Trồng răng implant ở đâu uy tín, giá trồng răng bao nhiêu? Đó là câu hỏi rất nhiều cô chú/anh/chị quan tâm khi quyết định cấy implant. Để có câu trả lời chính xác nhất xin mời cô/chú/anh/chị tham khảo bài viết dưới đây:
Trồng răng implant là gì?
Trồng răng implant là giải pháp khôi phục lại răng đã mất bằng cách đặt chân implant trực tiếp vào trong xương hàm tại vị trí răng mất sau đó khôi phục mão sứ bên trên thông qua một thiết bị trung gian là Abutment (khớp nối)

Ưu điểm của răng implant: Mất răng nào khôi phục lại răng đó, không ảnh hưởng tới các răng bên cạnh. Đồng thời răng implant chịu lực tốt, ăn nhai như răng thật, duy trì kết quả lâu dài thường là 10 năm, 20 năm hoặc trọn đời nếu được chăm sóc đúng cách.
Yếu tố quyết định sự thành công của 1 ca trồng răng implant
- Trình độ bác sĩ:Bác sĩ chuyên môn cao giàu kinh nghiệm sẽ cho ra phác đồ điều trị tốt nhất, đồng thời là điều kiện tiên quyết đảm bảo cho ca phẫu thuật cấy ghép implant thành công.
- Công nghệ trồng răng:Công nghệ hiện đại giúp quá trình phẫu thuật an toàn, không đau đớn, kết quả được duy trì lâu dài.
- Trụ implant tốt và chính hãng: Hầu hết các trụ Implant đều được làm từ Titanium nguyên chất nhưng với trụ implant trôi nổi kém chất lượng thì có thể bị pha nhiều tạp chất khác. Ngược lại với dòng implant của các thương hiệu nổi tiếng ngoài việc đảm bảo Titanium nguyên chất còn được ứng dụng xử lý bề mặt trụ, vùng cổ implant bằng công nghệ hiện đại.
- Điều kiện phẫu thuật: Phòng phẫu thuật vô trùng, thiết bị phẫu thuật đảm bảo v vô khuẩn theo tiêu chuẩn của bộ y tế.
Nếu một trong 4 yếu tố trên không đảm bảo có thể dẫn tới: Biến chứng implant chạm dây thần kinh, tổn thương xoang hàm, implant đặt sai vị trí nên răng sứ phục hình không đảm bảo được chức năng ăn nhai, hoặc tệ hơn là không thể phục hình, nặng nề hơn nữa implant bị viêm nhiễm đào thải.

