- 1 Khi nào thì nên bọc răng sứ?
- 2 Liệu bọc răng sứ có gây hại gì không?
- 3 Bọc răng sứ và những biến chứng có thể xảy ra
- 3.1 Tình trạng ê buốt răng, khó chịu
- 3.2 Tình trạng chết tủy răng
- 3.3 Tình trạng viêm nhiễm nướu
- 3.4 Các bệnh lý về răng miệng
- 4 Bọc răng sứ ở đâu uy tín tại quận Thanh Xuân
- 5 Bảng giá bọc răng sứ mới nhất năm 2022 tại Nha Khoa Hanseoul
Bọc răng sứ có nguy hiểm không, có hại gì không là một trong những mối bận tâm hàng đầu của nhiều người khi có ý định thực hiện phương pháp này. Bởi lẽ, hiện nay có nhiều nha khoa kém uy tín, kém chất lượng thực hiện sai kỹ thuật đã gây ra nhiều biến chứng, ảnh hưởng nguy hại sau khi bọc răng sứ như: hôi miệng, ê buốt răng, nhiễm trùng nướu, chết tủy,..Vì vậy, việc hiểu rõ bản chất và những vấn đề xoay quanh bọc răng sứ, cũng như lựa chọn một nơi uy tín để thực hiện là rất cần thiết.
1 Khi nào thì nên bọc răng sứ?
Bọc răng sứ là một trong những phương pháp phục hình răng cố định. Trong quy trình thực hiện, Bác sĩ sẽ chụp chân răng giả được làm hoàn toàn từ vật liệu sứ hoặc sườn kim loại – mão sứ lên trên các răng thật đã được mài chỉnh theo một tỷ lệ phù hợp để cải tạo, khôi phục lại hình dạng, màu sắc vốn có của răng.
Theo khuyến cáo của các chuyên gia, bác sĩ chuyên khoa thì không phải ai cũng có thể phù hợp để được chỉ định bọc răng sứ. Tùy thuộc vào tình trạng khiếm khuyết của răng mà bác sĩ sẽ chỉ định những phương pháp điều trị phù hợp.
Thông thường những trường hợp được chỉ định bọc răng sứ khi:
- Người có răng bị ngả màu, xỉn màu, nhiễm màu do kháng sinh mà không thể khắc phục bằng phương pháp tẩy trắng răng.
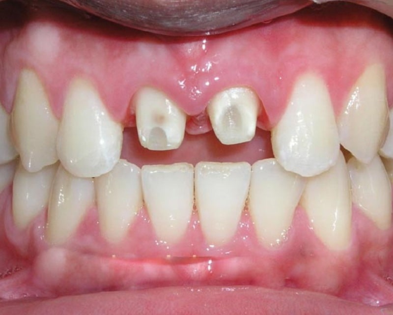
- Trường hợp răng bị hở kẽ, răng mọc lệch

Bọc răng sứ khi răng bị hở
- Trường hợp răng bị sứt mẻ, gãy vỡ do tác động lực mạnh, phần răng thiếu nhìn thấy rõ rệt.
- Trường hợp bị sâu răng dẫn đến viêm tủy, chết tủy.
- Trường hợp răng bị hô, móm không phải do hàm, trường hợp nhẹ.
- Trường hợp răng bị thưa, ngắn bẩm sinh.
2 Liệu bọc răng sứ có gây hại gì không?
Giải đáp cho câu hỏi bọc răng sứ có gây hại không, các bác sĩ chuyên khoa cho biết:
Bọc răng sứ chỉ là kỹ thuật thực hiện các thao tác ở phía bên ngoài của men răng. Hoàn toàn không gây tác động gì đến cấu trúc răng và các mô mềm trong khoang miệng. Do đó bọc răng sứ an toàn và không gây ra bất kỳ nguy hại nào cho người sử dụng.
Khi thực hiện bọc răng sứ đúng kỹ thuật cùng với quy trình đảm bảo đúng tiêu chuẩn quốc tế sẽ mang lại nhiều lợi ích đáng kể như:
- Màu sắc răng sứ có độ bóng trơn tự nhiên như răng thật, giúp cải thiện cá khuyết điểm về màu sắc của răng, giúp răng trở nên trắng sáng và đều màu hơn.
- Cải thiện chức năng ăn nhai của răng. sau khi bọc răng sứ bằng phương pháp cắm trụ Implant thì thậm trí răng sứ còn chắc khỏe hơn răng thật, khi ăn uống mang lại cảm giác chân thật giúp bạn thoải mái thưởng thức vị ngon của món ăn.

