Trồng răng Implant toàn hàm là phương pháp phục hình răng miệng tối ưu và hiện đại nhất hiện nay. Đặc biệt hơn là các trường hợp mất toàn hàm muốn cấy ghép Implant thì phương pháp cấy ghép Implant hàm All on 4 và hàm All on 6 được các chuyên gia khuyến nghị với các ưu điểm về chức năng và giá thành. Vậy thì cấy ghép Implant All on 4 và Implant All on 6 là gì? Cùng Hanseoul tìm hiểu ngay nhé!
1 Cấy ghép Implant All On là gì? Nên sử dụng trong trường hợp nào?
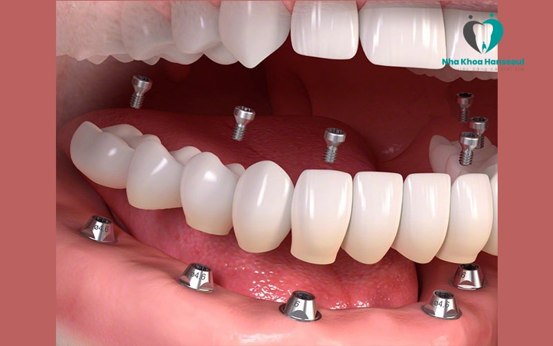
Cấy ghép Implant All On là giải pháp phục hình răng cho những bệnh nhân mất răng toàn bộ hoặc mất nhiều răng bằng cách cấy ghép một số lượng vừa đủ các Implant vào xương hàm và sử dụng chúng để tạo thành một khung, hỗ trợ tạo nên một hàm răng giả hoàn chỉnh, đầy đủ các răng.

Cụ thể hơn, bệnh nhân chỉ cần cấy ghép 4 – 6 trụ implant thay vì cấy 15 – 16 trụ vào xương hàm. Giải pháp này giúp bệnh nhân có một hàm răng chắc khỏe như răng thật, có thể ăn nhai dễ dàng kể cả với thức ăn cứng, dai…Mặt khác khiến bệnh nhân tự tin hơn khi giao tiếp từ đó nâng cao chất lượng cuộc sống.
Bằng phương pháp cấy implant all on này, bệnh nhân sẽ có thêm động lực, lựa chọn để tìm kiếm hàm răng chắc khỏe vì nó giảm bớt chi phí nhiều hơn khi phải cấy implant cho toàn bộ răng mất và hàm cũng không bị quá nặng do cắm nhiều Implant All On.
2 Ưu điểm của phương pháp cấy ghép Implant All on
2.1 Ưu điểm
- Cải thiện chức năng ăn uống: Với răng cấy implant all on sẽ rất vững chắc và ổn định, bệnh nhân có thể ăn uống thoải mái hơn, có thể ăn các loại thực phẩm mà trước đây không thể do thiếu răng.
- Tăng tính thẩm mỹ: Implant All On mang đến một hàm răng giả tự nhiên, trông giống như bộ răng thật và cải thiện tính thẩm mỹ, giúp bệnh nhân tự tin hơn khi nói chuyện và cười với mọi người xung quanh.
- Giảm tác động đến xương hàm: Implant All On giúp giữ cho xương hàm được phát triển, tránh tinh trạng tiêu xương hàm và giảm thiểu sự hao mòn xương hàm, ngăn ngừa các vấn đề về răng miệng về sau.
- Độ bền lâu dài: Bộ răng giả Implant All On được thiết kế để dễ dàng sử dụng và vệ sinh hàng ngày, giúp bệnh nhân tiết kiệm thời gian và tiền bạc với thời gian sử dụng lên đến 20 năm hoặc trọn đời nếu chăm sóc răng miệng đúng cách theo hướng dẫn của nha sĩ.
- Tăng tính ổn định: Implant All On cung cấp một giải pháp ổn định và vững chắc hơn so với các phương pháp phục hình răng sứ hoặc các phương pháp phục hình răng truyền thống khác, giảm thiểu sự di chuyển và mất cân bằng của bộ răng giả.
Trải nghiệm khách hàng trồng răng toàn hàm all on 6
2.2 Nhược điểm
- Chi phí vẫn tương đối cao so với phục hình tháo lắp. Chi phí phục hình hàm All on 4 và All on 6 thường dao động trên 100.000.000 VNĐ.
- Kỹ thuật cấy ghép All on 4, All on 6 rất khó, đòi hỏi bác sĩ phải có kinh nghiệm và chuyên môn sâu, máy móc trang thiết bị hiện đại.
Có những kỹ thuật Implant All On nào? Implant All On 4 là gì? Implant All On 6 là gì?
Hiện nay, cấy implant all on có nhiều kỹ thuật tuy nhiên có hai kỹ thuật cơ bản thường được sử dụng để thực hiện Implant All On là all on 4 và all on 6:
2.3 Implant All On 4
Cấy ghép Implant All On 4 là giải pháp với kỹ thuật cấy 4 trụ Implant vào xương hàm của bệnh nhân. Tuy nhiên, để sử dụng kỹ thuật này thì xương hàm của bệnh nhân phải đủ chắc chắn và đủ dày để hỗ trợ các implant được vững chắc.
