- 1 Thông tin khách hàng
- 2 Lý do đến khám
- 3 Tình trạng lâm sàng ban đầu – Biến chứng do bọc sứ sai chỉ định
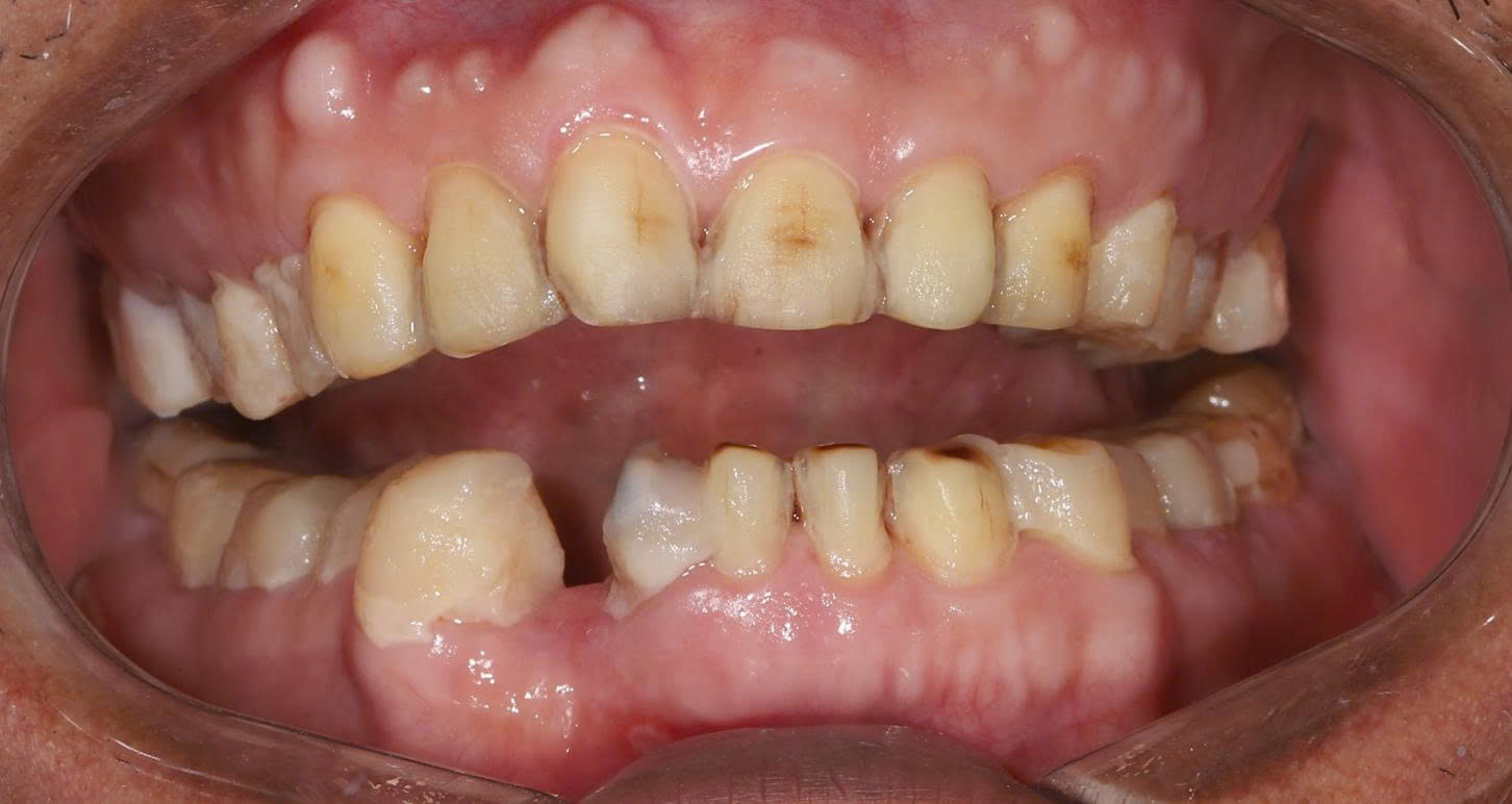
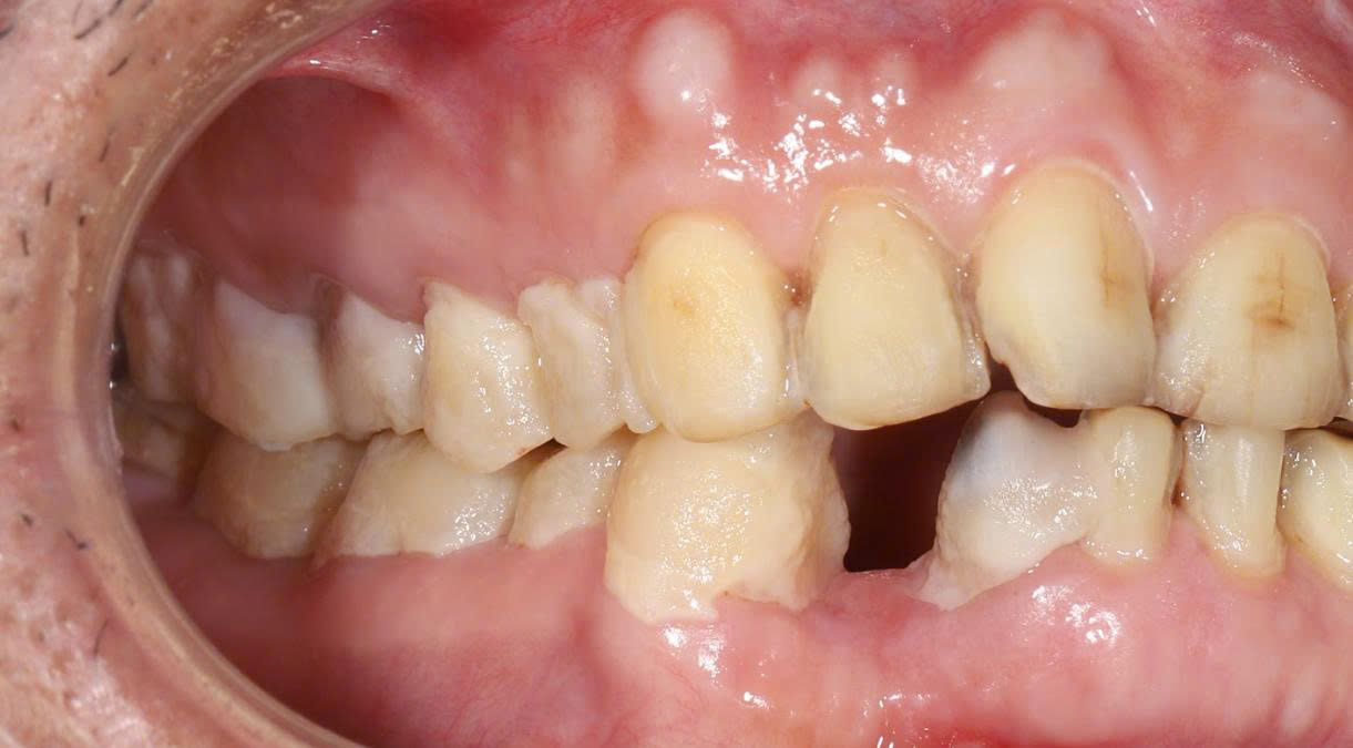
- 3.1 Khám trong miệng
- 3.2 Chẩn đoán hình ảnh
- 3.3 Nhận định chuyên môn
- 4 Chẩn đoán & kế hoạch điều trị tại Hanseoul
- 4.1 Chẩn đoán
- 4.2 Kế hoạch điều trị
- 5 Quá trình điều trị
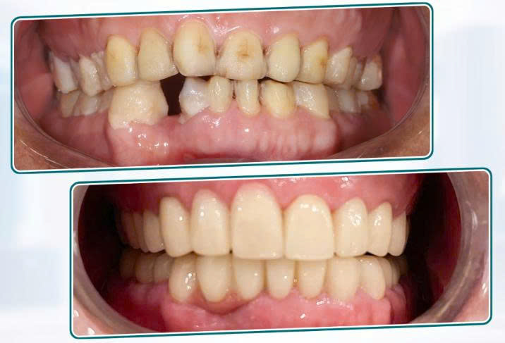
- 6 Kết quả sau điều trị – So sánh trước & sau
- 6.1 Về chức năng
- 6.2 Về thẩm mỹ
- 6.3 Về chất lượng sống
- 7 Bọc răng sứ toàn hàm cần đúng chỉ định
- 8 Kết luận
1 Thông tin khách hàng
Khách hàng: Nguyễn Văn ThứcNăm sinh: 1964
Quê quán: Bắc Giang

