Trám răng thưa là một trong những phương pháp được nhiều người lựa chọn để mong muốn có một hàm răng đẹp. Lý do đơn giản là bởi tính tiện lợi, không phẫu thuật và đặc biệt là chi phí thấp. Mặc dù đây là một kỹ thuật nha khoa đơn giản, song nếu không được thực hiện đúng cách, bạn cũng sẽ có nguy cơ gặp tình trạng miếng trám bị mẻ. Đấy là lý do bạn nên tìm địa chỉ nha khoa có quy trình trám răng thưa chuẩn quốc tế.
1 Khái niệm trám răng thưa?
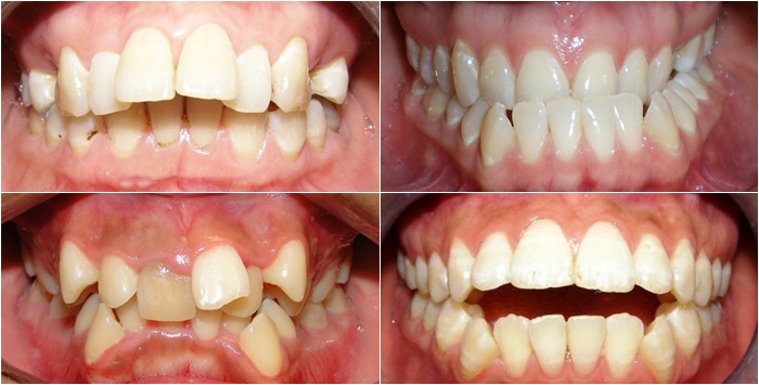
Trám răng thưa (trám răng kẽ) là phương pháp kỹ thuật nha khoa khá đơn giản, bằng cách sử dụng các loại vật liệu có màu sắc và tính chất gần giống với răng thật. Từ đó khắc phục được tình trạng răng thưa và mang lại tính thẩm mỹ cao cho người điều trị.
Trên thị trường hiện nay có khá nhiều loại vật liệu dùng để trám răng thưa như: Amalgam, Composite, GIC… Trong đó, vật liệu Composite là loại vật liệu được khách hàng ưa chuộng và lựa chọn nhiều nhất bởi chúng có màu sắc tự nhiên cũng như chi phí thực hiện khá thấp.
Bạn có thể thực hiện trám răng thưa nếu như gặp phải các trường hợp sau:
- Răng bị khấp khểnh
- Răng bị lệch lạc

- Răng bị ố vàng, xỉn màu
- Vết nứt trên răng do va chạm
- Răng bị hỏng hoặc mài bị mòn
- Khoảng trống giữa các răng xa nhau, có kẽ hở
Được biết, quá trình trám răng thưa từ khâu chuẩn bị răng cho nhựa composite cho đến khi hoàn thành sẽ mất khoảng 30 phút đến 60 phút cho mỗi răng.
2 Lợi ích của việc trám răng thưa mang lại
Trám răng thưa là quá trình bác sĩ tại nha khoa sẽ đắp vật liệu trám lên trên bề mặt phần răng răng cần trám để đóng kín khoảng hở giữa chúng. Điều này mang lại nhiều lợi ích tối ưu như:
- Phục hồi thẩm mỹ cho hàm răng: Sau khi thực hiện trám răng thưa, các răng sẽ sát khít vào nhau, giúp bệnh nhân tự tin, thoải mái hơn khi giao tiếp. Vì được lựa chọn vật liệu trám nên miếng trám có màu sắc sẽ tương đồng với răng thật của bệnh nhân, gần như không thể nhận biết bằng mắt thường, nếu không nhìn kỹ.

- Bảo vệ và ngăn ngừa các bệnh lý răng miệng: Nếu không được đóng kín các kẽ hở, vi khuẩn và các vụn thức ăn rất dễ len lỏi vào bên trong các kẽ răng làm tăng nguy cơ sâu răng, viêm nướu hay nha chu,…
- Quá trình thực hiện nhanh chóng: Tại một nha khoa chuẩn quốc tế, thời gian trám kẽ răng thưa bằng vật liệu Composite chỉ mất khoảng 15 – 20 phút cho mỗi vị trí, thông thường hoàn thành chỉ trong vòng một lần hẹn. Còn đối với các trường hợp ở mức độ khó hơn thì có thể sẽ mất thêm nhiều thời gian.
- Bảo tồn răng thật tốt nhất: Kỹ thuật trám răng thưa gần như không xâm lấn đến cấu trúc của phần răng thật vì không cần mài chỉnh răng. Tuy nhiên, bạn cần phải tìm được nha khoa uy tín, chất lượng nhất để điều trị nhé.
3 Quy trình trám răng thưa tại nha khoa chuẩn quốc tế HanSeoul
Để đảm bảo một ca trám răng thưa hiệu quả nhất, quy trình thực hiện các bước cũng phải chuẩn, chính xác.
Dưới đây là quy trình trám răng thưa chuẩn quốc tế tại Nha khoa Quốc tế Hà Nội HanSeoul, bạn có thể tham khảo:
- Bước 1: Tới nha khoa thăm khám và nhận tư vấn từ bác sĩ
Khách hàng đến trám răng thưa tại Nha khoa HanSeoul sẽ được các bác sĩ thăm khám kỹ lưỡng thông qua các thiết bị hiện đại, từ đó xác định được trường hợp nào có thể trám và những trường hợp nào không thể thực hiện.
Sau khi thăm khám xong, bác sĩ sẽ tư vấn đầy đủ, chi tiết hơn cho bệnh nhân về các loại vật liệu trám răng thưa. Dựa trên tư vấn, quyền quyết định chọn vật liệu trám răng loại nào sẽ ở phía khách hàng.
- Bước 2: Tùy từng trường hợp, tình trạng răng cụ thể, bác sĩ có thể dùng thuốc tiêm gây tê cục bộ lên vùng răng, khiến cho bệnh nhân không còn cảm giác đau mà ngược lại còn có giác thoải mái nhất trong quá trình trám răng thưa.
- Bước 3: Tạo hình vật liệu trám cho phần răng thưa: Trước khi trám răng thưa, bề mặt răng sẽ được các bác sĩ đánh nhám và phủ nhẹ một lớp dung dịch dưỡng để chất liệu gắn kết dễ dàng bám dính vào răng hơn.
- Bước 4: Sử dụng vật liệu trám răng phù hợp: có cấu trúc ổn định, khả năng chịu sự mài mòn, không độc hại, có sức chịu đựng cao, không gây kích ứng đối với khu vực trám răng hay cơ thể và đặc biệt là phải có màu sắc tự nhiên, tương thích với răng thật.

