Chảy máu chân răng là hiện tượng răng miệng thường thấy, nguyên nhân có thể do đánh răng hoặc dùng chỉ nha khoa sai kỹ thuật, hay cũng có thể là triệu chứng của một số bệnh như viêm nướu, viêm nha chu,… Vậy khi bị chảy máu chân răng cần phải làm gì để đảm bảo sức khỏe răng miệng không bị ảnh hưởng?
1 Chảy máu chân răng là gì?
Chảy máu chân răng là tình trạng chảy máu ở phần lợi, nướu xung quanh chân răng, thường xuất hiện sau khi đánh răng hoặc dùng chỉ nha khoa. Ngoài ra, tình trạng này cũng có thể là một dấu hiệu nhận biết bạn đang mắc phải một bệnh lý liên quan đến sức khỏe răng miệng.

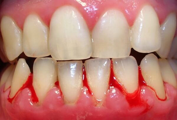
Hình ảnh bệnh chảy máu chân răng
2 Nguyên nhân gây chảy máu chân răng
2.1 Do bệnh lý răng miệng
Chảy máu chân răng có thể là triệu chứng của một trong những bệnh lý về răng miệng sau:
- Viêm nướu răng: là tình trạng nướu răng bị viêm nhiễm do các mảng bám trên răng tồn tại quá lâu. Các mảng bám này có thể là do mảnh vụn thức ăn mà khi đánh răng hoặc dùng chỉ nha khoa không thể loại bỏ được hoặc do vi khuẩn bám trên răng gây ra. Mảng bám không được loại bỏ đúng cách và bám vào răng lâu ngày sẽ hình thành cao răng hoặc vôi răng, làm tăng nguy cơ chảy máu chân răng, nghiêm trọng hơn có thể dẫn đến viêm nướu răng, viêm nha chu và gây mất răng.
- Viêm nha chu: viêm nướu nếu không được điều trị kịp thời sẽ dẫn đến viêm nha chu, làm tổn thương các mô xương nâng đỡ răng và gây mất răng. Bên cạnh triệu chứng chảy máu chân răng, viêm nha chu còn có một số dấu hiệu nhận biết như: răng bị lung lay, nướu sưng đỏ hoặc mềm, bị hôi miệng hoặc có mùi vị lạ khó chịu trong miệng,…
- Viêm lợi: việc vệ sinh răng miệng không đúng cách và không sạch sẽ khiến thức ăn vẫn còn tồn đọng ở kẽ răng, cao răng bám nhiều dẫn đến viêm lợi. Viêm lợi càng nặng thì tình trạng chảy máu chân răng xảy ra càng thường xuyên hơn.
- Áp xe chân răng: là tình trạng ổ mủ do nhiễm trùng bởi vi khuẩn ở phần trong của răng gây ra, thường xảy ra do không điều trị viêm hốc răng hoặc răng bị thủng, vỡ tạo điều kiện thuận lợi cho vi khuẩn tấn công vào bên trong. Khi túi áp xe trở nên trầm trọng, người bệnh không chỉ bị đau răng, chảy máu chân răng mà còn bị sưng tấy vùng mặt và sốt toàn thân.
- Răng mọc lệch, khấp khểnh: việc này sẽ gây khó khăn cho việc vệ sinh răng miệng khiến thức ăn dễ bị kẹt lại trong kẽ răng từ đó gây viêm lợi và chảy máu lợi.

- Các bệnh lý khác: gồm sâu răng, răng ê buốt, nhiễm trùng chân răng cũng có thể là nguyên nhân gây chảy máu chân răng.
2.2 Do vấn đề cơ thể
Chảy máu chân răng cũng có thể là dấu hiệu nhận biết của một số vấn đề cơ thể không liên quan đến răng miệng như:
- Thiếu vitamin, đặc biệt là vitamin C (có tác dụng giúp các mô phát triển và chữa lành các thương tổn đồng thời củng cố xương và răng) và vitamin K (giúp máu đông đúng cách và tốt cho xương).
- Bệnh tiểu đường loại 1 hoặc 2 do những người mắc bệnh tiểu đường khoang miệng không có khả năng chống lại vi trùng.
- Bệnh bạch cầu do số lượng tiểu cầu thấp dẫn đến chảy máu và khó cầm máu ở một số bộ phận cơ thể trong đó có nướu và chân răng.

