- 1 Cao răng được hiểu là gì?
- 2 Lợi ích của việc lấy cao răng định kỳ tại phòng khám nha khoa
- 2.1 Giảm thiểu nguy cơ mắc các bệnh lý về răng miệng, sức khỏe cơ thể
- 2.2 Loại bỏ hơi thở có mùi hôi một cách hiệu quả nhất
- 2.3 Răng trở nên sạch bóng, mang lại tính thẩm mỹ hơn
- 2.4 Ngăn ngừa các bệnh lý do cao răng gây ra
- 2.5 Lấy cao răng định kỳ có thể bảo vệ răng và xương hàm khỏe mạnh hơn
- 3 Ưu điểm của việc lấy cao răng bằng máy siêu âm thông minh
- 4 Chi phí lấy cao răng bằng máy siêu âm thông minh giá bao nhiêu tiền?
- 5 Nha khoa Hanseoul – Địa chỉ lấy cao răng bằng máy siêu âm thông minh uy tín, chất lượng
So với lấy cao răng bằng các dụng cụ cầm tay truyền thống, việc sử dụng bằng máy siêu âm sở hữu nhiều ưu điểm vượt trội hơn hẳn mà chi phí lấy cao răng cũng tương đối “mềm”, phù hợp với nhiều đối tượng khách hàng khác nhau trên thị trường.
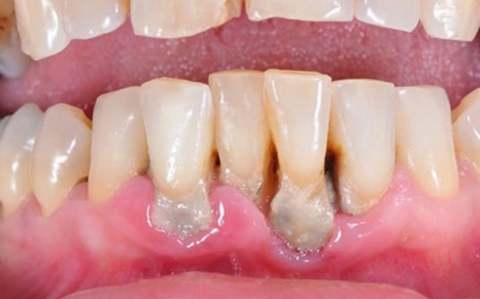
1 Cao răng được hiểu là gì?
Cao răng là các mảng bám dính chặt trên bề mặt của răng, được tạo nên chủ yếu từ những mẩu vụn thực phẩm còn sót lại trên răng sau khi ăn kết hợp cùng với xác vi khuẩn.
Ban đầu các mảng bám thường khá mềm, dần dần tích tụ lâu trong môi trường miệng có nhiều nước bọt thì sẽ ngày càng trở nên cứng dần và gọi là cao răng hay là vôi răng. Thông thường, cao răng thường bám ở kẽ răng, cổ răng, dưới nướu răng và khiến cho răng bị đục màu.

Lấy cao răng là kỹ thuật đơn giản trong nha khoa và được đánh giá là hoàn toàn không gây cảm giác đau đớn gì, không làm chảy máu cũng như không gây tác hại nguy hiểm nào cho răng và nướu, lợi. Tuy nhiên, bạn cần tìm kiểu nha khoa uy tín, có sử dụng máy siêu âm không đau để thực hiện bởi trong quá trình thực hiện sẽ tác động trực tiếp đến lưỡi và các vị trí khác trong khoang miệng. Từ đó mới đảm bảo việc lấy cao răng diễn ra an toàn, nhanh chóng và hiệu quả nhất.
2 Lợi ích của việc lấy cao răng định kỳ tại phòng khám nha khoa
Theo khuyến cáo của các bác sĩ, để răng miệng luôn được chắc khỏe, thì việc vệ sinh răng miệng rất quan trọng, trong đó có việc lấy cao răng định kỳ. Bạn nên được thực hiện mỗi năm từ 1 – 2 lần tại phòng khám nha khoa uy tín. Điều này sẽ đem lại nhiều lợi ích cho bạn như:
2.1 Giảm thiểu nguy cơ mắc các bệnh lý về răng miệng, sức khỏe cơ thể
Vi khuẩn trong cao răng là nguyên nhân hàng đầu khiến bạn mắc các bệnh lý về răng miệng như: Mòn men răng, sâu răng, viêm nha chu, tụt lợi,… Vậy nên bác sĩ chỉ định mỗi người nên lấy cao răng định kỳ để phòng tránh vi khuẩn xâm nhập, phát triển và gây ra các bệnh xấu.
