Mất răng không chỉ ảnh hưởng đến thẩm mỹ nụ cười mà còn tác động trực tiếp đến chức năng ăn nhai và sức khỏe răng miệng lâu dài. Trường hợp của anh Vũ Xuân Quang là một ví dụ điển hình cho việc lựa chọn đúng giải pháp Implant giúp phục hồi răng đã mất một cách bền vững, an toàn và hiệu quả.
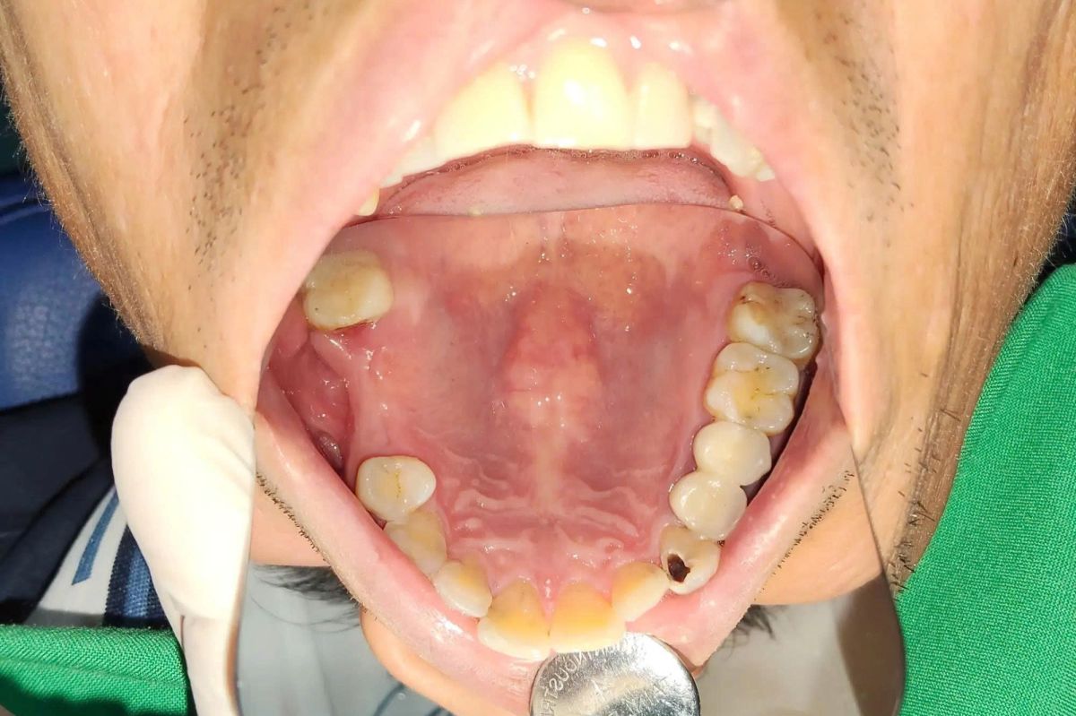
Tình trạng ban đầu
Khi đến thăm khám tại nha khoa, anh Quang được chẩn đoán:
- Mất răng R15, R16 (vùng răng hàm trên)
- Khoảng mất răng kéo dài khiến lực nhai giảm, thức ăn dễ giắt vào khoảng trống
- Nguy cơ tiêu xương hàm nếu không can thiệp kịp thời

Việc thiếu răng hàm không chỉ gây bất tiện khi ăn nhai mà còn ảnh hưởng đến các răng kế cận, lâu dài có thể dẫn đến sai khớp cắn và suy giảm chất lượng sống.
Giải pháp điều trị được chỉ định
Sau khi thăm khám lâm sàng kết hợp chụp CT 3D, bác sĩ đã xây dựng phác đồ điều trị phù hợp cho anh Quang:
Cấy ghép 2 trụ Implant Hiossen (Mỹ) tại vị trí R15 và R16
→ Thay thế hoàn toàn chân răng đã mất, phục hồi nền tảng ăn nhai vững chắc
→ Implant Hiossen có khả năng tích hợp xương tốt, độ bền cao, tương thích sinh học an toàn
Phục hình răng sứ trên Implant – gắn kết thúc
→ Tái tạo hình dáng răng hàm tự nhiên
→ Đảm bảo chức năng ăn nhai ổn định và tính thẩm mỹ hài hòa với toàn hàm
Toàn bộ quá trình được thực hiện theo quy trình chuẩn y khoa, trong điều kiện vô trùng tuyệt đối.
Kết quả sau điều trị
Sau khi hoàn tất gắn răng sứ trên Implant:
- Răng được phục hồi vững chắc, chắc khỏe như răng thật
- Khả năng ăn nhai cải thiện rõ rệt, không còn cảm giác cộm hay khó chịu
- Khớp cắn ổn định, không ảnh hưởng đến các răng xung quanh
- Đảm bảo tính thẩm mỹ tự nhiên, khó phân biệt với răng thật

Anh Quang có thể sinh hoạt, ăn uống bình thường và hoàn toàn yên tâm với kết quả điều trị lâu dài.
Đánh giá từ khách hàng
Anh Quang chia sẻ:
“Tôi khá lo lắng trước khi cấy Implant, nhưng thực tế quá trình làm nhẹ nhàng hơn tôi nghĩ. Sau khi gắn răng hoàn tất, ăn nhai rất chắc, không có cảm giác khác lạ. Tôi thật sự hài lòng.”
Kết luận ca lâm sàng
Ca lâm sàng của anh Vũ Xuân Quang cho thấy:
- Implant là giải pháp tối ưu cho trường hợp mất răng hàm
- Phục hồi hiệu quả cả chức năng ăn nhai lẫn độ bền lâu dài
- Giúp ngăn ngừa tiêu xương và bảo vệ sức khỏe răng miệng về sau


_09h03.jpg)

_09h03.jpg)