- Suy giảm tiểu cầu khiến cơ thể gặp khó khăn khi đông máu. Tình trạng này dễ dẫn đến việc chảy máu với nhiều cấp độ ở các bộ phận khác nhau trên cơ thể trong đó có nướu và chân răng.
- Bệnh lý về gan ảnh hưởng đến chức năng chuyển hóa của gan, từ đó gây chảy máu lợi.
- …
Ngoài ra, chảy máu chân răng đôi khi chỉ là tình trạng do đánh răng hoặc dùng chỉ nha khoa sai cách mà không phải bất cứ bệnh lý nào. Việc này sẽ không ảnh hưởng quá nhiều đến sức khỏe răng miệng cũng như sức khỏe cơ thể của bạn.
3 Làm gì khi bị chảy máu chân răng?
Nếu chảy máu chân răng là tình trạng xảy ra do thói quen chăm sóc răng miệng không tốt, bạn chỉ cần lưu ý một số vấn đề sau để khắc phục:
- Chăm sóc răng miệng đúng cách: đây là điều cơ bản và cũng là điều quan trọng nhất để bạn có thể duy trì một hàm răng khỏe mạnh, trắng sáng, tự tin. Hãy đánh răng ít nhất 2 lần 1 ngày và chọn loại bàn chải có lông mềm phù hợp, đánh dọc theo thân răng và tuyệt đối không chà sát mạnh nếu không sẽ làm tổn thương niêm mạc. Ngoài ra, bạn phải thực hiện lấy cao răng định kỳ để ngăn ngừa viêm lợi, viêm nướu.
- Bổ sung đầy đủ chất dinh dưỡng: khi bị chảy máu chân răng, bạn phải lưu ý bổ sung 2 loại vitamin cần thiết, đó là vitamin C và vitamin K bằng cách ăn nhiều hoa quả tự nhiên như cam, chanh, củ cải, bưởi, ổi, chuối,… Ngoài ra, bạn cũng nên bổ sung thêm chất xơ từ rau xanh để giúp loại bỏ mảng bám trên răng tốt hơn.

- Dừng hút thuốc lá: ai cũng biết rằng thuốc lá có hại thế nào đến sức khỏe răng miệng và sức khỏe cơ thể. Vì thế, nếu bạn có thói quen này, hãy từ bỏ nó ngay lập tức để có thể sở hữu một hàm răng khỏe và đẹp.
Tuy nhiên, nếu chảy máu chân răng là do các bệnh lý về răng miệng, hãy đến ngay các cơ sở nha khoa để được thăm khám và điều trị kịp thời, tránh để đến khi bệnh quá nặng sẽ khó điều trị và gia tăng nguy cơ mất răng.
4 Nha khoa Hanseoul – uy tín, chuyên nghiệp và tận tâm
Để phòng tránh tình trạng chảy máu chân răng, bên cạnh việc chăm sóc răng miệng đúng cách tại nhà và bổ sung đầy đủ chất dinh dưỡng, bạn cũng nên đi gặp nha sĩ định kỳ 2 lần/năm để kiểm tra và vệ sinh răng miệng. Lưu ý nên chọn nha khoa uy tín và đảm bảo chất lượng để sức khỏe răng miệng luôn được ổn định.
Nha khoa Hanseoul với hơn 10 năm trong nghề đã trở thành địa chỉ đáng tin cậy của khách hàng mỗi khi gặp vấn đề về răng miệng hoặc có nhu cầu thẩm mỹ về răng. Tại đây, bác sĩ không chỉ tiến hành thăm khám tổng quát mà còn hướng dẫn chi tiết bạn cách vệ sinh răng đúng cách để giảm nguy cơ mắc các bệnh về răng. Bạn có thể hoàn toàn tin tưởng vào chất lượng dịch vụ tại Nha khoa Hanseoul:
- Cơ sở vật chất hiện đại và công nghệ tiên tiến bậc nhất, có thể đáp ứng được mọi nhu cầu của khách hàng với chất lượng và giá thành tốt nhất.
- Đội ngũ bác sĩ đều tốt nghiệp đại học chuyên ngành Răng Hàm Mặt và đội ngũ điều dưỡng được đào tạo bài bản, luôn tận tâm và nhiệt tình trong việc tư vấn, thăm khám và điều trị cho khách hàng.

- Hệ thống vô trùng được đảm bảo đúng theo yêu cầu nghiêm ngặt của Bộ Y tế. Mỗi khách hàng khi đến thăm khám và điều trị sẽ được sử dụng một bộ dụng cụ riêng biệt và được khử trùng trước khi sử dụng.
- Có chính sách bảo hành rõ ràng (đối với các dịch vụ thẩm mỹ) và có chương trình hỗ trợ khách hàng như trả góp 0%, hợp tác bảo lãnh viện phí để khách hàng thêm phần yên tâm khi đến thăm khám tại nha khoa.
Chảy máu chân răng là hiện tượng thường gặp và có thể liên quan đến các bệnh lý về răng miệng. Vì thế, hãy đến gặp nha sĩ ngay nếu tình trạng này kéo dài 7 – 10 ngày. Nếu còn thắc mắc cần được giải đáp về tình trạng chảy máu chân răng và các vấn đề khác liên quan đến răng miệng, hãy gọi ngay đến Nha khoa Hanseoul theo số hotline 0939 090 581.





