Sau khi lấy tủy, nếu răng bị hư tổn quá nhiều bác sĩ sẽ chỉ định nên bọc sứ để bảo tồn răng thật, đảm bảo tính thẩm mỹ và khả năng ăn nhai. Giá bọc răng sứ sau khi lấy tủy sẽ phụ thuộc phần lớn vào số lượng răng và loại răng sứ mà bạn lựa chọn. Cùng nha khoa Hanseoul tìm hiểu chi tiết hơn về dịch vụ bọc răng sứ qua bài viết sau.
1 Các trường hợp cần bọc răng sứ sau khi lấy tủy
- Răng bị sâu nghiêm trọng: răng bị hư hỏng quá nặng do sâu răng gây ra, tủy bị chết gây đau đớn cho bệnh nhân. Với trường hợp này, bệnh nhân cần loại bỏ tủy răng đã chết sau đó trám bít ống tủy lại để bảo vệ chân răng và hạn chế tình trạng viêm nhiễm có thể diễn ra nặng hơn.

- Răng bị chấn thương nặng: trường hợp bệnh nhân gặp tai nạn hoặc chấn thương nặng khiến răng bị vỡ nhiều, tác động sâu đến phần tủy bên trong và làm phần thân răng bị mất đi sẽ cần điều trị tủy triệt để sau đó bọc răng sứ để phục hình thân răng và bảo vệ phần răng thật còn lại.
2 Các lợi ích của bọc răng sứ sau khi lấy tủy
Có rất nhiều người thắc mắc rằng tại sao phải bọc răng sứ và chỉ muốn trám bít khu vực răng bị tổn thương. Vậy bọc răng sứ sau khi lấy tủy mang lại lợi ích gì?
- Bảo vệ răng thật: tủy răng sau khi loại bỏ sẽ khiến răng trở nên yếu và không còn cảm giác. Chính vì thế, nếu không được chăm sóc cẩn thận, răng sẽ rất dễ bị vỡ, nứt. Việc gắn mão răng sứ sẽ có vai trò như một tấm áo giáp vững chắc, bảo vệ răng thật không bị tổn thương.
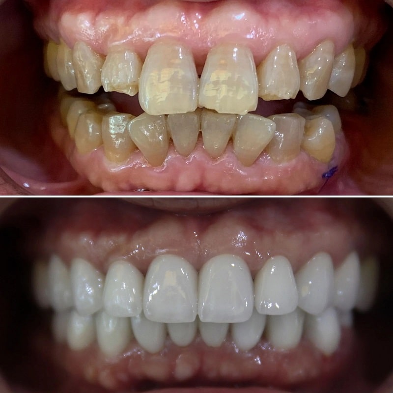
- Cải thiện tính thẩm mỹ cho răng: nếu chỉ hàn trám răng sau khi lấy tủy, tính thẩm mỹ sẽ không được đảm bảo vì những vật liệu trám hiện nay thường có màu sắc không giống với răng tự nhiên và có thể bị đổi màu sau một thời gian sử dụng. Vì thế, việc bọc răng sứ sau khi lấy tủy sẽ giúp khôi phục tính thẩm mỹ của răng và mang lại sự hài hòa cho cả khuôn mặt.

- Ngăn ngừa các bệnh lý răng miệng: sau khi lấy tủy, thân răng sẽ xuất hiện lỗ trống. Nếu không chụp mão sứ, phần răng này sẽ rất khó vệ sinh và thức ăn có thể kẹt lại, tạo điều kiện thuận lợi cho vi khuẩn phát triển và gây ra các bệnh lý nguy hiểm như sâu răng, viêm nướu, viêm nha chu,…
- Duy trì khả năng ăn nhai: nếu sau khi lấy tủy không tiến hành bọc răng sứ và vô tình nhai thức ăn cứng, dai đúng vào vị trí răng đã lấy tủy, chân răng sẽ bị tách ra cho phải chịu nhiều áp lực, trường hợp nặng có thể tổn thương đến nướu răng. Do đó, sau khi lấy tủy, bác sĩ thường sẽ khuyên chúng ta nên chụp mão răng sứ để duy trì độ bền của răng và đảm bảo khả năng ăn nhai.
3 Bọc răng sứ sau khi chữa tủy có đau không?
Theo các chuyên gia, nếu tay nghề bác sĩ tốt thì quá trình bọc răng sứ sau khi lấy tủy sẽ diễn ra thuận lợi và không gây đau đớn cho bệnh nhân. Ngoài ra, trong quá trình thực hiện, bác sĩ sẽ gây tê vùng răng cần điều trị nên bệnh nhân sẽ không cảm thấy đau đớn hay ê buốt. Sau khi gây tê, bác sĩ sẽ tiến hành mài nhỏ phần răng bị hư tổn rồi gắn mão răng sứ được chế tác theo khuôn răng của mỗi bệnh nhân lên. Sau khi hoàn tất bọc sứ, những cơn đau nhức hay ê buốt vì bị viêm tủy trước đó sẽ dần biến mất. Bệnh nhân có thể ăn nhai bình thường và tính thẩm mỹ của khuôn mặt được cải thiện đáng kể.

