- 1 Răng toàn sứ là gì?
- 2 Răng toàn sứ có thật sự tốt không?
- 2.1 Tính thẩm mỹ cao
- 2.2 Khả năng ăn nhai tốt
- 2.3 Độ bền cao
- 2.4 Khả năng tương thích sinh học tốt
- 3 Các loại răng toàn sứ tại Nha Khoa Hanseoul
- 3.1 Răng toàn sứ Katana (xuất xứ Nhật)
- 3.2 Răng toàn sứ Zirconia ( xuất sứ Đức )
- 3.3 Răng toàn sứ Lava 3M (xuất xứ Mỹ)
- 4 Bảng giá răng toàn sứ ở Nha Khoa Hanseoul
- 5 Địa chỉ làm răng toàn sứ uy tín – Nha Khoa Hanseoul
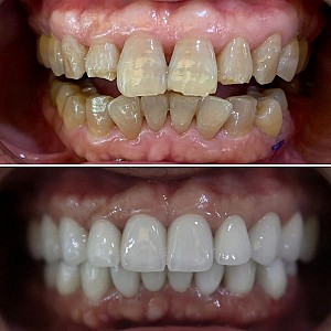
Thông thường, khi khách hàng lựa chọn phương pháp bọc răng sứ để phục tái tạo phục hình răng, Bác sĩ thường khuyên nên chọn loại răng toàn sứ. Lý do để mọi người tin dùng răng toàn sứ cho việc phục hình thẩm mỹ chính là các ưu điểm mà răng sứ toàn phần đem lại như: tuổi thọ và độ bền cao, màu sắc tự nhiên và bóng như răng thật, giá thành hợp lý theo nhu cầu người dùng.
1 Răng toàn sứ là gì?
Răng toàn sứ (hay răng sứ toàn phần) là một loại răng sứ thế hệ mới nhất hiện nay, phần sườn răng được sản xuất bằng công nghệ CAD/CAM tối tân. Răng được cấu tạo bằng 100% phôi vật liệu có xuất xứ từ các tập đoàn nha khoa nổi tiếng của Nhật, Đức, Mỹ. Vì vậy, thông số kỹ thuật của răng sứ đạt được tối ưu, độ cứng gấp 1,6 lần kim loại.

Các chuyên gia cho biết trong quá trình chế tạo, nhờ áp dụng công nghệ Laser mà kết quả cho ra răng sứ toàn phần hoàn hảo, có độ chính xác cao với cấu trúc hàm, đảm bảo việc phục hình thẩm mỹ cho ra những chiếc răng vừa khít, đều đẹp. Răng sứ toàn phần được các chuyên gia thẩm định là an toàn, không gây nguy hại cho người sử dụng và hoàn toàn tương thích sinh học.
2 Răng toàn sứ có thật sự tốt không?
Răng toàn sứ (răng sứ toàn phần) sản xuất trên phần mềm CAD/CAM hiện đại với độ chính xác tuyệt đối. Nhờ cấu tạo từ sứ nguyên chất nên răng sứ toàn phần có tính thẩm mỹ tuyệt đối và không ảnh hưởng tới sức khỏe người dùng. Bên cạnh đó, răng sứ toàn phần mang lại nhiều ưu điểm vượt trội khi thực hiện phục răng thẩm mỹ:
2.1 Tính thẩm mỹ cao
Răng sứ toàn phần khắc phục toàn bộ nhược điểm của răng sứ kim loại, màu sắc răng tự nhiên và khó nhận biết bằng mắt thường, không bị đen đường viền nướu, không bị ánh đen khi có ánh đèn chiếu vào như các loại răng sứ kim loại.

Răng sứ có tuổi thọ cao khoảng 10 – 20 năm. Qua nhiều năm, răng vẫn giữ được độ bóng, màu sắc trong tự nhiên mà không bị tác động bào mòn hay ngả màu từ thực phẩm.
2.2 Khả năng ăn nhai tốt
Khả năng chịu lực của răng toàn sứ có thể lên đến 900Mpa, cao hơn khoảng 5 lần so với răng thật do được chế tác từ sứ nguyên khối và nung ở nhiệt độ cao. Cùng với đó, răng toàn sứ có khả năng chống bào mòn bởi các acid trong thức ăn, cho phép ăn nhai thoải mái như răng thật.

2.3 Độ bền cao
Răng sứ toàn phần có độ bền cao, sau khi phục hình răng có thể hoạt động tốt chức năng ăn nhai lên đến 20 năm, thậm chí là vĩnh viễn suốt đời nếu như được gìn giữ, chăm sóc đúng cách và được thực hiện đúng kỹ thuật bởi các Bác sĩ nhiều kinh nghiệm.
2.4 Khả năng tương thích sinh học tốt
Không chỉ đem lại tính thẩm mỹ, phục hình chức năng ăn nhai với độ bền cao mà răng toàn sứ còn an toàn cho sức khỏe người dùng. Chất liệu của loại răng sứ này lành tính với cơ thể, không gây ra phản ứng phụ hay kích thích cho nướu.
3 Các loại răng toàn sứ tại Nha Khoa Hanseoul
Hiện nay, trên thị trường có nhiều loại răng sứ được làm từ nhiều chất liệu có nguồn gốc xuất xứ khác nhau. Các vật liệu chế tác răng sứ toàn phần tại Nha Khoa Hanseoul đều được nhập khẩu trực tiếp từ Nhật, Đức, Mỹ…và có nhiều loại răng toàn sứ cho bạn lựa chọn tùy theo nhu cầu, sở thích.
3.1 Răng toàn sứ Katana (xuất xứ Nhật)
Loại sứ Katana Nhật thường được chỉ định trong trường hợp răng bị nhiễm màu Tetra. Răng sứ Katana hiện nay chỉ có 1 loại duy nhất là răng sứ Katana Nhật và có tới 16 màu sắc trong bảng màu răng. Bác sĩ dễ dàng lựa chọn màu phù hợp và tự nhiên nhất cho bạn.
Ưu điểm:
- So với nhiều dòng sứ cao cấp khác, giá răng sứ Katana có phần thấp hơn.
- Răng sứ Katana sẽ không có hiện tượng bị đen đường viền nướu như răng sứ kim loại, đảm bảo tính thẩm mỹ cho nụ cười.

