- 1 Trám răng là gì? Thời gian thực hiện có lâu không?
- 2 Những đối tượng nào nên đến nha khoa để trám răng
- 2.1 Bị sâu răng hàm hoặc răng cửa
- 2.2 Tình trạng mòn cổ răng
- 2.3 Răng cửa bị sứt mẻ do chấn thương nặng hoặc sâu đen
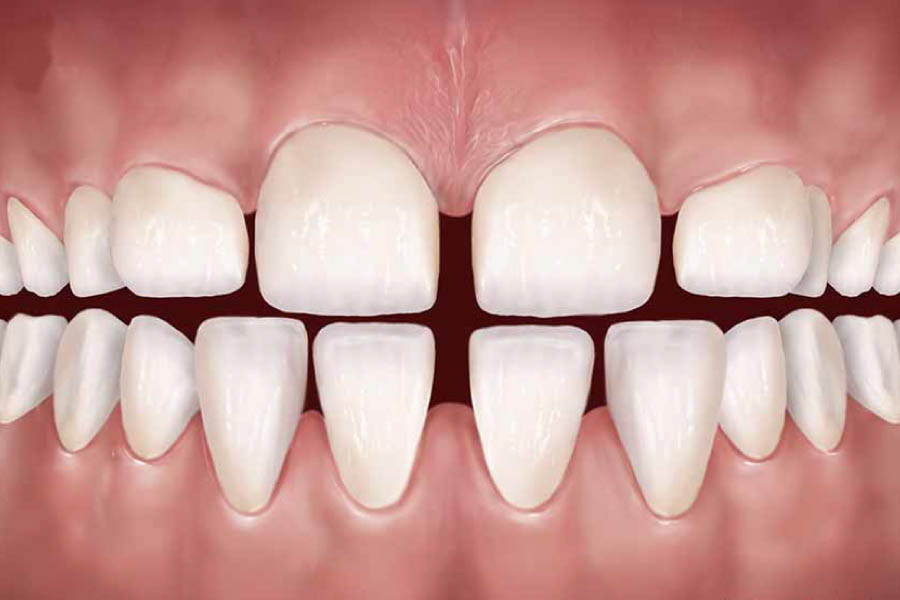
- 2.4 Răng bị thưa, có khoảng trống
- 3 Trám răng bao nhiêu tiền? Bảng giá trám răng tại Nha khoa HanSeoul chi tiết nhất
- 4 Nha khoa HanSeoul là địa chỉ trám răng đẹp, thẩm mỹ cao
Khi thực hiện trám răng, chi phí cũng là một vấn đề được nhiều người quan tâm. Trên thị trường hiện nay, trám răng có rất nhiều mức giá khác nhau do phụ thuộc vào nhiều yếu tố. Khách hàng theo dõi bài viết dưới đây để biết được giá trám răng bao nhiêu tiền nhé.
1 Trám răng là gì? Thời gian thực hiện có lâu không?
Trám răng hiểu đơn giản một phương pháp nha khoa nhằm định hình, phục hồi chức năng của những chiếc răng đã bị hư hỏng. Với phương pháp này sẽ mang lại vẻ đẹp tự nhiên cho hàm răng của bạn, phục hồi và duy trì chức năng ăn nhai cũng như ngăn ngừa sự phát triển trở lại của sâu răng và một số bệnh lý về răng miệng khác.

Trám răng được đánh giá là kỹ thuật phục hình đơn giản, vậy nên thời gian thực hiện cũng nhanh hơn nhiều so với các dịch vụ khác. Với mỗi ca trám răng có thể dao động từ 15 đến 40 phút, cụ thể như sau:
- Răng bị tổn thương nhẹ: Khách hàng rơi vào trường hợp như: răng bị sâu, bị sứt mẻ hay răng bị thưa nhẹ, thời gian trám răng chỉ mất từ 15 đến 20 phút.
- Răng bị tổn thương nặng: Trường hợp bệnh nhân có răng bị sâu nặng, bác sĩ cần phải có thời gian nạo sạch hết các vết sâu trước khi trám. Chính vì vậy nên thời gian sẽ kéo dài hơn các ca bình thường. Mỗi ca trám răng sâu nặng có có thể điều trị mất khoảng 30 – 40 phút.
