- 1 Nhổ răng khôn là gì? Tại sao nên nhổ răng khôn?
- 2 Một số tác hại mà răng khôn gây ra
- 3 Các phương pháp nhổ răng khôn tại quận Thanh trì
- 3.1 Phương pháp nhổ răng khôn truyền thống, nhanh chóng
- 3.2 Phương pháp sóng siêu âm Piezotome – Không đau, không biến chứng
- 4 Nhổ răng khôn ở đâu không đau tại quận Thanh Trì
- 5 Bí quyết nhổ răng không đau tại Nha khoa HanSeoul
- 5.1 Kỹ thuật nhổ và chuyên môn cao của các bác sĩ
- 5.2 Trang thiết bị tiên tiến, vô khuẩn trong nhổ răng
- 5.3 Luôn đồng hành cùng khách hàng
Nhổ răng khôn có lẽ đã trở thành nỗi sợ, ám ảnh của rất nhiều người. Việc nhổ một chiếc răng hàm bình thường cũng có thể gây ra nhiều vấn đề, thì với chiếc răng khôn mọc tận bên trong cùng ắt hẳn sẽ khiến bạn hoang mang nhiều thứ. Vì vậy, điều tất cả mọi người đều đặt ra câu hỏi “Nhổ răng khôn ở đâu không đau tại quận Thanh Trì”. Câu trả lời sẽ có ngay dưới bài viết này, các bạn cùng theo dõi nhé!
1 Nhổ răng khôn là gì? Tại sao nên nhổ răng khôn?
Răng khôn là loại răng cuối cùng mọc lên khi các răng hàm đã phát triển đủ hết. Răng khôn thường có xu hướng mọc lên theo nhiều hướng bất thường như: mọc lệch gần, lệch phía sau, mọc ngang, kẹt thẳng đứng,… Điều này không chỉ gây ảnh hưởng đến những chiếc răng mọc xung quanh mà còn có còn ảnh hưởng nghiêm trọng đến sức khỏe của bạn.

Lý do nên nhổ răng khôn
Hầu hết những ai bị mọc răng khôn đều xem nó như là một chiếc răng “phiền toái”, bởi nó không như cái tên gọi của nó mà ngược lại nó còn tiềm ẩn nhiều bệnh lý về răng miệng như: nguy cơ sâu răng, viêm nhiễm, thậm chí nặng hơn là tác động xấu đến xương hàm.
Do đó, khi thăm khám tại các nha khoa, các bác sĩ sẽ xác định chính xác tình trạng răng khôn của bệnh nhân, liệu nó có nguy hiểm hay không. Đa số các trường hợp đều được các bác sĩ chỉ định nhổ răng khôn để giúp loại bỏ triệt để những tác hại mà nó gây ra.
2 Một số tác hại mà răng khôn gây ra
Nếu chủ quan, không điều trị sớm thì răng khôn sẽ gây ra rất nhiều phiền toái như: đau khi ăn uống, sưng viêm thậm chí còn để lại các biến chứng sau này.
Như đã chia sẻ ở trên, răng khôn mọc lệch lạc, mọc chen chúc với những chiếc răng hàm khác gây ra rất nhiều nguy hiểm. Một số tác hại mà loại răng này gây ra phải kể đến như:
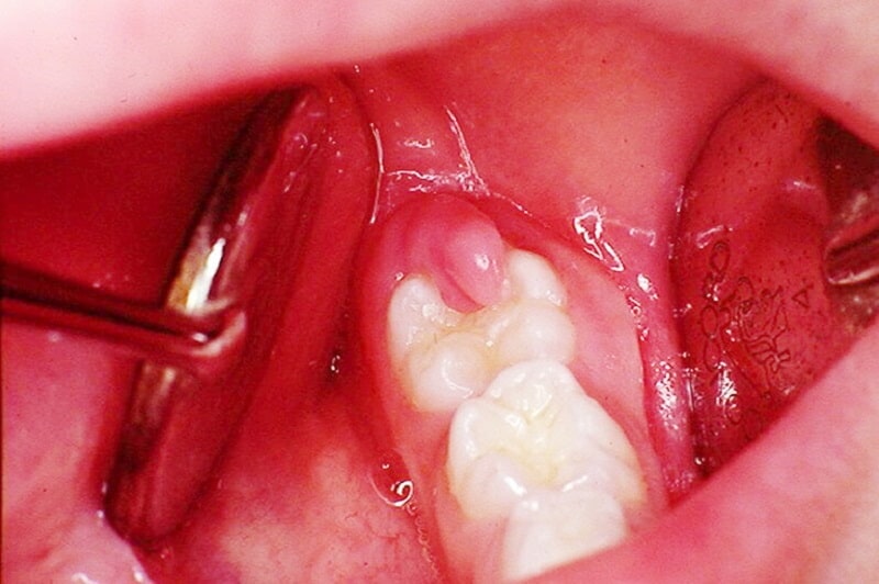
– Gây mắc thức ăn vào giữa răng khôn và những răng bên cạnh khi ăn nhai. Đấy cũng chính là lý do gây nên các bệnh về răng miệng như: sâu răng, nướu hàm bị lở loét, viêm nha chu, …