- Được chế tác trong nhiều giờ nên có độ bền cao gấp khoảng 5 lần răng thật, đảm bảo độ chắc khỏe cho răng trong quá trình ăn nhai.
- Tuổi thọ dài tới 15 năm và có thể lâu hơn nếu giữ gìn và chăm sóc đúng cách.
Nhược điểm: Bên cạnh những ưu điểm thì răng sứ toàn phần Katana xuất xứ Nhật còn tồn tại một số hạn chế như khả năng chịu lực và màu sắc một số thương hiệu cao cấp như Cercon, Emax, Lava 3M,..
3.2 Răng toàn sứ Zirconia ( xuất sứ Đức )
Răng sứ Zirconia là dòng sứ cao cấp của Đức, được cấu tạo từ 100% sứ Zirconia. Răng sứ Zirconia có màu sắc dựa theo bảng màu Vita. Đồng thời có độ trong mờ 40% nên tự nhiên như răng thật. Độ đàn hồi ở mức 210 HV, độ bền uốn (MPa) 720 Mpa và được nung ở nhiệt độ thiêu kết 1.450 °C.

Với những đặc điểm này đã mang dòng răng toàn sứ Zirconia Đức đến gần hơn với khách hàng. Đảm bảo được sự an toàn và mang lại hiệu quả phục hình răng thẩm mỹ cao nhất. Hầu hết những khách hàng đã từng sử dụng đều phản hồi rất tích cực về dòng răng sứ này.
3.3 Răng toàn sứ Lava 3M (xuất xứ Mỹ)
Răng toàn sứ Lava là một dòng răng toàn sứ được nghiên cứu và sản xuất bởi tập đoàn 3M (Minnesota Mining and Manufacturing Company) tại Mỹ. Hiện nay, răng toàn sứ 3M đã có mặt tại hầu hết các quốc gia trên thế giới và được nhiều khách hàng ưa chuộng, trong đó có Việt Nam.
Răng sứ Lava 3M mang trong mình sự cứng cỏi bền chắc, có độ chịu lực cao gấp 8 – 9 lần răng thật. Phần ngoài của răng được phủ lớp sứ Lava trắng sáng tự nhiên, có độ trong hoàn hảo và giống răng thật tới 99%. Điểm nổi bật của loại răng này là có độ dày mỏng hơn các loại răng sứ hiện nay.

Mục tiêu hướng tới dòng sản phẩm cao cấp, phục vụ cho những khách hàng ưa thích sự hoàn hảo nên so với các đối thủ khác, răng toàn sứ Lava 3M của tập đoàn 3M luôn có sự vượt trội hơn.
Ngoài ra ở Nha Khoa Hanseoul còn có các loại răng toàn sứ khác cũng được nhiều khách hàng ưa chuộng sử dụng như răng toàn sứ Cercon, răng toàn sứ Emax (xuất xứ Đức) .
4 Bảng giá răng toàn sứ ở Nha Khoa Hanseoul
Tùy vào vật liệu cấu tạo và công nghệ sản xuất, răng sứ toàn phần sẽ có tuổi thọ, màu sắc, chất liệu và giá thành khác nhau, dưới đây là bảng giá răng toàn sứ ở Nha Khoa Hanseoul:

5 Địa chỉ làm răng toàn sứ uy tín – Nha Khoa Hanseoul
Nha Khoa Hanseoul là một trong những cái tên nha khoa được nhiều người biết đến tại thành phố Hà Nội.
Nha khoa Hanseoul là địa chỉ phòng khám uy tín, có đủ các điều kiện sau:
- Nha khoa và Bác sĩ có giấy phép hoạt động do sở y tế cấp
- Quy trình điều trị đạt chuẩn của Bộ Y Tế thẩm định.
- Bác sĩ, phụ tá, điều dưỡng có bằng cấp và chứng chỉ hành nghề
- Bệnh nhân trước khi điều trị được thăm khám, tư vấn rõ ràng.
Ngoài ra, trang thiết bị y tế của Nha Khoa Hanseoul rất hiện đại, được nhập khẩu trực tiếp từ nhà sản xuất OSSTEM Hàn quốc.
Trên đây là những thông tin hữu ích về dịch vụ làm răng toàn sứ ở Nha Khoa Hanseoul. Nếu bạn có những câu hỏi hay thắc mắc hãy liên hệ qua hotline 0939 090 581 để được các bác sĩ giải đáp nhé!





