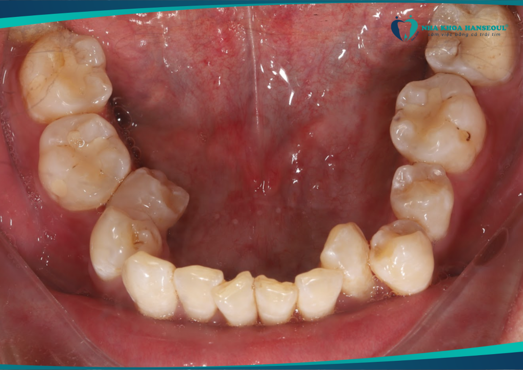
- 1 Tình trạng răng trước điều trị: Khớp cắn ngược hạng III móm, răng khôn sâu
- 2 Vì sao anh Trường chọn niềng răng Invisalign tại Hanseoul?
- 2.1 Tại sao bạn lại chọn niềng răng trong suốt Invisalign?
- 2.2 Trước khi niềng bạn có lo lắng gì không?
- 2.3 Tại sao bạn lại chọn niềng răng tại Nha khoa Hanseoul?
- 3 Trải nghiệm thực tế tại Nha khoa Hanseoul
- 4 Kết quả sau điều trị: Tự tin, chuyên nghiệp và khỏe mạnh hơn
- 5 Vì sao nên chọn niềng răng Invisalign tại Nha khoa Hanseoul?
- 6 Hãy như anh Trường – cải thiện nụ cười, tự tin mỗi ngày!
Niềng răng Invisalign đang dần trở thành lựa chọn phổ biến nhờ tính thẩm mỹ cao, khả năng tháo lắp linh hoạt và cảm giác thoải mái khi đeo. Một trong những khách hàng tiêu biểu lựa chọn phương pháp này tại Nha khoa Hanseoul là anh Đỗ Xuân Trường, kỹ sư thiết kế 27 tuổi, hiện đang sinh sống và làm việc tại Hà Nội.

1 Tình trạng răng trước điều trị: Khớp cắn ngược hạng III móm, răng khôn sâu
Anh Trường gặp phải tình trạng khớp cắn ngược hạng III móm. Đây là một dạng sai khớp cắn khiến hàm dưới đưa ra trước. Ảnh hưởng đến cả chức năng ăn nhai lẫn thẩm mỹ khuôn mặt. Ngoài ra, anh còn gặp tình trạng răng khôn sâu, thường xuyên đau nhức. Ảnh hưởng lớn đến sinh hoạt hằng ngày.


Anh Trường đến với Nha khoa Hanseoul và được bác sĩ chuyên môn thăm khám, tư vấn kỹ lưỡng. Anh quyết định nhổ răng khôn, tiến hành niềng răng trong suốt Invisalign để cải thiện toàn diện tình trạng răng miệng.
2 Vì sao anh Trường chọn niềng răng Invisalign tại Hanseoul?

2.1 Tại sao bạn lại chọn niềng răng trong suốt Invisalign?
“Công việc của mình là kỹ sư thiết kế, thường xuyên phải gặp gỡ khách hàng và làm việc nhóm. Mình cần một phương pháp chỉnh nha vừa hiệu quả vừa đảm bảo thẩm mỹ. Đặc biệt là thuận tiện trong quá trình sinh hoạt. Mình thấy niềng răng trong suốt tháo lắp linh hoạt, rất dễ dàng. Sinh hoạt rồi giao tiếp cũng thuận tiện hơn, đảm bảo thẩm mỹ. Nó khiến mình an tâm và tự tin hơn.”

