- Khi nào cần niềng răng và dấu hiệu nhận biết
- Răng khấp khểnh, chen chúc
- Răng hô (vẩu)
- Răng móm (khớp cắn ngược)
- Răng thưa
- Khớp cắn sai lệch
- Các phương pháp niềng răng phổ biến hiện nay
- Niềng răng mắc cài kim loại
- Niềng răng mắc cài sứ
- Niềng răng mắc cài tự buộc
- Niềng răng trong suốt
- Nha khoa Hanseoul - Địa chỉ niềng răng uy tín tại Đống Đa
- Vì sao Hanseoul là địa chỉ niềng răng uy tín tại Đống Đa?
- Bác sĩ chỉnh nha chuyên môn cao
- Công nghệ và trang thiết bị hiện đại
- Phác đồ cá nhân hóa cho từng khách hàng
- Chi phí minh bạch – hỗ trợ trả góp
- Quy trình niềng răng chuẩn y khoa tại Nha khoa Hanseoul
- Những lưu ý quan trọng khi niềng răng để đạt hiệu quả tốt
- Cảm nhận thực tế của khách hàng niềng răng tại Hanseoul
Niềng răng là phương pháp chỉnh nha hiện đại giúp khắc phục tình trạng răng lệch lạc, hô, móm, thưa mang lại nụ cười đều đẹp và khớp cắn chuẩn. Là một trong những địa chỉ niềng răng uy tín tại Đống Đa, nha khoa Hanseoul với đội ngũ bác sĩ chỉnh nha giàu kinh nghiệm, công nghệ hiện đại và quy trình điều trị chuẩn y khoa đang là lựa chọn của nhiều khách hàng tại Hà Nội khi muốn cải thiện nụ cười và sức khỏe răng miệng.
Khi nào cần niềng răng và dấu hiệu nhận biết
Niềng răng không chỉ mang lại giá trị thẩm mỹ mà còn giúp cải thiện chức năng ăn nhai và phòng tránh nhiều bệnh lý răng miệng. Bạn nên cân nhắc niềng răng khi gặp những tình trạng sau:
Răng khấp khểnh, chen chúc
Đây là tình trạng các răng mọc lệch, không thẳng hàng do thiếu khoảng trống trên cung hàm. Răng chen chúc khiến việc vệ sinh khó khăn, dễ tích tụ mảng bám và gây sâu răng, viêm lợi.
Răng hô (vẩu)
Răng hàm trên nhô ra phía trước nhiều so với hàm dưới. Tình trạng này không chỉ ảnh hưởng đến thẩm mỹ khuôn mặt mà còn khiến khớp cắn bị sai lệch.
Răng móm (khớp cắn ngược)
Hàm dưới đưa ra trước nhiều hơn hàm trên, khiến gương mặt mất cân đối và việc ăn nhai gặp khó khăn.
Răng thưa
Khoảng cách giữa các răng quá lớn gây mất thẩm mỹ và dễ mắc thức ăn, tạo điều kiện cho vi khuẩn phát triển.
Khớp cắn sai lệch
Một số dạng sai khớp cắn phổ biến gồm:
- Khớp cắn sâu
- Khớp cắn hở
- Khớp cắn chéo

Nếu không được điều trị sớm, các tình trạng này có thể gây đau khớp thái dương hàm, mòn răng và ảnh hưởng đến chức năng ăn nhai.
Các phương pháp niềng răng phổ biến hiện nay
Hiện nay, có nhiều phương pháp chỉnh nha khác nhau để phù hợp với nhu cầu và điều kiện của từng khách hàng.
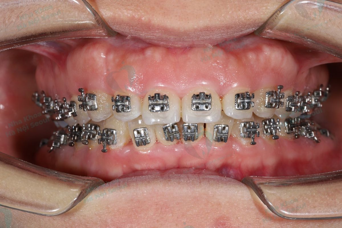
Niềng răng mắc cài kim loại
Đây là phương pháp chỉnh nha truyền thống và phổ biến nhất. Hệ thống mắc cài và dây cung giúp tạo lực kéo ổn định để dịch chuyển răng về đúng vị trí.
Ưu điểm:
- Chi phí hợp lý
- Hiệu quả cao với nhiều tình trạng răng phức tạp
- Thời gian điều trị ổn định

Niềng răng mắc cài sứ
Mắc cài được làm từ vật liệu sứ có màu gần giống với răng thật nên mang tính thẩm mỹ cao hơn so với mắc cài kim loại.
Ưu điểm:
- Ít lộ mắc cài
- Phù hợp với người làm việc trong môi trường giao tiếp nhiều
Niềng răng mắc cài tự buộc
Phương pháp này sử dụng hệ thống mắc cài có nắp trượt tự động giúp giữ dây cung, giảm ma sát và giúp răng dịch chuyển ổn định hơn.
Ưu điểm:
- Ít đau hơn
- Giảm số lần tái khám
- Quá trình chỉnh nha diễn ra hiệu quả
Niềng răng trong suốt
Sử dụng các khay niềng trong suốt được thiết kế riêng cho từng khách hàng. Phương pháp này gần như không lộ khi đeo và có thể tháo lắp linh hoạt.
Ưu điểm:
- Tính thẩm mỹ cao
- Thuận tiện khi ăn uống
- Dễ dàng vệ sinh răng miệng

Nha khoa Hanseoul - Địa chỉ niềng răng uy tín tại Đống Đa
Nếu bạn đang tìm kiếm địa chỉ niềng răng uy tín tại Đống Đa, Nha khoa Hanseoul là lựa chọn được nhiều khách hàng tin tưởng.