- Độ bền lâu dài. Các loại răng sứ được làm từ chất liệu cao cấp sẽ tồn tại được hơn hàng chục năm trong môi trường khoang miệng, và nếu được chăm sóc đúng cách nó có thể tồn tại vĩnh viễn trọn đời.
- Khi bọc răng sứ bên ngoài sẽ giúp bảo vệ răng thật khỏi sự tấn công của các mảng bám thức ăn, tích tụ vi khuẩn, ngăn ngừa các bệnh lý về răng miệng tối đa.
3 Bọc răng sứ và những biến chứng có thể xảy ra
Nếu bạn bọc răng sứ ở một địa chỉ nha khoa uy tín chất lượng với vật liệu răng sứ tốt, bác sĩ tay nghề giỏi chuyên môn cao, hệ thống trang thiết bị công nghệ hiện đại thì hoàn toàn không cần lo lắng sẽ xảy ra biến chứng, vô cùng an toàn khi sử dụng.
Ngược lại, khi bọc răng sứ mà không có sự chỉ định của bác sĩ và thực hiện tại một nha khoa kém uy tín thì sẽ dẫn đến các biến chứng khó lường như:
3.1 Tình trạng ê buốt răng, khó chịu
Kỹ thuật mài cùi xâm lấn quá nhiều đến răng thật sẽ làm lộ phần ngà răng, làm cho răng trở nên nhạy cảm khi ăn uống, đặc biệt là những thức ăn nóng hoặc lạnh.
3.2 Tình trạng chết tủy răng
Nếu như kỹ thuật mài răng của bác sĩ không tốt, thực hiện không đúng kỹ thuật có thể sẽ làm tổn thương đến tủy răng, lúc này buộc phải loại bỏ tủy. Dẫn đến chết tủy và hư hỏng răng vĩnh viễn.

3.3 Tình trạng viêm nhiễm nướu
Sau khi bọc răng sứ, nhiều bệnh nhân có cảm giác cộm, cấn, không thoải mái khi ăn nhai, giao tiếp. Nguyên nhân là do tỷ lệ mài răng không chính xác, làm sưng lợi, viêm nướu gây ra tình trạng đau nhức dai dẳng.
Nghiệm trọng, với những bệnh nhân có cơ địa nhạy cảm nếu bọc răng sứ kim loại có thể dẫn đến nguy cơ bị kích ứng và viêm ở vùng quanh chân răng.
3.4 Các bệnh lý về răng miệng
Bọc răng sứ không sát khít dẫn đến tình trạng thức ăn bị kẹt ở kẽ răng nhiều. Nếu như không vệ sinh và chăm sóc răng miệng đúng cách sẽ làm cho vi khuẩn tích tụ, gây ra mùi hôi khó chịu ở khoang miệng (bệnh hôi miệng). Sự tích tụ của vi khuẩn còn gây ra các bệnh lý khác như: bị sâu răng, viêm nha chu, viêm lợi,..
4 Bọc răng sứ ở đâu uy tín tại quận Thanh Xuân
Để có một kết quả bọc răng sứ đẹp, an toàn, chất lượng phụ thuộc nhiều vào các yếu tố như: loại răng sứ sử dụng, tay nghề của bác sĩ thực hiện, Công nghệ và trang thiết bị của địa chỉ nha khoa.
Nha Khoa Hanseoul là một địa chỉ nha khoa được nhiều khách hàng tin tưởng sử dụng các dịch vụ chăm sóc sức khỏe răng miệng tại đây. Nhận được sự hài lòng, tin tưởng của khách hàng Nha Khoa Hanseoul được mệnh danh là địa chỉ bọc răng sứ uy tín tại quận Thanh Xuân, Hà Nội với:
- Đội ngũ chuyên gia, các bác sĩ giỏi chuyên môn với hơn 15 năm kinh nghiệm trong lĩnh vực bọc răng sứ thẩm mỹ. Nổi bật, Thạc sĩ – Bác sĩ Trần Việt Hà có kinh nghiệm tu nghiệp kỹ thuật cấy ghép Implant tại Seoul, Hàn Quốc.

- Trang biết bị của nha khoa sử dụng được nhập khẩu trực tiếp từ Hàn Quốc, hệ thống ghế nha của tập đoàn OSstem.
- Dịch vụ chăm sóc khách hàng ở nha khoa tận tâm, thấu hiểu khách hàng, mang đến trải nghiệm hài lòng cho mỗi khách hàng khi chăm sóc răng miệng tại đây.
5 Bảng giá bọc răng sứ mới nhất năm 2022 tại Nha Khoa Hanseoul
Các vật liệu răng sứ và trụ răng tại nha khoa Hanseoul đều rõ nguồn gốc xuất xứ, nhập khẩu trực tiếp từ các nha khoa lớn trên thế giới như Thụy Sỹ (số 1 thế giới), Đức, Mỹ, Hàn Quốc (thứ 4 thế giới).
Chất lượng dịch vụ tốt đi kèm với chi phí phù hợp, bạn hoàn toàn có thể yên tâm, trao trọn niềm tin khi đến Nha Khoa Hanseoul, tham khảo bảng giá dịch vụ bọc răng sứ ở dưới đây:

Trong dịp cuối năm nay, tại nha khoa Hanseoul đang có rất nhiều chương trình ưu đãi khi bọc răng sứ tại nha khoa Hanseoul, bạn có thể đến trực tiếp địa chỉ phòng khám hoặc liên hệ qua hotline 0939 090 581 để được hỗ trợ chi tiết.
Ngoài ra, nếu bạn thường xuyên quan tâm đến sức khỏe răng miệng mà muốn biết thêm nhiều thông tin bổ ích, đừng quên theo dõi các bài viết kỳ sau của chúng tôi nhé!





