- 1 Trám răng sâu bao nhiêu tiền?
- 2 Yếu tố nào ảnh hưởng đến giá trám răng sâu nhất?
- 2.1 Dựa vào vật liệu trám răng sâu
- 2.2 Dựa vào tình trạng răng
- 3 Trám răng sâu có bền không? Thời gian được bao lâu?
- 3.1 Đối vật liệu Amalgam
- 3.2 Đối với vật liệu Composite
- 3.3 Đối với sứ Inlay – Onlay
- 4 Nha khoa HanSeoul – Địa chỉ trám răng sâu uy tín, chất lượng nhất trên thị trường
- 5 Quy trình trám răng bị sâu không đau tại Nha khoa HanSeoul
- 5.1 Bước 1: Bệnh nhân được bác sĩ thăm khám và tư vấn cụ thể
- 5.2 Bước 2: Tiến hành làm sạch mô răng sâu
- 5.3 Bước 3: Thực hiện trám răng sâu
- 5.4 Bước 4: Chỉnh sửa lại vết trám mang lại thẩm mỹ cao
Khi có dấu hiệu của sâu răng, bạn cần tới ngay địa chỉ nha khoa uy tín để được thăm khám và điều trị sớm nhất. Bởi nó không chỉ ảnh hưởng đến khả năng ăn nhai mà còn khiến quá trình điều trị trở nên khó khăn hơn. Vậy, trám răng sâu bao nhiêu tiền? Các bạn có thể theo dõi bảng giá ở dưới đây để biết thêm thông tin nhé!
1 Trám răng sâu bao nhiêu tiền?
Trám răng là phương pháp thường được các bác sĩ thực hiện để hỗ trợ điều trị các phần răng bị sâu. Không chỉ tái tạo lại chức năng ăn nhai mà nó còn giúp bạn đảm bảo được hiệu quả thẩm mỹ.
Giá thành của dịch vụ khám, điều trị răng sâu cũng là một trong vấn đề mà nhiều người quan tâm. Trám răng sâu giá bao nhiêu còn phụ thuộc vào rất nhiều yếu tố. Trong trường hợp răng có các bệnh lý khác ngoài sâu thì bệnh nhân cần bắt buộc phải điều trị, khoản này cũng nằm trong phần chi phí trám răng sâu.

Bên cạnh đó, cũng còn tùy vào cơ sở nha khoa và vật liệu trám răng, dịch vụ trám răng sâu sẽ có mức giá khác nhau.
Bạn có thể tham khảo mức giá trám răng sâu tại phòng khám Nha Khoa HanSeoul. Chi phí trám răng sâu tại đây sẽ có giá dao động trong khoảng từ 200.000 – 1.500.000 VNĐ/răng, cụ thể:
| TRÁM RĂNG | BẢO HÀNH | ĐVT | GIÁ (VNĐ) |
| Trám mặt nhai bằng P60 – 3M (Mỹ) | 6 tháng | 1 Răng | 200.000 |
| Trám răng bằng composite bulk fill – 3M (Mỹ) | 6 tháng | 1 Răng | 400.000 |
| Trám mặt bên bằng bulk fill – 3M (Mỹ) | 6 tháng | 1 Răng | 400.000 |
| Trám cổ răng bằng Z350 XT – 3M (Mỹ) | 6 tháng | 1 Răng | 200.000 |
| Trám thẩm mỹ bằng phương pháp Style Italiano – 3M (Mỹ) | 1 năm | 1 Răng | 1.500.000 |
| Trám lót bằng Vitrebond hãng 3M (Mỹ) | 6 tháng | 1 Răng | 200.000 |
2 Yếu tố nào ảnh hưởng đến giá trám răng sâu nhất?
Giá trám răng sâu bao nhiêu tiền sẽ phụ thuộc vào số lượng răng mà bệnh nhân cần trám, loại vật liệu trám được làm bằng gì cũng như tình trạng răng có nặng hay có cần phải lấy tủy hay không, cụ thể:
2.1 Dựa vào vật liệu trám răng sâu
Trên thị trường hiện nay có rất nhiều vật liệu được sử dụng để trám răng sâu, trong đó phải kể đến như: amalgam, composite, fuji,… Mỗi loại vật liệu đều có những ưu, nhược điểm và chi phí giá cả khác nhau. Trong đó, composite là một trong loại vật liệu được khách hàng ưa chuộng và sử dụng nhiều nhất bởi nó sở hữu nhiều ưu điểm cũng như giá thành phù hợp với hiệu quả của nó.