Quy trình trám răng thưa chuẩn quốc tế thường mất từ 30 đến 60 phút tính từ khi bắt đầu cho đến khi kết thúc.
- Bước 5: Cuối cùng, để kết thúc quá trình trám răng thưa, bác sĩ sẽ đánh bóng. Nếu như răng của bạn bị thưa nhiều và ảnh hưởng đến cấu trúc toàn hàm răng, bác sĩ tại Nha khoa HanSeoul sẽ cân nhắc bọc sứ hoặc niềng răng. Từ đó sẽ cân chỉnh răng đều đặn giúp hàm răng của bệnh nhân cân đối và chuẩn khớp cắn hơn.
4 Một số cách chăm sóc sau khi trám răng thưa
Thói quen sinh hoạt, ăn uống, chăm sóc, vệ sinh răng miệng tốt là yếu tố đầu tiên giúp kéo dài tuổi thọ của miếng trám răng thưa, bên cạnh đó còn giúp bạn bảo vệ, phòng ngừa hiệu quả về các bệnh lý răng miệng.
- Nên đánh răng ít nhất hai lần mỗi ngày, thời gian vào buổi sáng và tối
- Đánh răng sau khi ăn thực phẩm có hàm lượng đường cao là điều cần thiết
- Uống hoặc súc miệng bằng nước lọc hoặc nước muối loãng sau khi ăn thực phẩm có tính axit cao
- Hạn chế ăn và uống thực phẩm có màu sẫm như cà phê, rượu, trà…

- Hạn chế ăn những thực phẩm đồ ăn quá nóng hoặc quá lạnh cũng như dai và cứng
- Sau khi trám răng không hút thuốc lá
- Ăn uống lành mạnh, nên ăn nhiều hoa quả, rau củ
- Tránh dùng loại kem đánh răng và nước súc miệng có chứa thành phần cồn
Nếu răng miệng được chăm sóc, bảo vệ đúng cách, một chiếc răng thưa trám sẽ có tuổi thọ kéo dài từ 3 đến 10 năm (Phụ thuộc vào vật liệu trám và tay nghề của bác sĩ)
5 Vài nét về Nha khoa HanSeoul – Địa chỉ nha khoa đạt chuẩn quốc tế
Thành lập từ năm 2006, tới nay Nha khoa Quốc tế Hà Nội đã và đang dần khẳng định chỗ đứng vững chắc của mình trên trên thị trường trong lĩnh vực điều trị dứt điểm mọi vấn đề về răng miệng mà các khách hàng gặp phải.
Với hơn 15 năm hoạt động, HanSeoul tự hào quy tụ đội ngũ y bác sĩ cùng chuyên viên tư vấn, chăm sóc khách hàng có trình độ và tay nghề cao, chuyên nghiệp. Nha khoa HanSeoul luôn làm việc tận tâm, lấy sức khỏe cũng như sự hài lòng của khách hàng làm ưu tiên hàng đầu để ngày càng nỗ lực.
Nha khoa HanSeoul có hai cơ sở rộng lớn tại Đống Đa và Hà Đông – Với vị trí đắc địa, giao thông hiện đại cũng như sở hữu trang thiết bị hiện đại, tiên tiến nhất hàng đầu thế giới. Nhờ vậy, HanSeoul có khả năng đáp ứng giải quyết những tình trạng răng miệng phức tạp và giúp rút ngắn tối đa thời gian điều trị cho bệnh nhân với mức chi phí phù hợp nhất.
Tự hào có thể làm hài lòng khách hàng, dù là khách hàng khó tính. Nha khoa HanSeoul đang ngày một củng cố, tận tụy để có thể tự tin là một trong những lựa chọn hàng về trám răng thưa nói riêng và các vấn đề dịch vụ nha khoa khác nói chung.
Hy vọng bài viết trên đã giúp bạn có được cái nhìn tổng quan về quy trình trám răng thưa chuẩn quốc tế. Nếu cần biết thêm thông tin, bạn có thể tham khảo thêm các bài viết khác của Nha khoa HanSeoul hoặc liên hệ với chúng tôi qua tổng đài 0928.75.7777 – 0939.090.581 để được tư vấn một cách nhiệt tình và nhanh chóng nhất.





