều cảm thấy e ngại và lo lắng khi đi lấy cao răng.
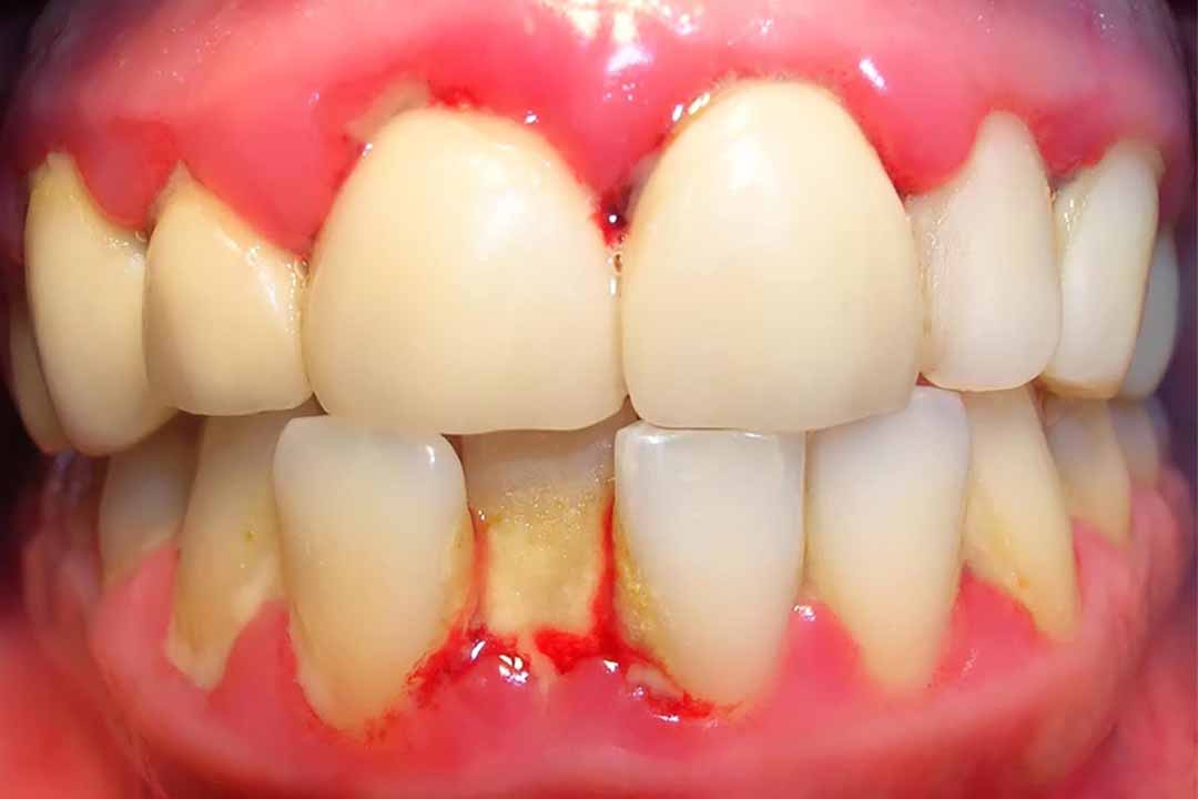
- Nhiễm trùng mô nướu: nếu trong quá trình lấy cao răng không được đảm bảo vệ sinh, tình trạng nhiễm trùng rất dễ xảy ra, nguy hiểm hơn là bị lây nhiễm chéo từ các khách hàng trước. Vì vậy, mỗi khách hàng khi đến lấy cao răng đều phải được trang bị một bộ dụng cụ riêng biệt đã được khử khuẩn sạch sẽ.
Nhiễm trùng nướu
- Bào mòn men răng: vì lớp cao răng rất cứng và thường bám rất sát vào lớp men răng nên nếu di chuyển máy cạo vôi răng quá sát hoặc để tần số rung quá cao có thể làm ảnh hưởng đến men răng. Tuy nhiên, tình trạng này thường rất hy hữu và chỉ xảy ra trong trường hợp bác sĩ làm quá ẩu.