2.2 Dựa vào tình trạng răng
Ngoài vấn đề răng bị sâu, có nhiều khách hàng khi tới khám còn có thêm bệnh lý về răng miệng khác mà cần phải điều trị dứt điểm trước khi trám. Do đó, giá trám răng sâu sẽ còn tùy thuộc vào tình trạng răng của mỗi bệnh nhân.
3 Trám răng sâu có bền không? Thời gian được bao lâu?
Độ bền khi sử dụng phương pháp trám răng sâu phụ thuộc rất nhiều vào vật liệu dùng để phục hình cũng như cách chăm sóc răng miệng của khách hàng.

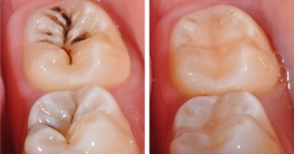
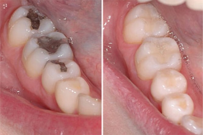
Hình ảnh trám răng sâu
3.1 Đối vật liệu Amalgam
Độ bền, chắc khi khi khách hàng trám răng sâu với vật liệu Amalgam sẽ rất cao. Thời gian sử dụng có thể lên đến 10 năm, thậm chí là cao hơn nếu chăm sóc răng miệng tốt.
3.2 Đối với vật liệu Composite
Với vật liệu này độ bền sẽ thấp hơn, thời gian chỉ dao động khoảng từ 5 đến 7 năm. Tuy nhiên, với nhiều ưu điểm mang lại mà Composite vẫn là loại vật liệu trám răng sâu phổ biến, được nhiều người lựa chọn nhất.
3.3 Đối với sứ Inlay – Onlay
Với độ bền là 400Mpa, cho nên tuổi thọ sử dụng của vật liệu trám sứ Inlay – Onlay có thể lên đến 15 – 20 năm . Mặt khác, đây là phương pháp mang lại thẩm mỹ tốt nhất bởi nó tạo ra sự vừa khít tới trong từng khớp cắn.
4 Nha khoa HanSeoul – Địa chỉ trám răng sâu uy tín, chất lượng nhất trên thị trường
Với hơn 15 năm kinh nghiệm hoạt động trong nghề, Nha khoa HanSeoul tự hào khi là một địa chỉ nha khoa trám răng sâu uy tín, chất lượng nhất hiện nay. Với công nghệ hàn trám răng hiện đại, tân tiến nhất trên thế giới, từ đó mang lại nhiều ưu điểm vượt trội, giúp khách hàng có một hàm răng đều đẹp hơn.
Tại Nha khoa HanSeoul, có đầy đủ các loại vật liệu với màu sắc có thể thay đổi, phù hợp với nhu cầu khách hàng cũng như đảm bảo tính thẩm mỹ và độ tự nhiên như răng thật, đặc biệt là không bị lộ miếng trám.
Tất cả các loại vật liệu trám răng đều được nghiên cứu và công nhận về độ lành tính, đảm bảo phù hợp và an toàn với sức khỏe người sử dụng.
Thời gian thực hiện trám răng sâu nhanh chóng, chỉ khoảng từ 10-15 phút/1 răng.
Kết quả, thời gian sử dụng được duy trì trong nhiều năm.
Lý do Nha khoa HanSeoul được đánh giá là địa chỉ trám răng sâu uy tín, chất lượng nhất là vì:
- Khách hàng tới khám và điều trị nha khoa tại sẽ được sử dụng các dịch vụ y tế chất lượng cao với các trang thiết bị, dụng cụ nha khoa hiện đại được nhập khẩu 100% từ nước ngoài, vô trùng tuyệt đối, khách hàng có thể an tâm gửi gắm hàm răng của mình.