Thông thường vị trí đặt trụ implant của kỹ thuật All On 4 thường là: 2 trụ đặt thẳng đứng ở nhóm răng cửa trước. 2 trụ đặt theo góc nghiêng 30 – 45 độ ở nhóm răng hàm. Tuy nhiên, vị trí đặt trụ implant không phải ai cũng giống nhau. Mỗi bệnh nhân sẽ được bác sĩ nha khoa tư vấn cụ thể, chi tiết sau khi thăm khám kỹ càng.
Sau khi cấy implant all on 4, bác sĩ sẽ sử dụng một hàm răng giả hoặc các nhịp cầu răng để phục hình lên phía trên giúp bệnh nhân thuận lợi ăn nhai.
2.4 Implant All On 6
Implant All On 6 là giải pháp cải tiến hơn all on 4 khi sử dụng 6 trụ Implant để đặt vào xương hàm bệnh nhân. Với kỹ thuật All On 6, các trụ chân răng thường được dựng thẳng đứng. Vị trí lắp đặt cũng được phân bố đều khắp cả hàm.
Kỹ thuật này được sử dụng khi xương hàm của bệnh nhân mỏng hơn hoặc không đủ chắc chắn để sử dụng phương pháp implant all on 4.
Đây là 2 kiểu số lượng trụ chân răng phổ biến nhất. Ngoài ra còn có thêm các kiểu dùng 5 hoặc 8 trụ Titanium để phục hình.Tuy nhiên những phương pháp này ít được dùng hơn và chỉ sử dụng trong vài trường hợp nhất định.
3 Quy trình cấy ghép Implant All On
Quy trình cấy ghép Implant All On sẽ diễn ra tương tự như khi cấy implant thông thường. Cụ thể với các bước như sau:
Bước 1: Thăm khám và tư vấn trực tiếp với bác sĩ chuyên cấy Implant
Bệnh nhân hỏng răng/mất răng khi có nhu cầu tìm lại hàm răng chắc khỏe bằng phương pháp cấy implant toàn hàm all on sẽ được thăm khám cùng bác sĩ một cách chi tiết, tỉ mỉ sau đó chụp phim CT ConeBeam. Khi có phim chụp X-quang, bác sĩ sẽ đánh giá mật độ xương hàm và lựa chọn số lượng trụ Implant phù hợp với tình trạng của bệnh nhân.
Kết quả chụp CT ConeBeam
Nếu bệnh nhân đáp ứng đầy đủ điều kiện để làm răng Implant all on và đồng ý với phương án, chi phí dựa trên sự tư vấn của bác sĩ thì ngay sau đó sẽ được đặt lịch hẹn cụ thể ngày đến nha khoa cấy implant.
Bước 2: Bệnh nhân được vệ sinh răng miệng và gây tê
Để quy trình cấy ghép Implant All On được diễn ra an toàn và chính xác nhất thì bệnh nhân sẽ được vệ sinh răng miệng trước khi cấy implant.
Sau đó tùy thuộc vào tình trạng của từng bệnh nhân mà bác sĩ sẽ tiến hành gây tê cục bộ để cấy implant. Do vậy bệnh nhân sẽ hoàn toàn thoải mái trong quá trình bác sĩ cấy implant mà không phải trải qua cảm giác quá đau đớn như nhiều người vẫn lo sợ.
Bước 3: Cắm trụ Implant vào xương hàm
Bác sĩ tiếp tục thực hiện quá trình cắm 4 hoặc 6 trụ Implant cho bệnh nhân tùy vào phương pháp đã lựa chọn trước đó. Toàn bộ trụ Implant sẽ được cấy vào xương hàm của bệnh nhân trong một lần hẹn duy nhất một cách chính xác tuyệt đối (điều này phụ thuộc rất nhiều vào trình độ tay nghề của bác sĩ thực hiện cấy ghép implant). Do đó, bệnh nhân và người nhà nên tìm hiểu thật kỹ càng bác sĩ cũng như nha khoa uy tín để giao phó hàm răng của mình.
Bước 4: Khâu vết thương & hẹn lịch tái khám định kỳ
Sau khi các trụ Implant được cấy vào xương hàm, bác sĩ sẽ khâu lại vết thương và lắp răng giả tạm thời cho bệnh nhân sử dụng ăn nhai như bình thường. Tuy nhiên thời điểm này bệnh nhân được khuyên ăn đồ mềm để trụ implant tích hợp vào xương hàm thuận lợi. Bệnh nhân ra về nghỉ ngơi và chờ đợi đến ngày tái khám tiếp theo.
Đây chính là thời gian chờ đợi để trụ implant tích hợp với xương hàm của mỗi người. Quá trình này thuận lợi thì 3-6 tháng sau bệnh nhân sẽ được hẹn tới lắp mão răng sứ hoàn chỉnh. Lúc này, quá trình cấy implant mới chính thức hoàn thành.
4 Những ai nên phục hình Implant All on 4, All on 6

Những bệnh nhân có thể sử dụng phương pháp cấy ghép Implant All on bao gồm:
- Bệnh nhân đã mất toàn bộ răng 1 hoặc cả 2 hàm trên dưới.
- Bệnh nhân vẫn còn răng thật nhưng các răng thật bị bệnh lý nha chu, lung lay nhiều, không đáp ứng chức năng thẩm mỹ, ăn nhai.
- Bệnh nhân mất nhiều răng liền kề trên hàm.