- Răng cần điều trị tủy: Đây là trường hợp đặc biệt nghiêm trọng, yêu cầu bác sĩ phải điều trị tủy trước nên không thể tiến hành trám răng ngay lập tức. Bệnh nhân sẽ được điều trị viêm tủy cho đến khi khỏi dứt điểm, sau đó bác sĩ mới tiến hành hàn trám.
2 Những đối tượng nào nên đến nha khoa để trám răng
2.1 Bị sâu răng hàm hoặc răng cửa
Sâu răng là một bệnh lý cũng khá nghiêm trọng trên răng do vi khuẩn trong miệng lên men bởi những thức ăn còn sót lại, từ đó sinh ra axit đục thủng men răng.
Nếu không điều trị sớm có thể sẽ gây ra nhiều hậu quả nghiêm trọng. Vì vậy, cần đi khám để phát hiện và trám lại sớm để ngăn ngừa. Trường hợp này cần phải lấy tủy răng thậm chí phải nhổ bỏ.
2.2 Tình trạng mòn cổ răng
Đây là những khuyết hình chêm ở cổ răng, gây cảm giác ê buốt mỗi khi đánh răng và khiến cho răng nhạy cảm hơn với các loại đồ ăn uống nóng hay lạnh. Mòn cổ răng hầu hết là do bệnh nhân thường có thói quen chải răng theo chiều ngang, chải răng quá mạnh hoặc dùng bàn chải có lông cứng.
Những trường hợp này thì việc trám răng tại nha khoa là phương pháp tốt nhất, từ đó sẽ cho kết quả thẩm mỹ và ít xâm lấn mô răng nhất.

2.3 Răng cửa bị sứt mẻ do chấn thương nặng hoặc sâu đen
Vì lý do chấn thương hoặc tai nạn khiến răng bị bể, sứt mẻ khiến răng của bạn không còn được ở trạng thái như lúc đầu. Do vậy, cần được trám lại để tái tạo và phục hồi lại thẩm mỹ cũng như chức năng ăn nhai cho răng.

2.4 Răng bị thưa, có khoảng trống
Răng bị thưa sẽ có các lỗ hổng ở khe răng, việc trám răng thưa giúp các kẽ răng thưa được đóng kín, tránh được việc nhét thức ăn vào kẽ răng giúp bạn tự tin khi trò chuyện, giao tiếp với người đối diện. Đặc biệt, quá trình trám răng thưa hoàn toàn không mài nên phương pháp này được rất khiến nhiều người lựa chọn.

Trám răng thưa là phương pháp rất đơn giản để lấy lại thẩm mỹ răng. Tuy nhiên, nó cũng đòi hỏi sự khéo tay và sự tỉ mỉ, tinh tế của bác sĩ. Vì vậy, nên tìm hiểu và chọn lựa nha khoa uy tín để gửi gắm hàm răng của mình nhé.
3 Trám răng bao nhiêu tiền? Bảng giá trám răng tại Nha khoa HanSeoul chi tiết nhất
Khi thực hiện trám răng, chi phí cũng là một trong các vấn đề được khách hàng quan tâm. Trên thị trường hiện nay, trám răng có rất nhiều mức giá do phụ thuộc vào nhiều yếu tố khác nhau, như: Vị trí răng cần trám, số lượng chiếc răng cần trám, vật liệu trám, tình trạng tủy răng… Do đó, việc bác sĩ thăm khám, chẩn đoán tình trạng răng ban đầu là rất cần thiết. Từ đó, bác sĩ đưa ra phương pháp cũng như chi phí cụ thể cho bệnh nhân.
Tuy nhiên bạn cũng có thể tham khảo bảng giá hàn trám răng tại Nha khoa HanSeoul. Là phòng khám nha khoa luôn minh bạch trong chính sách giá thành ở dịch vụ trám răng.