2 Lý do đến khám
Bệnh nhân đến Nha khoa Hanseoul trong tình trạng:
-
Đau nhức răng kéo dài sau khi bọc sứ tại nha khoa khác
-
Ăn nhai khó khăn, ê buốt thường xuyên
-
Tâm lý lo lắng, mất niềm tin sau điều trị trước đó
Tiền sử:
-
Từng phục hình cầu răng kim loại
-
Sau đó bọc sứ tại cơ sở không uy tín, dẫn đến mài răng sai chỉ định, xâm lấn nghiêm trọng mô răng thật
3 Tình trạng lâm sàng ban đầu – Biến chứng do bọc sứ sai chỉ định
3.1 Khám trong miệng
-
Hầu hết các răng hai hàm đã bị mài nhỏ quá mức
-
Răng số 8 (răng khôn) bị mài và bọc sứ – hoàn toàn sai chỉ định
-
Viền lợi không đều, có dấu hiệu viêm quanh răng
-
Bệnh nhân phản ánh đau nhức âm ỉ kéo dài



3.2 Chẩn đoán hình ảnh
-
Phim X-quang cho thấy:
-
Răng số 8 không còn giá trị chức năng, là nguồn gây đau
-
Một số răng trụ bị mài sát buồng tủy
-
Khớp cắn mất cân đối do phục hình không chuẩn
-
3.3 Nhận định chuyên môn
Đây là trường hợp điển hình của bọc sứ sai chỉ định, bao gồm:
-
Bọc sứ trên răng không cần phục hình (răng 8)
-
Mài răng xâm lấn, không kiểm soát
-
Không đánh giá tổng thể khớp cắn và chức năng ăn nhai
Nếu không xử lý kịp thời, bệnh nhân có nguy cơ:
-
Viêm tủy, hoại tử răng
-
Rối loạn khớp cắn, đau khớp thái dương hàm
-
Phải nhổ răng và trồng Implant sớm
4 Chẩn đoán & kế hoạch điều trị tại Hanseoul
Sau hội chẩn, đội ngũ bác sĩ Hanseoul thống nhất phác đồ:
4.1 Chẩn đoán
-
Đau răng kéo dài do mài răng sai chỉ định
-
Răng số 8 bị tổn thương không hồi phục
-
Phục hình sứ trước đó không đảm bảo chức năng và sinh học

4.2 Kế hoạch điều trị
-
Nhổ răng số 8 – loại bỏ ổ viêm và nguồn gây đau
-
Lập lại kế hoạch phục hình toàn diện
-
Bọc răng sứ toàn hàm theo nguyên tắc:
-
Bảo tồn mô răng tối đa
-
Phục hồi khớp cắn sinh lý
-
Đảm bảo chức năng ăn nhai lâu dài
-
Đáp ứng thẩm mỹ phù hợp độ tuổi
-
5 Quá trình điều trị
-
Nhổ răng số 8 được thực hiện nhẹ nhàng, kiểm soát đau
-
Lấy dấu kỹ thuật số, phân tích khớp cắn
-
Thiết kế răng sứ theo tỷ lệ khuôn mặt và khớp cắn cá nhân
-
Thử răng, tinh chỉnh chi tiết trước khi gắn cố định
Toàn bộ quá trình tuân thủ quy trình phục hình chuẩn y khoa, có theo dõi sát đáp ứng mô mềm và cảm giác của bệnh nhân.
6 Kết quả sau điều trị – So sánh trước & sau

6.1 Về chức năng
-
Cảm giác đau nhức chấm dứt
-
Khả năng ăn nhai cải thiện rõ rệt
-
Khớp cắn ổn định, không còn cảm giác mỏi hàm

6.2 Về thẩm mỹ
-
Hàm răng đều, màu sắc tự nhiên
-
Hình thể răng hài hòa, phù hợp khuôn mặt
-
Nụ cười tự tin hơn, trẻ trung hơn

6.3 Về chất lượng sống
-
Ăn uống thoải mái
-
Tâm lý nhẹ nhõm sau thời gian dài chịu đau
-
Không còn lo lắng khi sử dụng răng sứ
7 Bọc răng sứ toàn hàm cần đúng chỉ định
Case lâm sàng này cho thấy:
-
Bọc răng sứ toàn hàm là giải pháp hiệu quả chỉ khi được chỉ định đúng
-
Bọc sứ sai chỉ định có thể gây tổn thương răng thật nghiêm trọng
-
Không phải mọi răng đều cần bọc sứ – đặc biệt là răng số 8
Tại Hanseoul, bọc răng sứ toàn hàm luôn dựa trên:
-
Phân tích lâm sàng kỹ lưỡng
-
Đánh giá chức năng – khớp cắn – sinh học
-
Cá nhân hóa kế hoạch điều trị cho từng bệnh nhân
8 Kết luận
Trường hợp của KH Nguyễn Văn Thức là minh chứng rõ ràng cho giá trị của điều trị đúng chỉ định – đúng chuyên môn trong phục hình răng sứ.
Bọc răng sứ không chỉ để đẹp, mà để khỏe, bền vững và an toàn lâu dài.

Nha khoa Hanseoul – Điều trị bằng chuyên môn, không đánh đổi răng thật
Nếu bạn đang gặp biến chứng sau bọc sứ hoặc đang cân nhắc bọc răng sứ toàn hàm, hãy để Hanseoul thăm khám và phân tích trước khi quyết định.





