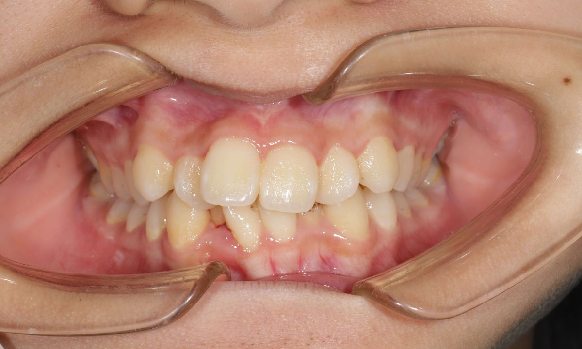
Tình trạng trước niềng răng
Sau khi thăm khám tại Nha khoa Hanseoul, bác sĩ ghi nhận các vấn đề:- Răng lệch lạc, chen chúc nghiêm trọng cả hai hàm
- Không đủ khoảng sắp xếp răng
- Khớp cắn sai (cắn chìa – cắn sâu)
- Ảnh hưởng thẩm mỹ khuôn mặt và chức năng ăn nhai
_03h52.jpg)
Lập kế hoạch điều trị khoa học với công nghệ độc quyền BIOSMART
Tại Hanseoul, Diệp Anh được điều trị bằng công nghệ niềng răng Biosmart – giải pháp chỉnh nha thế hệ mới với nhiều ưu điểm vượt trội:- Tối ưu lực kéo, nhẹ nhàng nhưng hiệu quả gấp 4 lần
- Di chuyển răng chính xác, an toàn nhờ phần mềm lập kế hoạch 3D
- Rút ngắn thời gian niềng đến 6 tháng so với mắc cài truyền thống
- Giảm đau, hạn chế tái phát lệch lạc
- Thẩm mỹ cao, dễ vệ sinh
_03h53.jpg)
Bác sĩ chỉnh nha chuyên sâu trực tiếp xây dựng phác đồ dựa trên phim X-quang, hình ảnh 3D và phân tích khớp cắn, đảm bảo răng di chuyển đúng hướng – đúng lực – đúng thời điểm.
Quá trình theo dõi sát sao, hiệu quả vượt trội
Trong suốt quá trình niềng, Diệp Anh được:- Tái khám đúng lịch
- Điều chỉnh lực kéo từng giai đoạn
- Kiểm soát khớp cắn chặt chẽ
- Vệ sinh và chăm sóc răng theo hướng dẫn chuyên môn

Kết quả sau niềng - Màn "lột xác" ấn tượng
- Sau khi tháo niềng, Diệp Anh thay đổi rõ rệt:
- Răng thẳng hàng, không còn chen chúc
- Khớp cắn chuẩn – ăn nhai tự nhiên
- Khuôn mặt cân đối, góc nghiêng hài hòa hơn
- Nụ cười rạng rỡ – tự tin trong giao tiếp, chụp ảnh
_03h53.jpg)
Diệp Anh chia sẻ thêm :“Nếu bạn đang tự ti vì răng không đẹp, đừng chần chừ. Quyết định niềng răng tại Hanseoul là điều đúng đắn nhất mà mình từng làm. Bác sĩ tận tâm, công nghệ hiện đại, kết quả vượt mong đợi.”






_09h03.jpg)