4 Giá bọc răng sứ sau khi lấy tủy
Chi phí bọc răng sứ sau khi lấy tủy sẽ được tính như sau:
Giá bọc răng sứ sau khi lấy tủy = (Chi phí lấy tủy + Chi phí răng sứ) x Số lượng răng
Bạn có thể tham khảo bảng giá các loại răng sứ tại Nha khoa Hanseol dưới đây:
| Loại răng sứ | Đơn giá | Đơn vị tính | Thời gian bảo hành |
| Răng kim loại toàn phần | 1.000.000 | 1 Răng | |
| Răng kim loại Chrome Cobalt (Co-Cr) | 1.500.000 | 1 Răng | |
| Răng kim loại titanium phủ sứ | 3.000.000 | 1 Răng | 2 năm |
| Răng sứ toàn sứ Katana (xuất xứ Nhật) | 4.000.000 | 1 Răng | 7 năm |
| Răng sứ toàn sứ Zirconia (xuất xứ Đức) | 5.000.000 | 1 Răng | 7 năm |
| Răng sứ toàn phần Cercon | 6.000.000 | 1 Răng | 7 năm |
| Răng sứ toàn sứ Emax (xuất xứ Đức) | 7.000.000 | 1 Răng | 10 năm |
| Răng sứ toàn sứ Lava 3M (xuất xứ Mỹ) | 10.000.000 | 1 Răng | 15 năm |
| Răng sứ veneer Emax | 8.000.000 | 1 Răng | 10 năm |
5 Quy trình bọc răng sứ sau khi lấy tủy tại nha khoa Hanseoul
Tại nha khoa Hanseoul, quy trình bọc răng sứ sau khi lấy tủy được thực hiện theo tiêu chuẩn của Bộ Y tế, gồm các bước:
- Bước 1: Thăm khám tổng quát và tư vấn cách điều trị
Ở bước đầu tiên, bệnh nhân sẽ được thăm khám tổng quát khoang miệng và chụp hình X-quang vùng răng cần lấy tủy bọc răng sứ để xác định mức độ viêm nặng hay nhẹ từ đó lên phác đồ điều trị phù hợp. Trước khi thực hiện, bác sĩ sẽ tư vấn chi tiết về các vấn đề cho bệnh nhân gồm: chi phí, thời gian chữa trị, loại sứ phù hợp, các biến chứng có thể gặp phải,…

- Bước 2: Vệ sinh răng miệng và gây tê vùng răng cần chữa trị
Trước khi lấy tủy, bác sĩ sẽ vệ sinh sạch sẽ khoang miệng và sát trùng vùng răng cần điều trị để tránh nhiễm khuẩn và lây nhiễm chéo giữa các răng. Sau đó, vùng răng cần chữa trị sẽ được gây tê để giúp bệnh nhân giảm bớt cảm giác đau đớn.
- Bước 3: Điều trị tủy răng bị viêm
Bác sĩ sẽ khoan một đường từ bề mặt răng xuống ống tủy và lấy phần tủy bị viêm ra ngoài rồi đặt thuốc điều trị. Việc điều trị này không thể thực hiện chỉ trong một lần duy nhất. Bệnh nhân cần quay lại điều trị sau 1 tuần đặt thuốc và cần lặp lại quá trình này cho đến khi phần tủy răng bị viêm được điều trị dứt điểm hoàn toàn. Sau đó, bác sĩ sẽ trám bít ống tủy bằng vật liệu trám chuyên dụng.
- Bước 4: Phục hình thân răng bằng răng sứ
Sau khi hoàn tất việc chữa tủy, bác sĩ sẽ phục hình răng bằng cách đặt mão răng sứ đã được chế tạo trước đó lên phần răng thật đã mài nhỏ để phục hồi chức năng ăn nhai và đảm bảo tính thẩm mỹ cho cả khuôn mặt. Lưu ý sau khi kết thúc điều trị, bệnh nhân cần tuân thủ mọi hướng dẫn của bác sĩ về việc chăm sóc răng miệng tại nhà.
6 Nha khoa thẩm mỹ răng sứ hàng đầu hiện nay
Nha khoa Hanseoul sở hữu đội ngũ bác sĩ chuyên môn cao và tay nghề, kỹ thuật tốt cùng hệ thống máy móc, thiết bị hiện đại đảm bảo quá trình bọc răng sứ sau khi lấy tủy diễn ra thuận lợi, mang lại một hàm răng trắng sáng, đều đẹp và khỏe mạnh như mong muốn của khách hàng.
Nha khoa cam kết sử dụng vật liệu sứ chính hãng 100% và đảm bảo an toàn cho khách hàng trong suốt quá trình thực hiện. Quy trình bọc răng sứ từ khâu thăm khám, tư vấn đến điều trị tủy, phục hình răng sứ đều được thực hiện theo đúng tiêu chuẩn của Bộ Y tế, đảm bảo đem lại hiệu quả điều trị tốt nhất cho khách hàng.
Trên đây là những thông tin về giá bọc răng sứ sau khi lấy tủy mà Nha khoa Hanseoul muốn gửi đến bạn đọc. Liên hệ ngay với nha khoa theo số hotline 0939 090 581 để được giải đáp mọi thắc mắc về thông tin dịch vụ bọc răng sứ sau khi lấy tủy.