2.2 Trước khi niềng bạn có lo lắng gì không?
“Mới đầu mình cũng đã cân nhắc rất nhiều. Một là sợ đau, 2 nữa là vấn đề tài chính, nó có hơi ảnh hưởng một chút. Tuy nhiên khi đã quyết định niềng rồi thì mình thấy rất ưng ý và hài lòng.”
2.3 Tại sao bạn lại chọn niềng răng tại Nha khoa Hanseoul?
“Mình thấy cơ sở vật chất ở đây tốt, hiện đại. Nhân viên tư vấn nhiệt tình, chu đáo. Bác sĩ tận tâm, tỉ mỉ, tư vấn kĩ lưỡng. Thêm nữa là Nha khoa cũng có nhiều cơ sở. Cơ sở này vừa gần nhà mình, vừa gần chỗ làm của mình, rất thuận tiện qua lại.”
3 Trải nghiệm thực tế tại Nha khoa Hanseoul
Tại Hanseoul, anh Trường được hưởng dịch vụ chỉnh nha tiêu chuẩn quốc tế, bao gồm:
- Miễn phí thăm khám, chụp phim CT 3D Conebeam và tư vấn lộ trình điều trị cá nhân hóa
- Scan mẫu hàm bằng máy 3Shape Trios, cho độ chính xác cao
- Xem trước kết quả niềng răng chỉ sau 60 giây với công nghệ Webcept
- Sử dụng khay niềng trong suốt Invisalign chính hãng, được thiết kế riêng theo từng giai đoạn dịch chuyển răng
- Tặng máy tăm nước, hỗ trợ chăm sóc răng miệng trong suốt quá trình niềng
- Tặng gói tẩy trắng răng sau khi tháo niềng để có nụ cười trắng sáng, đều đẹp

Anh Trường cho biết quá trình đeo khay Invisalign khá dễ chịu, dễ thích nghi và hoàn toàn có thể tháo lắp khi cần thiết.
4 Kết quả sau điều trị: Tự tin, chuyên nghiệp và khỏe mạnh hơn
Sau một thời gian niềng Invisalign tại Hanseoul, anh Trường cảm nhận rõ sự thay đổi:
- Hàm răng đều đẹp, không còn cảm giác cắn lệch
- Không còn đau răng khôn ảnh hưởng sinh hoạt
- Tự tin hơn khi giao tiếp, đặc biệt trong môi trường công việc yêu cầu thẩm mỹ cao
- Cảm nhận chất lượng dịch vụ “đúng như cam kết”, không phát sinh chi phí
“Sau khi trải nghiệm dịch vụ tại Hanseoul, mình thấy ưng ý. Bác sĩ chuyên môn tốt, theo sát quá trình điều trị. Cơ sở vật chất rất hiện đại, khang trang, sạch sẽ. Mình rất tin tưởng và hài lòng.” – Anh Trường chia sẻ.
5 Vì sao nên chọn niềng răng Invisalign tại Nha khoa Hanseoul?
- Được thăm khám và điều trị bởi đội ngũ bác sĩ hàng đầu trong lĩnh vực chỉnh nha.
- Cơ sở vật chất hiện đại, công nghệ chuẩn quốc tế
- Sử dụng khay Invisalign chính hãng, nguồn gốc rõ ràng
- Sử dụng hệ thống khí cụ chất lượng, nguồn gốc xuất xứ rõ ràng từ thương hiệu 3M.
- Công nghệ Biosmart độc quyền từ Hàn Quốc, phù hợp với cấu trúc khuôn mặt Á Đông
- Cam kết hiệu quả bằng văn bản, không phát sinh chi phí trong suốt quá trình điều trị
6 Hãy như anh Trường – cải thiện nụ cười, tự tin mỗi ngày!
Nếu bạn đang gặp tình trạng răng lệch, hô, móm, sai khớp cắn… Hãy cân nhắc niềng răng Invisalign tại Nha khoa Hanseoul – nơi hội tụ công nghệ, chuyên môn và sự tận tâm.
Liên hệ ngay để được tư vấn miễn phí: 0904 768 577
Hoặc đến trực tiếp cơ sở Hanseoul gần nhất để thăm khám và nhận ưu đãi đặc biệt!