- Đội ngũ bác sĩ tại nha khoa HanSeoul 100% tốt nghiệp trường Đại học Y danh tiếng, được tu nghiệp, đào tạo bài bản, giàu kinh nghiệm, thực hiện thành công hàng ngàn ca trám răng sâu một cách chính xác và cho hiệu quả chất lượng tốt nhất.
- Trám răng bằng công nghệ hiện đại, top đầu thế giới đang được nha khoa HanSeoul áp dụng thực hiện với mục đích đạt hiệu quả thẩm mỹ tối đa nhất.
5 Quy trình trám răng bị sâu không đau tại Nha khoa HanSeoul
Tại Nha khoa HanSeoul, quy trình trám răng sâu sẽ được thực hiện theo từng bước cụ thể đúng với tiêu chuẩn quốc tế, từ đó đảm bảo an toàn cho sức khỏe cũng như kết quả điều trị được tốt nhất.
5.1 Bước 1: Bệnh nhân được bác sĩ thăm khám và tư vấn cụ thể
Quy trình trám răng sâu tại Nha khoa HanSeoul được bắt đầu bằng việc thăm khám. Việc này giúp bác sĩ nhận định được tình trạng, mức độ sâu răng của bệnh nhân, từ đó sẽ có kế hoạch điều trị phù hợp nhất.
5.2 Bước 2: Tiến hành làm sạch mô răng sâu
Trước khi trám, răng sâu cần được loại bỏ hoàn toàn phần răng đã bị hỏng do nhiễm khuẩn. Trước khi tiến hàng thực hiện nạo bỏ khoang sâu, bác sĩ sẽ gây tê cục bộ tại vị trí cần trám, quá trình thực hiện trám răng sẽ không còn đau, giúp cho bệnh nhân gạt bỏ được nỗi sợ và tâm lý thoải mái nhất.

Bằng dụng cụ chuyên dụng và kinh nghiệm điều trị thực tế lâu năm của các bác sĩ tại Nha khoa HanSeoul, mô răng bị sâu sẽ được loại bỏ hoàn toàn một cách nhanh chóng và đảm bảo nhất.
5.3 Bước 3: Thực hiện trám răng sâu
Sau khi đã loại bỏ hoàn toàn vi khuẩn và mô răng hỏng, bác sĩ sẽ tạo một xoang trám phù hợp với vật liệu trám răng mà khách hàng lựa chọn. Chất trám này sẽ làm đầy vào phần mô răng đã bị khuyết để khôi phục lại chiếc răng theo hình dáng ban đầu.
5.4 Bước 4: Chỉnh sửa lại vết trám mang lại thẩm mỹ cao
Sau khi thực hiện trám bít, bác sĩ sẽ thực hiện điều chỉnh lại vết trám. Phần vật liệu trám dư thừa sau khi cứng lại, bác sĩ sẽ dùng dụng cụ chuyên nha cắt và mài để tạo hình chuẩn xác nhất, giúp cho bệnh nhân ăn nhai một cách tự nhiên nhất mà hoàn toàn không bị cộm hay khó chịu. Cuối cùng, quá trình trám răng đã hoàn thành, bạn có thể tự tin với một hàm răng đều, đẹp nhất.
Hy vọng qua bài chia sẻ trên, khách hàng đã có đáp án cho câu hỏi “Trám răng sâu bao nhiêu tiền?” cũng như biết thêm được những thông tin hữu ích nhất về trám răng. Đặc biệt, khi nhận thấy những dấu hiệu của bệnh sâu răng thì đừng chần chừ mà hãy đến nha khoa ngay để được điều trị kịp sớm nhất, điều này sẽ giúp bạn rút ngắn được thời gian và chi phí trong quá trình điều trị.
Bạn có thể liên hệ ngay với chúng tôi theo số tổng đài 0928.75.7777 – 0939.090.581 hoặc đến trực tiếp Nha khoa HanSeoul để được các bác sĩ chuyên khoa thăm khám và được tư vấn miễn phí nhé!