2.2 Loại bỏ hơi thở có mùi hôi một cách hiệu quả nhất
Cao răng tích tụ dày đặc lâu ngày gây nhiều khó khăn cho việc chăm sóc, vệ sinh răng miệng mỗi ngày. Lúc này vi khuẩn sẽ có cơ hội phát triển, gây ra mùi hôi khó chịu trong khoang miệng. Do đó, việc loại bỏ mảng bám cao răng sẽ giải quyết được tình trạng hôi miệng, giúp hơi thở của bạn trở nên thơm tho hơn.

2.3 Răng trở nên sạch bóng, mang lại tính thẩm mỹ hơn
Có thể thấy, màu sắc của cao răng thường sậm hơn so với màu răng thật, điều này khiến cho hàm răng của bạn trông bị xỉn màu và kém đẹp hơn khi cười. Loại bỏ các mảng bám cao răng sẽ trả lại cho bạn một hàm răng sạch bóng, mang lại tính thẩm mỹ hơn.
2.4 Ngăn ngừa các bệnh lý do cao răng gây ra
Theo các bác sĩ tại Nha khoa Hanseoul, lấy cao răng định kỳ còn giúp ngăn ngừa nguy cơ mắc các bệnh lý về răng do vi khuẩn cao răng gây ra như: Bệnh tim mạch, viêm họng hoặc viêm amidan,…
2.5 Lấy cao răng định kỳ có thể bảo vệ răng và xương hàm khỏe mạnh hơn
Vi khuẩn cao răng tích tụ nhiều trong khoang miệng sẽ là cơ hội để xâm nhập sâu vào bên trong và gây hư hỏng tổ chức răng và nướu, thậm chí là các dây thần kinh. Từ đó dẫn đến tiêu xương hàm làm cho răng bị lung lay, gãy rụng. Nguy hiểm hơn có thể xảy dẫn đến tình trạng mất răng hàng loạt.
Chính vì vậy, để bảo vệ sức khỏe răng và xương hàm một cách an toàn, tốt nhất, bạn cần phải lấy cao răng kịp thời, định kỳ để phòng ngừa vi khuẩn tích tụ gây hại cho răng miệng của bạn.

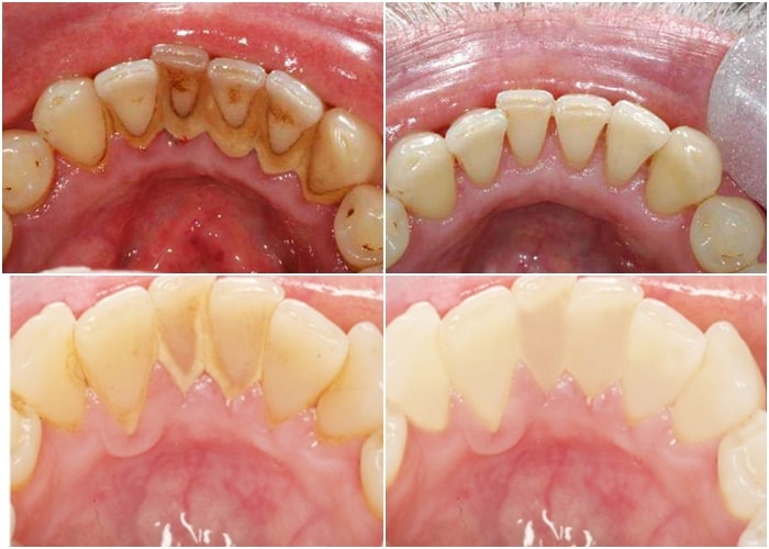
3 Ưu điểm của việc lấy cao răng bằng máy siêu âm thông minh
Nếu như các phương pháp lấy cao răng truyền thống sử dụng chủ yếu lực tác động từ bàn tay của các bác sĩ, thì khi lấy cao răng bằng máy siêu âm sẽ sử dụng phần đầu máy dạng ống, chuyển động hình elip, nhẹ nhàng giúp điều khiển hướng đi của bước sóng và có thể len sâu xuống dưới phần nướu để tấn công mảng bám của vi khuẩn tại đây một cách tối đa, hiệu quả nhất.
Lấy cao răng bằng máy siêu âm không đau đang là phương pháp được ưa chuộng hàng đầu hiện nay tại các nha khoa, bởi:
- Bảo đảm an toàn, không đau, không sưng, không chảy máu: Do bác sĩ sử dụng lực rung, tác động từ đầu máy để bóc tách tất cả các mảng bám cao răng ra khỏi phần cổ răng, thân răng nên phương pháp vô cùng nhẹ nhàng, êm ái, nhanh chóng, an toàn, không gây ra bất kỳ đau đớn hay ê buốt nào cho bệnh nhân trong quá trình thực hiện.
