- 1 Điều trị bảo tồn không còn hiệu quả, ổ áp xe gây tiêu xương nghiêm trọng
- 2 Nhổ 4 răng hàm và kiểm soát triệt để ổ viêm trước khi trồng Implant
- 3 Vì sao cần ghép bột xương khi trồng Implant?
- 4 Implant Hiossen (Mỹ) – lựa chọn cho răng hàm chịu lực
- 5 “Lần này nhổ răng hoàn toàn khác với nỗi ám ảnh cách đây 10 năm”
- 5.1 “Điều tôi hài lòng nhất là sự yên tâm và cảm giác chắc chắn khi ăn nhai”
1 Điều trị bảo tồn không còn hiệu quả, ổ áp xe gây tiêu xương nghiêm trọng
_08h31.jpg)
Theo chia sẻ của anh Đạo, cách đây vài năm, hai răng hàm 36 và 47 của anh từng bị sâu răng nặng, sâu đã ăn vào tủy. Khi đó, anh lựa chọn điều trị tủy và chụp răng sứ tại một nha khoa khác với mong muốn giữ lại răng thật để ăn nhai lâu dài.
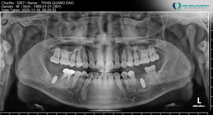
“Lúc mới làm xong thì tôi thấy ăn nhai vẫn ổn, không đau nên cũng yên tâm,” anh Đạo kể lại. Tuy nhiên, sau một thời gian, vùng răng này bắt đầu xuất hiện ổ áp xe lớn, kèm theo cảm giác đau nhức và sưng, răng bị lung lay gây ảnh hưởng tới ăn uống và sinh hoạt. Khi đến thăm khám tại Hanseoul và chụp phim CT Cone Beam, Thạc sĩ, Bác sĩ Trần Việt Hà xác định tình trạng nhiễm trùng kéo dài đã khiến xương hàm quanh chân răng bị tiêu nghiêm trọng.
Theo bác sĩ Trần Việt Hà, trong những trường hợp răng đã nhiễm trùng nặng, kèm tiêu xương nhiều, việc tiếp tục giữ răng không còn ý nghĩa bảo tồn. Nếu không xử lý triệt để, ổ viêm có thể lan rộng, ảnh hưởng đến xương hàm và các răng kế cận.
“Bác sĩ phân tích rất kỹ cho tôi xem phim chụp và giải thích vì sao không thể giữ răng nữa. Tuy nhiên 10 năm trước ” anh Đạo chia sẻ. “Lúc đó tôi hiểu là buộc phải nhổ để xử lý dứt điểm.”
2 Nhổ 4 răng hàm và kiểm soát triệt để ổ viêm trước khi trồng Implant
_08h31.jpg)
Sau khi đánh giá tổng thể, bác sĩ Trần Việt Hà đã chỉ định nhổ 4 răng, bao gồm răng 36, 47 do nhiễm trùng nặng và răng khôn 18, 28 có nguy cơ gây viêm, đau và ảnh hưởng đến răng kế cận.
Với hai răng 36 và 47, bác sĩ tiến hành nhổ răng kết hợp nạo sạch ổ áp xe, làm sạch mô viêm và kiểm soát nhiễm trùng bằng kháng sinh phù hợp. Đây là bước quan trọng nhằm loại bỏ hoàn toàn vi khuẩn trước khi tiến hành cấy implant, giúp hạn chế tối đa nguy cơ biến chứng về sau.
“Lần này bác sĩ làm rất kỹ, giải thích rõ từng bước nên tôi cảm thấy yên tâm hơn nhiều,” anh Đạo nói. Sau khi vùng nhổ răng ổn định, tình trạng viêm được kiểm soát tốt, anh Đạo bước vào giai đoạn tiếp theo: cấy 2 trụ Implant tại vị trí răng 36 và 47.
3 Vì sao cần ghép bột xương khi trồng Implant?
Do tình trạng áp xe kéo dài trước đó, xương hàm tại vị trí răng 36 và 47 của anh Đạo đã bị tiêu xương nặng, không đủ thể tích để đặt implant một cách an toàn. Vì vậy, bác sĩ Trần Việt Hà chỉ định ghép bột xương đồng thời khi cấy implant.
Việc ghép bột xương giúp:
-
Bù đắp phần xương đã tiêu
-
Tạo nền xương vững chắc cho trụ implant tích hợp
-
Giảm nguy cơ đào thải và biến chứng sau cấy
-
Đảm bảo khả năng ăn nhai bền vững lâu dài
4 Implant Hiossen (Mỹ) – lựa chọn cho răng hàm chịu lực
_08h31.jpg)
Hai vị trí răng 36 và 47 của anh Đạo được cấy Implant Hiossen (Mỹ) – dòng implant được đánh giá cao về độ ổn định và khả năng tích hợp xương. Theo bác sĩ Trần Việt Hà, Implant Hiossen phù hợp với những ca răng hàm chịu lực nhai lớn nhờ:
-
Thiết kế ren giúp trụ bám chắc vào xương
-
Bề mặt xử lý hỗ trợ tích hợp xương nhanh
-
Khả năng chịu lực tốt, độ bền cao
-
Được sử dụng rộng rãi và đáp ứng các tiêu chuẩn nghiêm ngặt về an toàn
5 “Lần này nhổ răng hoàn toàn khác với nỗi ám ảnh cách đây 10 năm”
Một trong những điều khiến anh Đạo lo lắng nhất trước điều trị chính là nỗi ám ảnh nhổ răng kéo dài suốt 10 năm. Trước đó, anh từng nhổ răng khôn tại một nha khoa khác và bị đau kéo dài gần một tháng, sụt gần 10kg. “Từ lần đó là tôi rất sợ nhổ răng,” anh chia sẻ. Chính vì vậy, khi răng khôn 18 và 28 bắt đầu gây đau, anh Đạo đã dành nhiều thời gian tìm hiểu và quyết định lựa chọn Hanseoul.
“Trải nghiệm lần này khác hoàn toàn,” anh nói. “Sau khi nhổ răng, tôi không thấy đau như trước. Vài giờ sau chỉ hơi ê nhẹ, sau đó sinh hoạt bình thường.”
5.1 “Điều tôi hài lòng nhất là sự yên tâm và cảm giác chắc chắn khi ăn nhai”
_08h31.jpg)
Sau khi implant tích hợp ổn định và được phục hình răng sứ hoàn thiện, anh Đạo cho biết khả năng ăn nhai đã được phục hồi rõ rệt. “Cảm giác rất chắc, gần như răng thật. Ăn uống thoải mái, không còn lo viêm hay đau nhức tái phát.”
Nhìn lại toàn bộ hành trình từ nhổ răng, xử lý ổ áp xe, ghép xương đến trồng implant, anh Đạo cho rằng quyết định điều trị tại Hanseoul giúp anh vượt qua nỗi sợ nha khoa và yên tâm hơn về sức khỏe răng miệng lâu dài. “Nếu biết trồng implant nhẹ nhàng và hiệu quả như vậy, có lẽ tôi đã làm sớm hơn,” anh nói.





