Nụ cười chưa hoàn hảo và mong muốn thay đổi trước khi bước vào nghề mơ ước
_02h54.jpg)
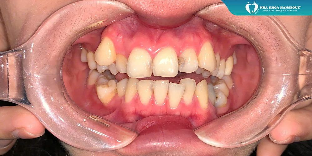
22 tuổi, với dự định làm tiếp viên hàng không – một công việc đòi hỏi ngoại hình sáng và nụ cười cuốn hút, Khánh Linh luôn cảm thấy chưa thực sự tự tin vì tình trạng răng khấp khểnh, hơi lệch và không đều màu.
_02h55.jpg)
Trong buổi thăm khám tại Nha khoa Hanseoul, bác sĩ đã tư cho Linh nên niềng răng để dịch chuyển toàn bộ cung răng, và có thể kết hợp tẩy trắng để có hàm răng đều đẹp và trắng sáng. Tuy nhiên, niềng răng thường cần 18–24 tháng mới thấy hiệu quả rõ rệt – quãng thời gian quá dài so với yêu cầu công việc sắp tới. Mong muốn có nụ cười đẹp nhanh mà vẫn bảo toàn tối đa mô răng thật, Khánh Linh đã quyết định chọn dán sứ Veneer.
Vì sao Khánh Linh chọn Hanseoul để “chọn mặt gửi vàng”?
Chia sẻ về lý do chọn Hanseoul, Linh cho biết: “Những lần đi khám răng trước ở Hanseoul, em thấy phòng ốc sáng, sạch, máy móc xịn. Khi chụp X-quang còn được mặc áo chì bảo vệ – điều mà em đi mấy nơi khác lại không có.”
Quá trình thăm khám và tư vấn, Bác sĩ Nhung đã giải thích chi tiết từng bước, từng rủi ro và cách bảo tồn răng tối đa cho khách. Đó cũng là điều mà Linh rất ấn tượng.
“Do cơ địa của em nên lúc mài răng hơi khó chịu, nhưng bác sĩ Nhung dỗ dành, động viên rất khéo. Em cảm giác như được chị gái chăm chứ không phải bác sĩ. Nói chung bác sĩ rất có tâm.” Chính sự ấm áp, tỉ mỉ và tinh tế của Bác sĩ Nhung đã giúp Linh hoàn toàn yên tâm trong suốt quá trình làm răng.
Bộ veneer mới – bước ngoặt giúp Linh tự tin tỏa sáng
_02h55.jpg)
_02h55.jpg)
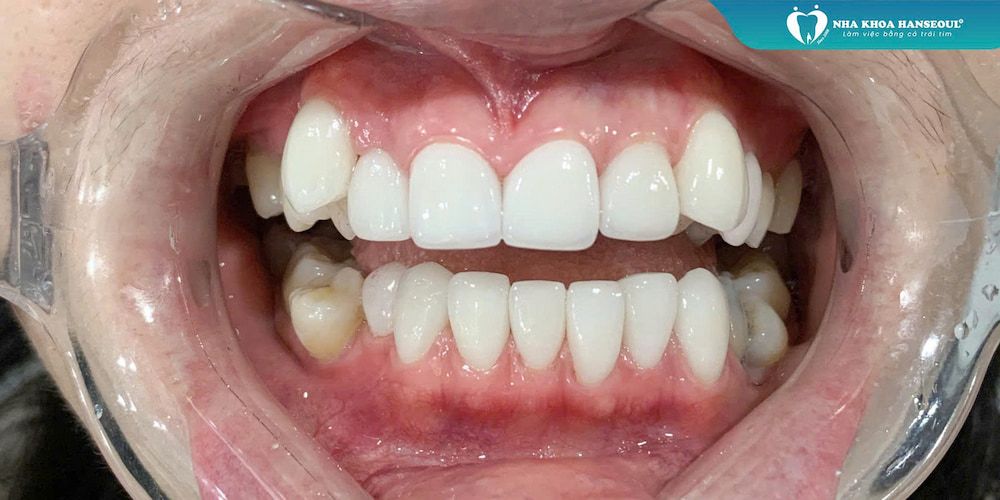
Sau khi hoàn thiện bộ veneer thiết kế theo dáng răng tự nhiên – tinh tế, Linh gần như “lột xác”:
- Nụ cười sáng rõ hơn
- Các răng đều, hài hòa với gương mặt
- Màu răng trắng trong, tự nhiên
Linh hào hứng chia sẻ: “Sau khi dán sứ, em thấy tự tin hơn rất nhiều. Em cười nhiều hơn, chụp hình nhiều hơn. Em cực kỳ hài lòng với trải nghiệm tại Hanseoul và bộ răng mới của mình.”
Từ một cô gái tự ti vì răng khấp khểnh, Khánh Linh giờ đây đã sở hữu nụ cười rạng rỡ – sẵn sàng bước vào hành trình trở thành tiếp viên hàng không. Hanseoul rất vinh dự được đồng hành cùng Linh trên chặng đường đẹp này.


_02h17.jpg)
_09h12.jpg)

