Một nụ cười đẹp không chỉ là điểm nhấn thẩm mỹ mà còn giúp bạn tự tin trong giao tiếp và cuộc sống hằng ngày. Với khách hàng Ngô Thị Bích Lộc (sinh năm 2003), quyết định niềng răng là bước ngoặt quan trọng giúp cải thiện hoàn toàn tình trạng răng thưa – khấp khểnh – sai khớp cắn. Dưới đây là toàn bộ phân tích chuyên môn và kết quả sau 3 năm niềng răng tại Nha khoa Hanseoul.
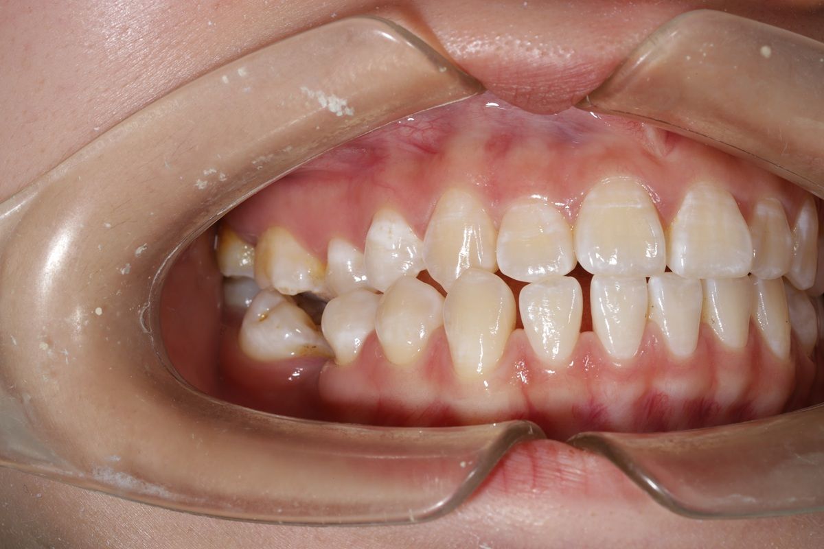
Tình trạng răng trước khi niềng

- Răng thưa, khoảng cách giữa các răng lớn gây mất thẩm mỹ.
- Răng khấp khểnh, lệch cung, thiếu sự cân đối tổng thể.
- Sai khớp cắn, ảnh hưởng chức năng ăn nhai và khiến gương mặt thiếu hài hòa.
Lập kế hoạch điều trị với công nghệ BIOSMART
Khách hàng Bích Lộc được chỉ định điều trị bằng công nghệ niềng răng BIOSMART – giải pháp chỉnh nha thế hệ mới giúp răng di chuyển nhanh, an toàn và chuẩn xác.Ứng dụng Công nghệ niềng răng BIOSMART:
- 3Shape – WebCeph – Biotech: Lập kế hoạch điều trị 3D toàn diện, mô phỏng hướng dịch chuyển của từng răng.
- Kiểm soát lực kéo sinh học: Lực nhẹ nhưng hiệu quả cao, hạn chế đau, giảm nguy cơ sai lệch răng trong quá trình niềng.
- Tối ưu hiệu quả điều trị: Thời gian niềng răng trung bình được rút ngắn khoảng 6 tháng so với phương pháp truyền thống.
Theo dõi sát sao trong 3 năm – Răng di chuyển đúng lộ trình
Trong suốt 3 năm chỉnh nha, khách hàng Bích Lộc được đội ngũ bác sĩ Hanseoul chăm sóc và theo dõi sát sao:- Tái khám định kỳ đều đặn để kiểm tra tốc độ di chuyển răng.
- Điều chỉnh lực kéo từng giai đoạn, đảm bảo răng dịch chuyển ổn định.
- Kiểm soát khớp cắn và hài hòa gương mặt trong suốt quá trình.
- Hướng dẫn vệ sinh – chăm sóc răng miệng chuyên biệt dành cho người niềng.

Kết quả sau niềng – Nụ cười mới, sự tự tin mới

- Răng thưa được khép kín hoàn toàn, sắp xếp đều đẹp.
- Răng thẳng hàng – chuẩn cung – chuẩn khớp cắn.
- Khuôn mặt hài hòa hơn, góc nghiêng cân đối.
- Nụ cười tươi tắn, rạng rỡ, giúp tự tin hơn trong giao tiếp và cuộc sống.






_09h03.jpg)