Với chị Trương Thị Phượng, quyết định niềng răng còn là hành trình tìm lại sự tự tin và nụ cười thật sự thuộc về mình.
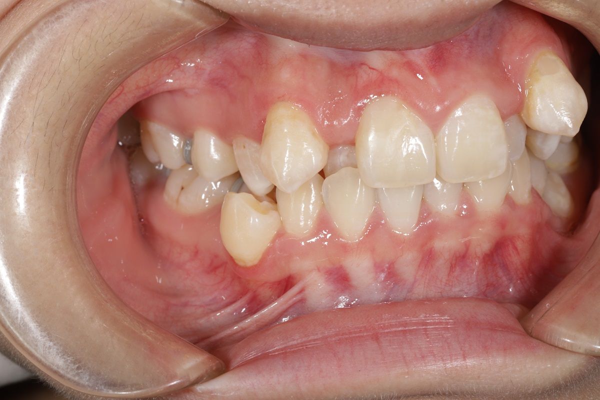
1 Tình trạng trước khi niềng – Khi nụ cười chưa trọn vẹn
Trước khi tìm đến Hanseoul, Phượng gặp khá nhiều vấn đề răng miệng khiến nụ cười của cô chưa thật sự hài hòa:- Răng cửa mọc lệch, khấp khểnh và chen chúc nhau.
- Răng hàm bị nghiêng trục, làm khuôn miệng thiếu cân đối.
- Khớp cắn sai khiến việc ăn nhai khó khăn và khuôn mặt thiếu tự nhiên.

2 Lập kế hoạch điều trị cá nhân hóa với công nghệ BIOSMART
Sau khi thăm khám và phân tích toàn bộ dữ liệu phim X-quang, scan 3D, các bác sĩ tại Hanseoul đã xây dựng cho Phượng phác đồ chỉnh nha cá nhân hóa bằng công nghệ BIOSMART – công nghệ niềng răng thế hệ mới, giúp tối ưu hiệu quả và rút ngắn đáng kể thời gian điều trị.
BIOSMART là sự kết hợp của ba công nghệ hiện đại:
- 3Shape – Lập kế hoạch điều trị 3D chi tiết, mô phỏng chính xác hướng di chuyển của từng răng.
- WebCeph – Phân tích khớp cắn và cấu trúc khuôn mặt, đảm bảo kết quả hài hòa tổng thể.
- Biotech – Kiểm soát lực kéo sinh học nhẹ nhàng nhưng hiệu quả, hạn chế đau nhức tối đa.
Nhờ đó, bác sĩ có thể điều chỉnh răng đúng hướng – đúng lực – đúng thời điểm, giúp rút ngắn thời gian niềng trung bình 6 tháng so với mắc cài truyền thống.
3. Theo dõi sát sao – Hiệu quả từng giai đoạn
Trong suốt quá trình niềng, Phượng luôn được đội ngũ bác sĩ Hanseoul đồng hành chặt chẽ:
Tái khám định kỳ để kiểm soát tiến trình di chuyển của răng.
Điều chỉnh lực kéo phù hợp theo từng giai đoạn.
Theo dõi khớp cắn và độ cân đối khuôn mặt.
Hướng dẫn vệ sinh răng miệng chuyên biệt dành riêng cho người niềng.
Mỗi thay đổi nhỏ đều được ghi nhận và cập nhật trên hệ thống BIOSMART, đảm bảo kết quả luôn nằm trong tầm kiểm soát và đúng với dự đoán ban đầu.
4. Kết quả sau niềng – Màn “lột xác” ấn tượng
Sau hơn hai năm kiên trì, Phượng đã có được hàm răng đều đẹp, khớp cắn chuẩn, và nụ cười tự nhiên, rạng rỡ hơn bao giờ hết.
Góc nghiêng khuôn mặt trở nên hài hòa, tổng thể khuôn miệng mềm mại và cân đối hơn rõ rệt.