Tọa lạc tại 95 Vũ Ngọc Phan, Phường Láng, Hà Nội, với vị trí thuận tiện ngay trung tâm quận Đống Đa, khách hàng có thể dễ dàng di chuyển đến thăm khám và điều trị.
Tại Hanseoul, mỗi ca niềng răng đều được thực hiện theo phác đồ cá nhân hóa, đảm bảo phù hợp với cấu trúc răng hàm mặt của từng khách hàng. Đội ngũ bác sĩ sẽ theo dõi sát sao trong suốt quá trình chỉnh nha để đạt được kết quả tối ưu cả về thẩm mỹ và chức năng.
Vì sao Hanseoul là địa chỉ niềng răng uy tín tại Đống Đa?
Bác sĩ chỉnh nha chuyên môn cao
Đội ngũ bác sĩ tại Hanseoul tại Đống Đa có nhiều năm kinh nghiệm trong lĩnh vực chỉnh nha, từng điều trị thành công nhiều ca răng lệch lạc từ đơn giản đến phức tạp.

Bác sĩ luôn chú trọng:
- Chẩn đoán chính xác
- Lên kế hoạch điều trị chi tiết
- Theo dõi sát sao quá trình dịch chuyển răng
Công nghệ và trang thiết bị hiện đại
Hanseoul đầu tư nhiều thiết bị nha khoa tiên tiến giúp hỗ trợ quá trình chẩn đoán và điều trị chính xác hơn:
- Máy chụp CT Cone Beam 3D
- Máy scan răng kỹ thuật số
- Phần mềm mô phỏng kết quả niềng răng

Nhờ đó, bác sĩ có thể phân tích cấu trúc xương hàm và dự đoán trước kết quả điều trị.
Phác đồ cá nhân hóa cho từng khách hàng
Không có một phác đồ niềng răng chung cho tất cả mọi người. Mỗi khách hàng tại Bệnh viện Răng Hàm Mặt Việt Anh Đức - Nha khoa Hanseoul đều được:
- Phân tích cấu trúc răng và xương hàm
- Lập kế hoạch chỉnh nha riêng
- Theo dõi tiến trình điều trị định kỳ
_04h30.jpg)
Điều này giúp đảm bảo hiệu quả tối ưu và rút ngắn thời gian niềng răng.
Chi phí minh bạch – hỗ trợ trả góp
Chi phí niềng răng tại Hanseoul luôn được tư vấn rõ ràng ngay từ đầu. Khách hàng được:
- Báo giá cụ thể trước khi điều trị
- Không phát sinh chi phí ngoài kế hoạch
- Hỗ trợ trả góp linh hoạt để giảm áp lực tài chính
Quy trình niềng răng chuẩn y khoa tại Nha khoa Hanseoul
Quy trình niềng răng tại Hanseoul Đống Đa được thực hiện theo các bước chuẩn y khoa nhằm đảm bảo an toàn và hiệu quả.
Bước 1: Thăm khám và chụp phim
Bác sĩ tiến hành kiểm tra tổng quát răng miệng, chụp phim CT và scan răng để đánh giá chính xác tình trạng răng.
Bước 2: Lên phác đồ điều trị
Dựa trên kết quả phân tích, bác sĩ sẽ xây dựng kế hoạch chỉnh nha phù hợp cho từng khách hàng.
Bước 3: Gắn mắc cài hoặc khay niềng
Khách hàng được gắn mắc cài hoặc nhận bộ khay niềng trong suốt theo phác đồ điều trị.
Bước 4: Tái khám định kỳ
Trong suốt quá trình niềng, khách hàng cần tái khám định kỳ để bác sĩ điều chỉnh lực kéo và theo dõi sự dịch chuyển của răng.
Bước 5: Tháo niềng và đeo hàm duy trì
Sau khi đạt kết quả mong muốn, bác sĩ tháo niềng và hướng dẫn khách hàng sử dụng hàm duy trì để giữ răng ổn định.

Những lưu ý quan trọng khi niềng răng để đạt hiệu quả tốt
Sau khi chọn được địa chỉ niềng răng uy tín tại Đống Đa, để quá trình niềng răng đạt kết quả tốt nhất, khách hàng cần lưu ý một số vấn đề sau:
- Vệ sinh răng miệng đúng cách: Sử dụng bàn chải chuyên dụng, chỉ nha khoa và nước súc miệng để loại bỏ mảng bám xung quanh mắc cài.
- Hạn chế đồ ăn cứng và dính: Các loại thực phẩm quá cứng hoặc dính có thể làm bung mắc cài hoặc ảnh hưởng đến quá trình chỉnh nha.
- Tái khám đúng lịch hẹn: Việc tái khám định kỳ giúp bác sĩ kiểm tra tiến độ điều trị và điều chỉnh lực kéo phù hợp.
- Tuân thủ hướng dẫn của bác sĩ: Đeo khay niềng đúng thời gian, sử dụng hàm duy trì theo chỉ định để đảm bảo răng ổn định sau khi tháo niềng.
Cảm nhận thực tế của khách hàng niềng răng tại Hanseoul
Nhiều khách hàng sau khi hoàn thành quá trình niềng răng tại Hanseoul đều hài lòng với kết quả đạt được.

_04h31.jpg)
Nếu bạn đang gặp tình trạng răng lệch lạc, hô, móm hoặc răng thưa, hãy đến Bệnh viện Răng Hàm Mặt Việt ANH Đức - Nha khoa Hanseoul để được bác sĩ thăm khám và tư vấn lộ trình niềng răng phù hợp. Một nụ cười đều đẹp không chỉ giúp bạn tự tin hơn mà còn cải thiện sức khỏe răng miệng lâu dài.
Nha khoa Hanseoul – Địa chỉ niềng răng uy tín tại Đống Đa
Địa chỉ: 95 Vũ Ngọc Phan, Phường Láng, Hà Nội
Hotline: 0932 303 577


_09h03.jpg)