- Giúp loại bỏ cao răng tối đa, hạn chế còn sót lại: Chức năng cảm ứng điện từ của máy siêu âm hiện đại, thông minh giúp nhận biết chính xác tất cả các dạng cao răng, sau đó tạo ra những tác động để làm tan rã chúng, hạn chế còn sót lại trên răng.
- Giúp ngăn ngừa cao răng quay trở lại sau khi thực hiện: Bước sóng siêu âm của máy có tác dụng lấp đầy các lỗ nhỏ li ti được sản sinh ra bởi lớp cao răng bám chắc trên răng trước đó. Việc lấp đầy này làm cho những mảnh vụn thức ăn dư thừa khó có thể quay trở lại bám vào răng. Việc chăm sóc, vệ sinh răng miệng hàng ngày cũng trở nên dễ dàng hơn nhiều,
- Với những ưu điểm nổi bật như trên, lấy cao răng bằng máy siêu âm thông minh đã dần thay thế phương pháp sử dụng các loại dụng cụ cầm tay truyền thống trước đây và được hầu hết các bác sĩ cũng như các nha khoa lớn áp dụng.
4 Chi phí lấy cao răng bằng máy siêu âm thông minh giá bao nhiêu tiền?
Với những ưu điểm nêu trên thì chi phí lấy cao răng bằng máy siêu âm thông minh hết bao nhiêu tiền cũng là vấn đề mà rất nhiều khách hàng cùng quan tâm và thắc mắc.
Trên thực tế, giá lấy cao răng bằng máy siêu âm có mức khá rẻ. Tại Nha khoa Hanseoul, chi phí khi sử dụng dịch vụ này là 200.000 vnđ. Mức giá được xem là “mềm” so với những lợi ích mà nó mang lại cũng như phù hợp với nhiều đối tượng khách hàng. Hãy liên hệ với chúng tôi để sở hữu một hàm răng trắng sáng, loại bỏ hết các mảng bám trên răng nhé!
5 Nha khoa Hanseoul – Địa chỉ lấy cao răng bằng máy siêu âm thông minh uy tín, chất lượng
Hiện nay, Nha khoa Hanseoul là một địa chỉ uy tín với hơn 15 năm kinh nghiệm, được đông đảo khách hàng gần xa tin tưởng lựa chọn sử dụng dịch vụ, đặc biệt là lấy cao răng bằng công nghệ hiện đại.
Tại Nha khoa Hanseoul áp dụng phương pháp lấy cao răng bằng máy siêu âm hiện đại, đem lại hiệu quả vượt trội chỉ sau 1 lần điều trị bởi các ưu điểm như:
- Loại bỏ triệt để mảng bám sâu trong răng
- Đảm bảo hoàn toàn không xâm lấn đến cấu trúc răng và nướu, tăng cường sức khỏe cho răng lợi.
- Quá trình lấy cao răng diễn ra trong thời gian nhanh chóng. Đảm bảo an toàn và không đau, không sưng, không chảy máu, không ê buốt.
- Hạn chế cao răng tái bám lại trong thời gian dài

Phòng khám nha khoa quốc tế Hanseoul
Toàn bộ quá trình lấy cao răng tại Nha khoa Hanseoul đều được thực hiện bởi đội ngũ bác sĩ có chuyên môn sâu, dày dặn kinh nghiệm, thực hiện thành công hàng ngàn ca lấy cao răng bằng máy siêu âm thông minh.
Bên cạnh đó, việc chú trọng, đầu tư hỗ trợ của máy móc, thiết bị hiện đại, đặc biệt là lấy cao răng bằng máy siêu âm cùng với quy trình điều trị đạt chuẩn, vô trùng tuyệt đối sẽ giúp cho khách hàng vô cùng yên tâm và hài lòng khi đến Nha khoa Hanseoul lấy cao răng.
Trên đây là bài viết về chi phí lấy cao răng bằng máy siêu âm thông minh. Để được hỗ trợ và tư vấn tận tình về các vấn đề răng miệng, quý khách hàng vui lòng liên hệ tổng đài 0939.090.581 hoặc đến trực tiếp Nha khoa Hanseoul để được các bác sĩ chuyên môn thăm khám và tư vấn hoàn toàn không mất phí bạn nhé!