Hình ảnh nướu răng bị sưng do răng khôn mọc ngầm
– Răng khôn mọc không thẳng sẽ khiến cho hàm răng bị xô lệch, xương tiêu dần. Điều này gây mất thẩm mỹ cho hàm răng cũng như gương mặt của bạn.
– Có nguy cơ bị viêm lợi trùm răng khôn hoặc khiến răng bạn dễ bị nhiễm trùng lợi hay viêm tấy quanh răng.
– Trường hợp mọc răng khôn sẽ dễ dàng gặp những biến chứng liên quan đến viêm mô tế bào, ảnh hưởng đến sức khỏe như: bị đau nhức, viêm lợi, sưng tấy thậm chí là nguy cơ bị cứng hàm cao.
– Mọc răng khôn có thể gây ra u nguyên bào men và nhiều người phải điều trị bằng cách cắt xương hàm.
3 Các phương pháp nhổ răng khôn tại quận Thanh trì
Hiện nay, nhổ răng khôn có thể được các nha khoa thực hiện bằng phương pháp là: Phương pháp truyền thống và phương pháp sóng siêu âm Piezotome. Tùy vào tình trạng răng cũng như điều kiện tài chính mà bạn lựa chọn phương pháp phù hợp nhất.
3.1 Phương pháp nhổ răng khôn truyền thống, nhanh chóng
Với phương pháp truyền thống này, bác sĩ sẽ dùng dao rạch để mở phần nướu, giúp lộ ra phần răng khôn của bệnh nhân. Tiếp theo, dùng lực sinh ra từ kìm và bẩy để có thể lấy phần răng khôn ra khỏi hàm. Sau khi đã hoàn thành, vết mổ sẽ được khâu lại và điều dưỡng sẽ vệ sinh khoang miệng sạch sẽ cho bệnh nhân.

Phương pháp nhổ truyền thống
.Ưu điểm của phương pháp nhổ truyền thống này là tiết kiệm chi phí. Tuy nhiên sẽ dễ gây ra các sang chấn như chảy máu, sưng lợi, đau kéo dài. Vì vậy, những ai răng khôn mọc lệch thì nên cân nhắc nhé!
3.2 Phương pháp sóng siêu âm Piezotome – Không đau, không biến chứng
Phương pháp này sử dụng biến điệu của tần số sóng siêu âm, mũi khoan sẽ mỏng và mảnh sẽ giúp tác động trực tiếp lên phần mô cứng vùng nhổ răng khôn. Từ đó, giúp làm đứt dây chằng chân răng và đưa phần nướu ra khỏi phần chân răng.
Với phương pháp này, răng khôn sẽ được gắp ra khỏi hàm và sóng siêu âm, nhanh chóng khoá mạch máu an toàn để hạn chế được khả năng sưng viêm cho bệnh nhân.
Được đánh giá là phương pháp nhổ răng khôn được nhiều khách hàng ưu tiên lựa chọn bởi nó không gây đau nhức, an toàn, không gây biến chứng. Đặc biệt, bệnh nhân có thể nhổ nhiều răng khôn một lúc và thời gian nhổ và thời gian lành vết thương cũng sẽ nhanh hơn nhiều so với phương pháp truyền thống.
4 Nhổ răng khôn ở đâu không đau tại quận Thanh Trì
Quận Thanh Trì, Hà Nội là quận có mật độ dân sinh sống khá cao, nhu cầu tìm đến nha khoa ngày càng cao. Vì vậy, nhổ răng khôn ở đâu không đau tại quận Thanh Trì là một bài toán khó với tất cả các bệnh nhân.
Có thể thấy, yếu tố quyết định phần lớn đến việc nhổ răng khôn có an toàn, không đau, không gây biến chứng, chính là ở việc khách hàng lựa chọn địa chỉ và bác sĩ thực hiện. Bên cạnh đó, phòng khám khách hàng lựa chọn phải đáp ứng đầy đủ các trang thiết bị hỗ trợ, phòng khám vô trùng, dụng cụ vô trùng để tránh trường hợp viêm nhiễm và biến chứng không đáng có sau này.
Nếu bạn vẫn chưa tìm được nơi nào để nhổ răng khôn không đau tại quận Thanh Trì, Hà Nội thì Nha khoa HanSeoul chính là điểm đến tuyệt vời nhất dành cho bạn.