Trám răng tại Nha khoa HanSeoul có mức giá hợp lý, dịch vụ luôn đảm bảo chất lượng cao. Bên cạnh đó, Nha khoa HanSeoul còn có nhiều ưu đãi hấp dẫn với các dịch vụ điều trị nha khoa khác giúp khách hàng tiết kiệm chi phí hơn. Tham khảo bảng giá trám răng tại Nha khoa HanSeoul thông qua bảng dưới đây:
| TRÁM RĂNG | BẢO HÀNH | ĐVT | GIÁ (VNĐ) |
| Trám mặt nhai bằng P60 – 3M (Mỹ) | 6 tháng | 1 Răng | 200.000 |
| Trám răng bằng composite bulk fill – 3M (Mỹ) | 6 tháng | 1 Răng | 400.000 |
| Trám mặt bên bằng bulk fill – 3M (Mỹ) | 6 tháng | 1 Răng | 400.000 |
| Trám cổ răng bằng Z350 XT – 3M (Mỹ) | 6 tháng | 1 Răng | 200.000 |
| Trám thẩm mỹ bằng phương pháp Style Italiano – 3M (Mỹ) | 1 năm | 1 Răng | 1.500.000 |
| Trám lót bằng Vitrebond hãng 3M (Mỹ) | 6 tháng | 1 Răng | 200.000 |
4 Nha khoa HanSeoul là địa chỉ trám răng đẹp, thẩm mỹ cao
Khi răng miệng của bạn mắc phải những trường hợp cần sử dụng đến dịch vụ trám răng trên, khách hàng cần đến phòng khám nha khoa để được thăm khám và điều trị kịp thời.
Như đã chia sẻ ở trê, trám răng diễn ra rất nhanh chóng, không mất nhiều thời gian nhưng lại có rất nhiều tác dụng trong việc bảo vệ răng của bạn bền chắc và khỏe mạnh hơn. Vì vậy, bạn nên duy trì thói quen lấy vôi răng định kỳ khoảng 6 tháng/ 1 lần để phát hiện kịp thời các bệnh lý như: sâu răng, viêm nướu…
Trám răng là sử dụng phương pháp kỹ thuật đơn giản nhưng nó đòi hỏi bác sĩ phải khéo léo và có chuyên môn cao bởi có rất nhiều vị trí khó cần trám, nếu không cẩn thận sẽ dễ lộ ra khi khách hàng cười hoặc nói chuyện.
Chính vì vậy, bạn cần lựa chọn một địa chỉ nha khoa uy tín, chất lượng để quá trình trám răng diễn ra suôn sẻ và đạt kết quả như ý muốn. Nha khoa HanSeoul là nơi bạn có thể đặt trọn niềm tin tuyệt đối. HanSeoul cam kết sử dụng chất liệu trám răng cao cấp đảm bảo an toàn, hiệu quả và tương thích nhất với răng thật của khách hàng.
Nha khoa HanSeoul đáp ứng tốt chất lượng dịch vụ trám răng nhờ đi đầu trong ứng dụng công nghệ hàn trám thẩm mỹ hàng đầu thế giới. Tái tạo vết trám nhanh chóng, hiệu quả, an toàn.
Kỹ thuật trám răng công nghệ hiện đại, tiên tiến mới này có 3 ưu điểm lớn:
- Không làm co rút miếng trám duy trì nên mang lại hiệu quả lâu dài
- Mức độ thẩm mỹ cao gấp 3 lần so với phương pháp trám răng thông thường khác
- Vật liệu trám răng nhập khẩu với độ bền chắc củng cố tốt, an toàn
Dịch vụ trám răng thẩm mỹ tại Nha khoa HanSeoul luôn được khách hàng đánh giá tốt, chất lượng, đáp ứng tốt các dịch vụ nha khoa khác. Tại nha khoa trang bị hệ thống máy móc, thiết bị hiện đại mang lại sự hài lòng tuyệt đối cho khách hàng đến và sử dụng dịch vụ trám răng thẩm mỹ.
Hy vọng với bài viết này, bạn đã biết được trám răng bao nhiêu tiền. Nếu bạn đang có nhu cầu trám răng để lấy lại thẩm mỹ xin vui lòng liên hệ Nha khoa HanSeoul qua số hotline 0939 090 581 để được tư vấn và hỗ trợ nhanh nhất nhé!