4 Những lưu ý sau khi lấy cao răng cần ghi nhớ
Sau khi lấy cao răng, men răng và mô nướu thường trở nên rất nhạy cảm. Vì vậy, nếu không vệ sinh và chăm sóc răng miệng đúng cách, vi khuẩn rất dễ xâm nhập và tích tụ hình thành mảng bám. Vậy nên sau khi lấy cao răng, hãy ghi nhớ các lưu ý sau trong quá trình chăm sóc răng miệng:
- Không nên ăn các loại thực phẩm, đồ uống quá nóng hoặc quá lạnh vì nhiệt độ quá cao hoặc quá thấp có thể làm tổn hại men răng và khiến răng bị ê buốt.
- Xây dựng chế độ ăn uống khoa học, đầy đủ dinh dưỡng, bổ sung thêm nhiều rau củ và trái cây tươi giàu vitamin và khoáng chất.
- Hạn chế tối đa việc sử dụng các loại thức ăn quá mềm, quá dẻo vì sẽ dễ bám vào răng và hình thành cao răng.
- Nên sử dụng bàn chải có lông mềm và sử dụng lực vừa phải, đặt bàn chải theo chiều dọc hoặc xoay tròn, không nên chải răng theo chiều ngang vì sẽ làm mòn men răng.
- Không nên hút thuốc hoặc uống bia, rượu và sử dụng các loại thực phẩm có màu đậm, nhiều axit như trà, nước ngọt, socola, cà phê, nước tương,… sau khi lấy cao răng.
- Đánh răng đều đặn tối thiểu 2 lần/ngày vào buổi sáng sau khi ngủ dậy và buổi tối trước khi đi ngủ.
- Nên sử dụng thêm chỉ nha khoa và nước muối sinh lý sau mỗi bữa ăn để loại bỏ hoàn toàn thức ăn thừa còn sót lại.
- Thăm khám răng miệng và lấy cao răng định kỳ theo sự chỉ định của bác sĩ.
5 Địa chỉ lấy cao răng an toàn tại Hà Nội
Để đảm bảo an toàn, không gây biến chứng sau khi lấy cao răng, tốt nhất bạn nên tìm kiếm một địa chỉ nha khoa uy tín như nha khoa Hanseoul để thực hiện lấy cao răng. Trong suốt hơn 15 năm hoạt động, nha khoa đã nhận được sự tin tưởng của đông đảo khách hàng đến sử dụng dịch vụ. Bạn sẽ không phải lo lắng về tay nghề bác sĩ hay thiết bị nha khoa bởi phòng khám sở hữu đội ngũ bác sĩ giàu kinh nghiệm và có kiến thức chuyên môn cao, công nghệ lấy cao răng bằng máy siêu âm hiện đại hạn chế tối đa các tác hại không mong muốn.
Lấy cao răng cho bệnh nhân tại nha khoa Hansoeul
Bên cạnh đó, mức giá lấy cao răng tại nha khoa Hanseoul luôn được niêm yết rõ ràng, minh bạch, tuyệt đối không phát sinh thêm bất cứ phụ phí nào trong quá trình điều trị. Ngoài ra, đội ngũ nhân viên tư vấn luôn tận tâm hết mình và nhiệt tình trong việc giải đáp các thắc mắc của khách hàng, để khách hàng có những trải nghiệm tốt nhất tại phòng khám.
Trên đây là các thông tin về tác hại của việc lấy cao răng sai kỹ thuật mà nha khoa Hanseoul muốn chia sẻ đến bạn. Hãy liên hệ theo số điện thoại 0939 090 581 nếu có nhu cầu lấy cao răng hoặc cần tư vấn thêm về các dịch vụ khác tại nha khoa.