Bệnh nhân nhổ răng khôn tại nha khoa Hanseoul
Nha khoa HanSeoul là địa chỉ nhổ răng uy tín, chất lượng đã và đang giúp cho hàng nghìn khách hàng loại bỏ được răng khôn không mong muốn của mình. Với sự khéo léo và nhiều năm kinh nghiệm hoạt động trong nghề của mình, các bác sĩ đã ứng dụng công nghệ hiện đại nhất trên thế giới để thực hiện nhổ răng với tiêu chí không đau cho mọi khách hàng.
Từ Thanh Trì, bạn dễ dàng di chuyển đến một trong hai cơ sở của Nha khoa HanSeoul, cụ thể:
- Cơ sở 1: 93 & 95 Vũ Ngọc Phan, Láng Hạ, Đống Đa, Hà Nội.
- Cơ sở 2: 38 Nguyễn Văn lộc, Làng Việt Kiều Châu Âu, Phường Mộ Lao, Quận Hà Đông, Hà Nội
- Số hotline: 0939 090 581
5 Bí quyết nhổ răng không đau tại Nha khoa HanSeoul
5.1 Kỹ thuật nhổ và chuyên môn cao của các bác sĩ
Với chuyên môn tay nghề cao, bác sĩ tại Nha khoa HanSeoul sẽ thực hiện gây tê cho bệnh nhân một cách “điêu luyện” giúp gây tê cục bộ tại vị trí nhổ răng khôn. Khi đó, trong suốt quá trình phẫu thuật, bác sĩ nhổ răng khôn nhanh chóng, dứt khoát, bệnh nhân sẽ không còn thấy bất kỳ cảm giác đau nhức nào.
Đến nay, đội ngũ bác sĩ Nha khoa HanSeoul đã thực hiện thành công hàng nghìn ca nhổ răng khôn ở mức độ dễ đến khó, có thể 1 răng, 2 răng hoặc thậm chí là nhiều răng khôn cùng lúc mà vẫn đảm bảo tiêu chí an toàn về sức khỏe cho bệnh nhân.
5.2 Trang thiết bị tiên tiến, vô khuẩn trong nhổ răng
Các thiết bị hiện đại nhất trên thế giới trong nhổ răng đều có tại Nha khoa HanSeoul, giúp bác sĩ nhổ răng khôn một cách nhanh chóng, tránh sang chấn cũng như mau lành thương.
Đồng thời, Nha khoa HanSeoul luôn chú trọng tuyệt đối đến điều kiện vô khuẩn trong nha khoa. Trang thiết bị, dụng cụ phải đảm bảo vô khuẩn với yêu cầu khắt khe nhất. Bên cạnh đó, một phòng phẫu thuật cần đầy đủ ánh sáng để đạt được độ chính xác và đảm bảo nhổ răng không đau, an toàn.

Bác sĩ Hà nha khoa Hanseoul
5.3 Luôn đồng hành cùng khách hàng
“Nhổ răng là một điều đáng sợ và rất nguy hiểm”, đó là tâm lý của hầu hết tất cả số khách hàng khi mọc răng khôn. Ngoài ra, nhiều người còn sợ nếu không được nhổ một cách an toàn thì nó sẽ ảnh hưởng dây thần kinh, má bị hóp hay gây ra biến chứng,…
Chính tâm lý lo sợ này sẽ khiến khách hàng luôn trong trạng thái bất an và không dám đi nhổ răng khôn, điều này gây ra khó khăn trong quá trình ăn uống cũng như trong sinh hoạt.
Vậy nên, tại Nha khoa HanSeoul, trước khi phẫu thuật, thực hiện nhổ răng, bác sĩ sẽ tư vấn phương pháp nhổ răng khôn phù hợp cũng như giải thích những vấn đề lo lắng của khách hàng. Điều này giúp khách hàng tin tưởng và an tâm khi thực hiện nhổ răng tại Nha khoa HanSeoul.
Bên cạnh đó, để khách hàng thư giãn, thoải mái hơn trong quá trình nhổ răng khôn, bác sĩ và trợ tá sẽ luôn chăm sóc, động viên khách hàng.
Hy vọng rằng bài viết trên, sẽ giải đáp được thắc mắc “nhổ răng khôn uy tín ở đâu không đau tại quận Thanh Trì”. Nha khoa HanSeoul tự hào khi trở thành người bạn đồng hành cùng khách hàng, đảm bảo an toàn, hiệu quả trong các dịch vụ về răng miệng.





