ĐẶT LỊCH TƯ VẤN
Hãy để lại thông tin, Nha khoa Hanseoul sẽ tư vấn nhanh chóng phương pháp niềng phù hợp nhất với bạn

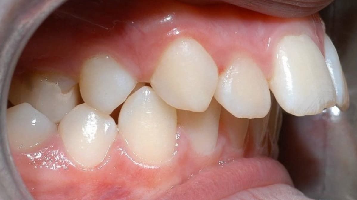
Răng hô chìa

Răng móm

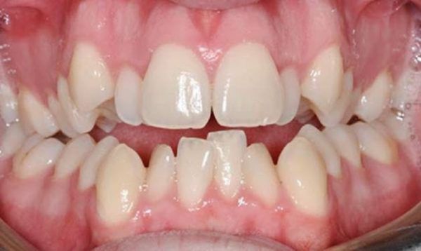
Răng thưa

Khớp cắn chéo

Răng chen chúc, khấp khểnh

Tốt nghiệp Bác sĩ chuyên khoa Răng Hàm Mặt, Đại học Y Hà Nội (2003 – 2009)
Bảo vệ luận văn Thạc sĩ, Bác sĩ nội trú Bệnh viện (2010 – 2013)
Tốt nghiệp DIU chuyên ngành Chính nha & Phục hình thẩm mỹ, Đại học Bordeaux 2 – Cộng hòa Pháp (2012)
Bác sĩ nội trú Răng Hàm Mặt tại Bệnh viện Bạch Mai
Trưởng khoa Chỉnh nha tại Hệ thống Nha khoa Quốc tế HanSeoul
Hoàn thành trên 5000 ca chỉnh nha lâm sàng
Chứng chỉ hành nghề khám, chữa bệnh chuyên ngành Răng Hàm Mặt do Bộ Y tế cấp
Chuyên gia chỉnh nha với hơn 15 năm kinh nghiệm, chuyên điều trị các ca sai khớp cắn, răng hô – móm – khấp khểnh phức tạp
Được bệnh nhân tin tưởng nhờ sự tận tâm, trách nhiệm và kết quả điều trị thẩm mỹ, chuẩn khớp cắn

Máy Scan Trios 3Shape: Thiết bị lấy dấu kỹ thuật số hàng đầu Đan Mạch, cho hình ảnh 3D chính xác

CT Conebeam 3D: Cho phép bác sĩ quan sát chi tiết cấu trúc xương hàm, cung răng... 3 chiều, để lập kế hoạch niềng chính xác

Bước 1: Thăm khám – Chụp phim 3D Ceph & Scan mẫu hàm kỹ thuật số
Bước 2: Phân tích khớp cắn bằng phần mềm WebCeph AI
Bước 3: Lập kế hoạch dịch chuyển răng cá nhân hoá trên mô hình BIOSMART 3D
Bước 4: Lắp mắc cài hoặc khay niềng trong suốt Invisalign
Bước 5: Theo dõi định kỳ – điều chỉnh lực kéo chính xác
Bước 6: Tháo niềng – duy trì kết quả bằng khay retainer trong suốt
Bước 7: Tái khám định kỳ để duy trì kết quả
Minh bạch về trình độ chuyên môn của đội ngũ bác sĩ, mỗi bác sĩ chỉnh nha đều có hồ sơ năng lực rõ ràng, công khai bằng cấp và chứng chỉ chuyên sâu để khách hàng an tâm lựa chọn.
Phác đồ điều trị được cá nhân hoá bằng công nghệ BIOSMART hiện đại (3Shape, WebCeph, Biotech), giúp dự đoán trước kết quả và đảm bảo răng di chuyển an toàn, hiệu quả.
Mắc cài, dây cung và khí cụ chỉnh nha đều là vật liệu chính hãng, có giấy tờ, mã vạch và chứng minh nguồn gốc rõ ràng.
Chi phí được báo giá minh bạch ngay từ đầu, cam kết không phát sinh thêm trong suốt quá trình điều trị, kèm hợp đồng rõ ràng về quyền lợi và chế độ bảo hành.
Khách hàng được thăm khám – chụp phim – tư vấn miễn phí ngay cả khi chưa thực hiện dịch vụ.




NHA KHOA HANSEOUL sẽ liên hệ bạn trong vòng 10 phút
Thời gian làm việc (trừ ngày lễ/tết)
Thứ 2 - 7: 8h00 - 19h00
Chủ nhật: 8h00 - 17h30
Liên hệ hotline: 0904.768.577 để được tư vấn miễn phí