Đăng ký nhận tư vấn ưu đãi lớn nhất thị trường hiện nay

Lý do nên chọn Hệ thống Nha Khoa Hanseoul cấy implant
Đội ngũ bác sĩ trồng răng Hanseoul
100% Bác sĩ tốt nghiệp Đại Học Y và học chứng chỉ chuyên sâu cấy ghép implant. Đứng đầu là Thạc sĩ Bác sĩ Trần Việt Hà Tốt Nghiệp Đại Học Y Hà Nội. Tốt nghiệp DIU chuyên ngành cấy ghép Implant và phục hình thẩm mỹ Đại học Bordeaux Cộng Hòa Pháp 2009-2011. Tu nghiệp chuyên ngành cấy ghép implant tại Hàn Quốc 2014. Tu nghiệp cấy ghép Implant Đại Học Southern California Mỹ 2015
Tính tới thời điểm hiện tại. Đội ngũ bác sĩ Implant tại Nha Khoa Hanseoul đã điều trị hàng cho 10.000 khách hàng khắp hệ thống Hà Nội, TPHCM, Đồng Nai, Trong đó có những ca khó mất nhiều răng, cao tuổi, khách hàng có bệnh lý nền.
Khách hàng 94 tuổi cấy răng thành công tại Nha khoa Hanseoul
Công nghệ trồng răng implant Hansafe
Công nghệ trồng răng Implant Hansafe an toàn – không đau- ăn nhai tốt, duy trì kết quả điều trị lâu dài. Hansafe là công nghệ trồng răng implant hiện đại số 1 Hàn Quốc. Hệ thống Nha Khoa Hanseoul là chuỗi hệ thống duy nhất tại Việt Nam vượt qua những tiêu chuẩn khắt khe từ tập đoàn Dentech Korea và được chuyển giao độc quyền công nghệ hiện đại này. Hansafe là tích hợp của 4 công nghệ đòi hỏi máy móc thiết bị hiện đại cũng như quy trình cấy ghép khắt khe.
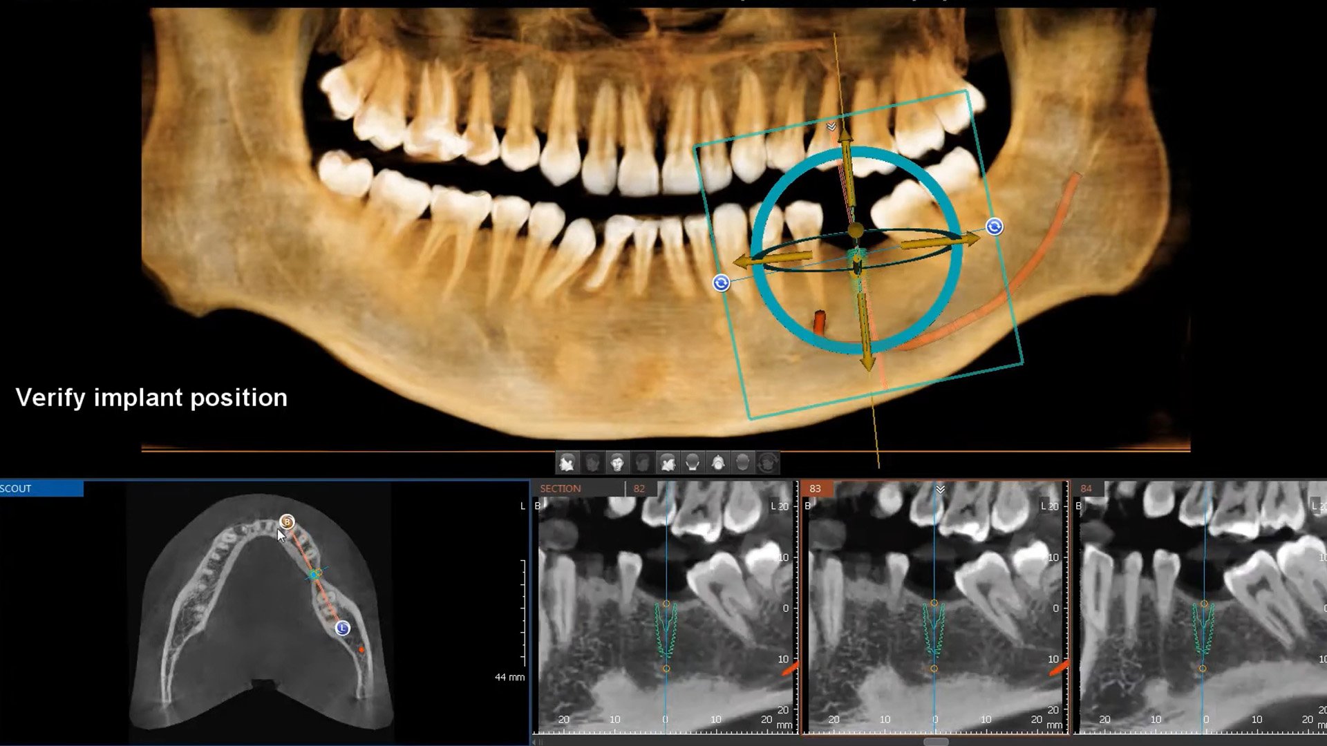
+ Hansmart – Lên kế hoạch điều trị an toàn, duy trì kết quả dài lâu: Dữ liệu từ CT cone beam và dữ liệu scan mẫu hàm kỹ thuật số được tích hợp vào Hansmart giúp bác sĩ tầm soát cấu trúc xương hàm, mạch máu, dây thần kinh, khảo sát mật độ xương chất lượng xương, cấu trúc vi tế từ đó lựa chọn vị trí đặt implant an toàn, tính toán độ sâu, góc nghiêng và cân bằng theo ba chiều không gian giúp răng sứ được phục hình chuẩn khớp cắn khôi phục chức năng thẩm mỹ và ăn nhai giúp răng implant chịu lực tốt, duy trì kết quả dài lâu.
Gọi Hotline 0904 768 577 hoặc Đăng ký nhận tư vấn 1:1 cùng chuyên gia
[wpforms id=”8550″]

+ Hanguide – Đặt implant chính xác vị trí đã được giả lập và không đau
Công nghệ giúp định vị mũi khoan chính xác trùng khớp với vị trí được giả lập. Đồng thời ứng dụng công nghệ từ tính, nén ép lên mô xương tạo lỗ chờ implant nên quá trình phẫu thuật nhẹ nhàng, không sưng đau sau phẫu thuật.
+ HANSOI – siêu tích hợp xương
Công nghệ cảm ứng hồng ngoại của Hanmart tầm soát tới cấu trúc vi tế của mô mềm mạch máu, xương ổ răng từ đó Bác sĩ sẽ lựa chọn vị trí nhiều tế bào gốc nhất đặt implant. Trường hợp ghép xương HANSOI sẽ dẫn tạo thêm một loại vật liệu sinh học siêu dẫn BIOSOI lập tức thu hút các tế bào xương tự thân vào trong khối xương ghép, kích thích các tế bào này phát triển nhanh chóng ngay sau khi được đưa vào vùng khuyết hổng của xương nhân tạo. Giúp quá trình tích hợp xương nhanh và tỉ lệ tích hợp xương gần như tuyệt đối.
+ Hanpros – Tái lập lại khớp cắn, hình thể răng sứ và thẩm mỹ mô lợi răng sứ được khôi phục sẽ có phần cổ răng giống y cổ răng thật, đường viền lợi được tái lập lại giống y đường viền lợi lúc chưa mất răng
Hansafe hoàn toàn khác biệt với công nghệ trồng implant truyền thống. Công nghệ truyền thống bác sĩ điều khiển mũi khoan theo cảm giác tay, lựa chọn vị trí đặt implant hoàn toàn nhờ kinh nghiệm. Công nghệ cũ bác sĩ rạch vạt lợi và dùng mũi khoan xoay cơ học để cắt gọt xương tạo lỗ chờ đặt implant do vậy tiềm ẩn nhiều nguy cơ sưng đau, chảy máu, implant đặt sai vị trí.
Công nghệ Hansafe
Trụ implant và các nguyên vật liệu đi kèm chính hãng
Hanseoul là hệ thống Nha Khoa trực thuộc công ty TNHH Thiên Phúc là nhà phân phối vật tư thiết bị nha khoa của các hãng nổi tiếng như Osstem Hàn quốc, 3M mỹ…
Toàn bộ trụ implant đảm bảo là hàng chính hãng đến từ những thương hiệu hàng đầu: Osstem Hàn Quốc, Hiossen Mỹ, Straumann của Thụy Sĩ..
Phòng phẫu thuật, dụng cụ phẫu thuật
Ngoài các thiết bị máy móc hiện đại như CT Conebeam và Scan mẫu hàm Trios, máy phẫu thuật nén ép từ tính phòng phẫu thuật, dụng cụ đảm bảo vô trùng vô khuẩn theo tiêu chuẩn của bộ y tế. Đảm bảo khách hàng có cuộc phẫu thuật thành công, an toàn không lây nhiễm chéo.

Rất nhiều khách hàng đã trải nghiệm và hài lòng khi trồng răng implant tại Nha Khoa Hanseoul còn cô/chú/anh/chị thì sao? Hãy liên hệ ngay hotline 0904 768 577 để được tư vấn cụ thể.
Giá trồng răng implant bao nhiêu?
Mức giá trồng răng implant của mỗi nha khoa không giống nhau, đồng thời mức giá phụ thuộc vào loại trụ implant mà cô chú lựa chọn.
Việt Nam hiện chưa sản xuất được trụ implant. Trên thị trường toàn bộ là trụ implant nhập khẩu từ rất nhiều nước trên thế giới như: Thụy sĩ, Thụy Điển, Mỹ, Pháp, Đức, Hàn quốc… tuy nhiên không loại trừ trường hợp hàng giả hàng nhái gắn mác nhập khẩu.
Do vậy, câu hỏi trồng răng implant giá bao nhiêu mà rất nhiều người quan tâm không còn quá quan trọng, điều quan trọng hơn cô/chú/anh/chị hãy tìm cho mình một cơ sở Nha khoa đảm bảo được 4 yếu tố đảm bảo cho mình có một ca phẫu thuật thành công, kết quả duy trì lâu dài
Để xem giá niêm yết quý khách vui lòng xem tại đây
Tham khảo: các dòng trụ implant
->> Nha Khoa tặng gói thăm khám, chụp phim, tư vấn miễn phí và chương trình ưu đãi dành riêng cho khách hàng truy cập Website Cô/Chú/Anh/Chị hãy Gọi Hotline 0904 768 577 để được tư vấn và đặt lịch nhé ạ!





_09h03.jpg)